症例詳細
Case detail
ワイヤー矯正で前歯のデコボコを改善|下顎前歯1本抜歯でバランスの良い歯並びへ
治療症例の内容
- 担当医
- 河口智英(ドクタープロフィール)
- 患者様
- 20代女性
- 矯正装置
- 審美装置
- 治療期間
- 2年
- 治療回数
- 10-30回
- 治療計画
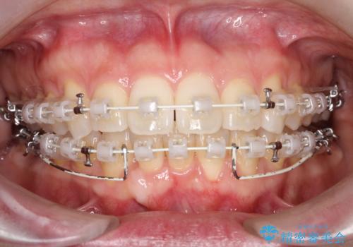
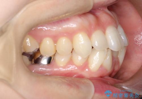
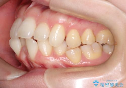
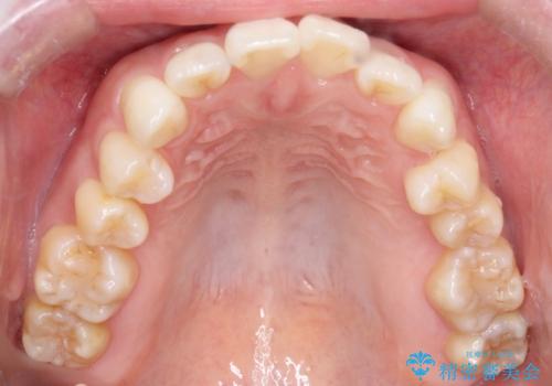
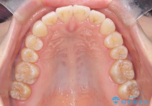
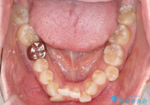
- 前歯の凸凹が気になるとのことでご相談いただきました。診察すると、特に下の前歯の重なりが強く、スペース不足が原因と考えられました。できるだけシンプルな方法で改善するため、下顎の前歯を1本抜歯してスペースを確保し、ワイヤー矯正で歯並びを整える方針を立てました。
- 費用(概算)
- 90万円費用は治療当時の料金となります
治療について
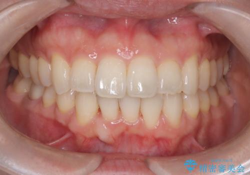
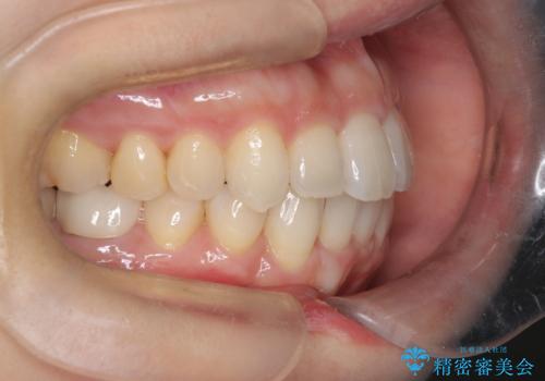
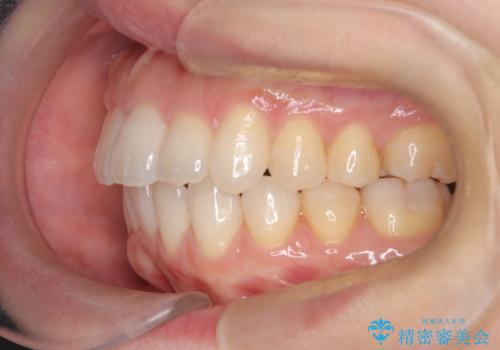
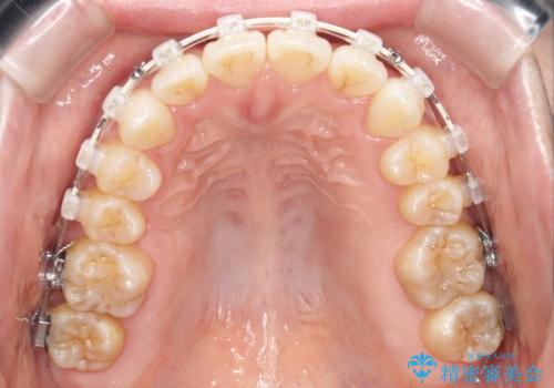
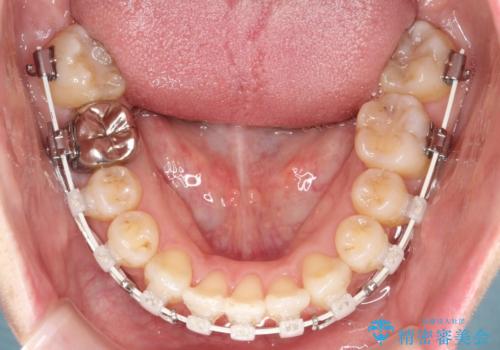
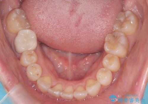
矯正装置を装着し、抜歯したスペースを活用しながら少しずつ歯を移動させました。ワイヤーの調整を重ねることで、前歯のデコボコが解消され、スムーズな歯並びに。治療後は「口元がスッキリして、噛みやすくなった」と患者様にもご満足いただきました。
ワイヤー矯正の注意事項(リスク・副作用など)
- 治療中は違和感や痛みが起こることがあります
- 症状により、抜歯が必要な場合があります
- 治療中は歯磨きがしにくくなるため、虫歯や歯周病になりやすくなります
- 矯正治療後の保定が不十分だと後戻り(元の位置に戻ろうとする動き)をします
- 自費診療(保険適用外)となります
当サイトの内容、テキスト、画像等の無断転載、複製、複写、盗用を固く禁じます。















