症例詳細
Case detail
前歯4本のセラミック治療|抜歯即時インプラント+歯根端切除術で機能と美しさを回復
治療症例の内容
- 患者様
- 30代男性
- 治療期間
- 6ヶ月
- 治療回数
- 5-10回
- 治療計画
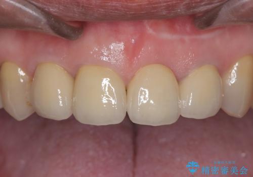
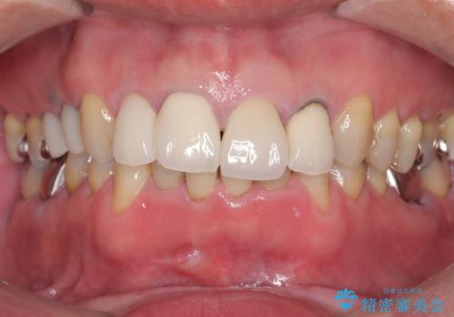
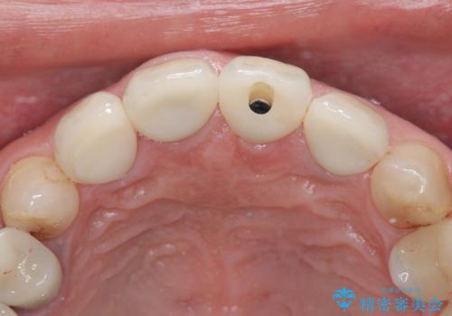
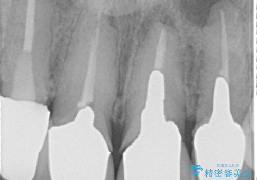
- 患者様は前歯の審美的な改善を希望されて来院されました。診査の結果、左上1の歯は過去の根管治療により歯根が破折していることが判明し、保存が難しい状態でした。そのため、**長期的な予後を考慮し、抜歯と同時にインプラントを埋入する「抜歯即時インプラント」**を計画。また、隣接する左上2の歯には感染が見られたため、歯根端切除術を同時に行い、感染の除去と治癒を促しました。右上1・2については、セラミッククラウンによる審美修復を行う方針としました。
- 費用(概算)
- 100万円費用は治療当時の料金となります
治療について
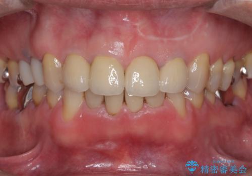
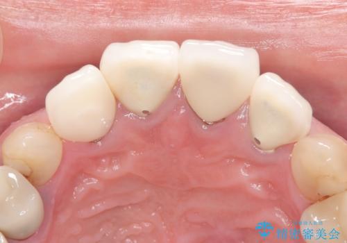
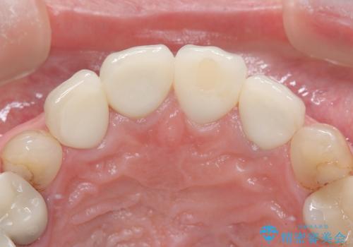
左上1は抜歯と同時にインプラントを埋入し、骨や歯ぐきの形態を維持しながら治療を進めました。左上2は歯根端切除術により感染部位を除去し、保存治療を実施。右上1・2も含めた前歯4本をセラミッククラウンで修復し、自然な色調と形態を再現しました。治療後は、噛み合わせの安定とともに、美しく自然な前歯を回復することができました。患者様からも「見た目がとても自然で、自信を持って笑えるようになった」と喜びの声をいただきました。
インプラント治療の注意事項(リスク・副作用など)
- 外科手術のため、術後に痛みや腫れ、違和感を伴います
- メンテナンスを怠ったり喫煙により、お口の中に大きな悪影響を及ぼすインプラント周囲炎等にかかる可能性があります
- 糖尿病、肝硬変、心臓病等の場合、インプラント治療ができない可能性があります
- 高血圧、貧血・不整脈等の場合、インプラント治療後に治癒不全を招く可能性があります
- 自費診療(保険適用外治療)となります
セラミック治療の注意事項(リスク・副作用など)
- 天然歯を削ります
- 硬い素材は天然歯を傷つけてしまう場合があります
- かみ合わせや歯ぎしりが強すぎる方はセラミックが割れてしまう可能性があります
- 自費診療(保険適用外治療)となります
根管治療の注意事項(リスク・副作用など)
- 根管治療により類似の全ての症例の問題が解決するわけではなく、症例はあくまでも一例です
- 根管治療により痛みや腫れがひかない事や、術後に痛みや腫れが生じる事、治療によるファイル破折やパーフォレーションなどの偶発症、術後の歯根破折を生じる可能性もあります
- 自費診療(保険適用外)となります
当サイトの内容、テキスト、画像等の無断転載、複製、複写、盗用を固く禁じます。
















