症例詳細
Case detail
前歯のデコボコを抜歯矯正で改善|アンカースクリューで口元もスッキリ
治療症例の内容
- 担当医
- 河口智英(ドクタープロフィール)
- 患者様
- 20代女性
- 矯正装置
- 審美装置
- 治療期間
- 2年
- 治療回数
- 10-30回
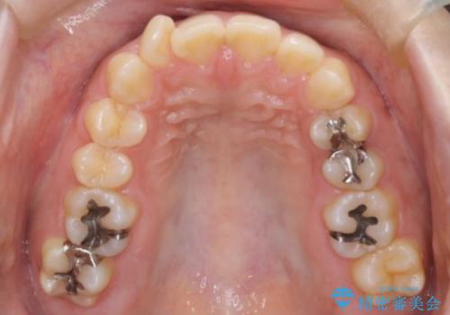
- 治療計画
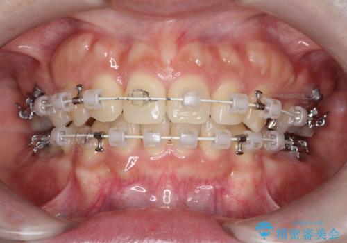
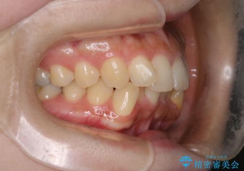
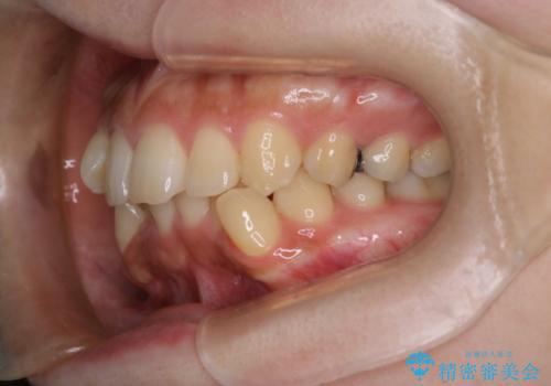
- 前歯の凸凹と口元の突出感を気にされ、ご相談いただきました。診察すると、歯の並ぶスペースが不足しており、抜歯が必要なケースと判断しました。加えて、口元を下げたいというご希望があったため、奥歯を支えにせず前歯をしっかり後方へ移動できるよう、アンカースクリューを使用することにしました。
- 費用(概算)
- 90万円費用は治療当時の料金となります
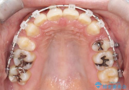
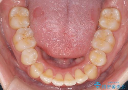
治療について
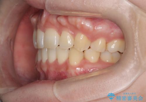
ワイヤー矯正を行い、抜歯スペースを活用しながら前歯を後方へ移動させました。さらに、アンカースクリューを用いることで効率的に歯を動かし、口元の突出感を抑えるよう調整しました。治療後は、「前歯のデコボコがなくなり、横顔の印象もスッキリした」とご満足いただきました。
ワイヤー矯正の注意事項(リスク・副作用など)
- 治療中は違和感や痛みが起こることがあります
- 症状により、抜歯が必要な場合があります
- 治療中は歯磨きがしにくくなるため、虫歯や歯周病になりやすくなります
- 矯正治療後の保定が不十分だと後戻り(元の位置に戻ろうとする動き)をします
- 自費診療(保険適用外)となります
当サイトの内容、テキスト、画像等の無断転載、複製、複写、盗用を固く禁じます。















