症例詳細
Case detail
下顎前歯の叢生をインビザラインで改善|目立たず整った歯並びへ
治療症例の内容
- 診療科目
- 治療カテゴリ
- 担当医
- 河口智英(ドクタープロフィール)
- 患者様
- 20代女性
- 矯正装置
- インビザライン
- 治療期間
- 1年
- 治療回数
- 5-10回
- 治療計画
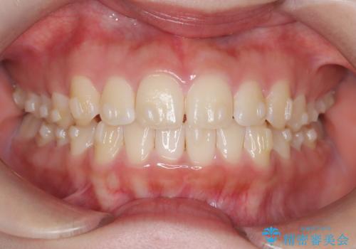
- 患者様は、**下の前歯のがたつき(叢生)**を気にされて来院されました。
できるだけ目立たずに治療を進めたいというご希望があったため、インビザラインによるマウスピース矯正をご提案しました。
診査の結果、インビザラインでの対応が可能と判断し、全体の咬合バランスにも配慮した上で、治療計画を立てました。
- 費用(概算)
- 70万円費用は治療当時の料金となります
治療について
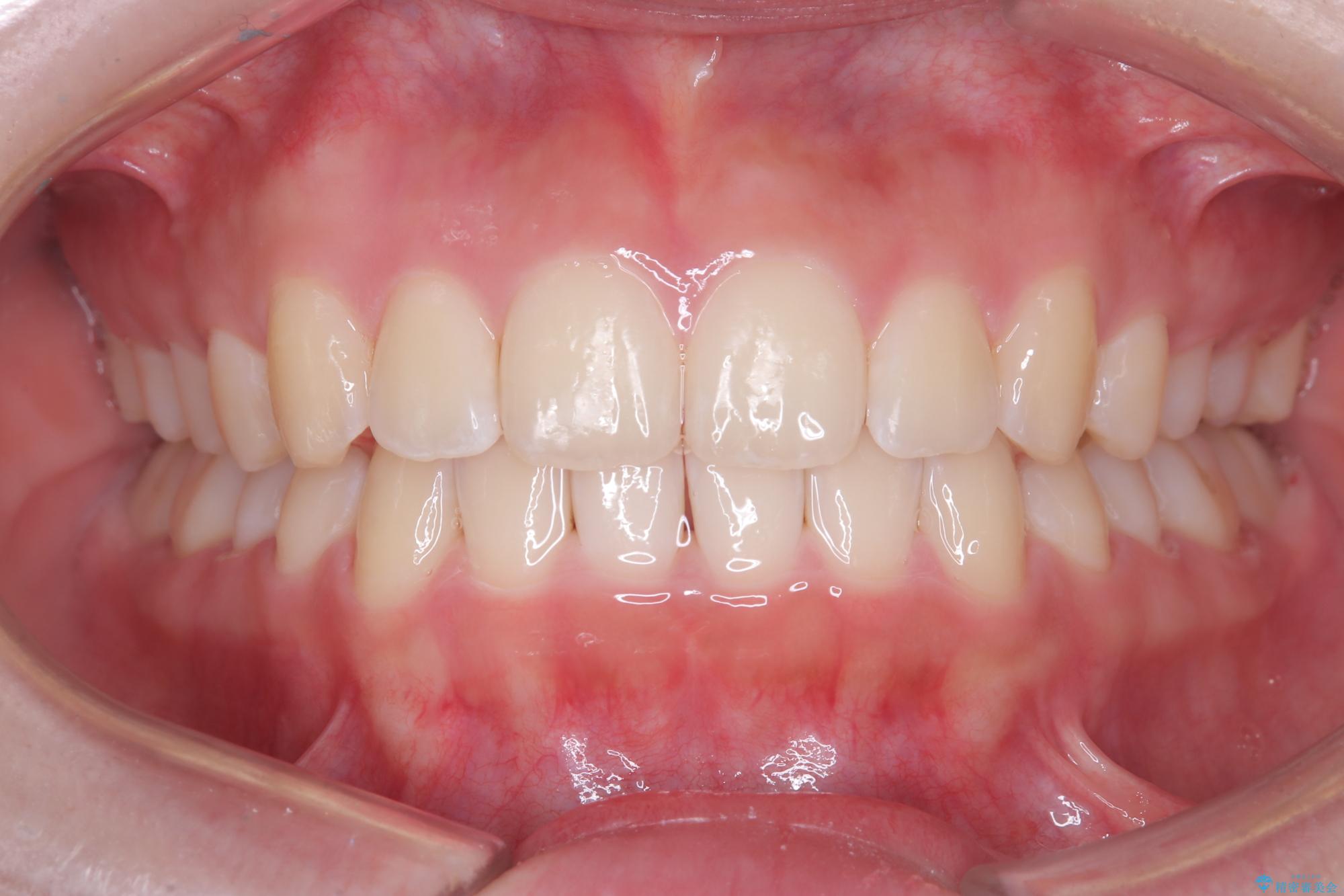
下の前歯のがたつきは解消され、滑らかなアーチ状の歯並びとなりました。
目立たずに治療が進んだことに対しても、患者様から高い満足のお声をいただきました。
マウスピース矯正の注意事項(リスク・副作用など)
- 口腔内・歯並びの状態によっては対応できない場合があります
- マウスピース型矯正装置の長時間装着(1日20時間以上)が必須です
- 治療計画通りに進めるためには、患者様の意志が重要になります
- 矯正治療後の保定が不十分だと後戻り(元の位置に戻ろうとする動き)をします
- 薬機法対象外の矯正歯科装置のため医薬品副作用被害救済制度の対象外となる場合があります
- 自費診療(保険適用外)となります
当サイトの内容、テキスト、画像等の無断転載、複製、複写、盗用を固く禁じます。















