症例詳細
Case detail
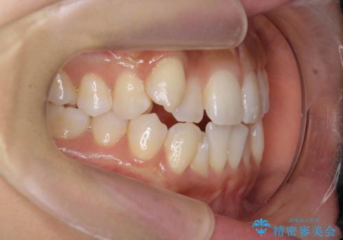
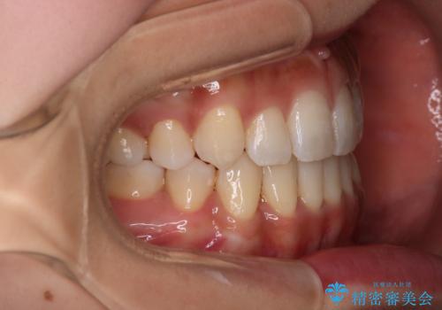
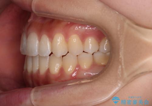
【審美装置】八重歯気になる
治療症例の内容
- 診療科目
- 治療カテゴリ
- 担当医
- 菊地俊介(ドクタープロフィール)
- 患者様
- 20代女性
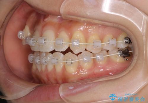
- 矯正装置
- 審美装置
- 治療期間
- 2年6ヶ月
- 治療回数
- 30回以上
- 治療計画
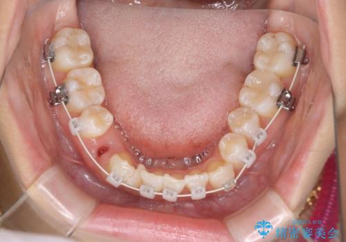
- 八重歯と叢生を主訴に来院されました。なるべく健康な歯を残したいという患者様の希望から、右側上下4番抜歯をしてワイヤー矯正する治療計画を立てました。
- 費用(概算)
- 80万円(税込)費用は治療当時の料金となります
治療について
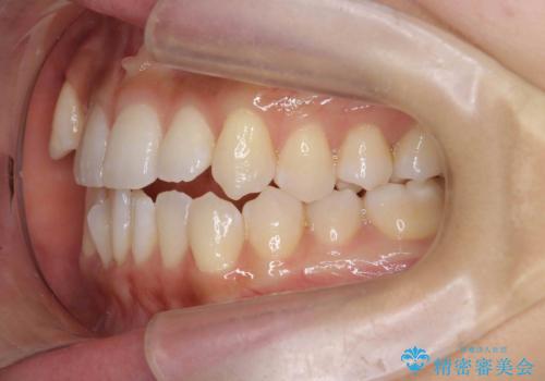
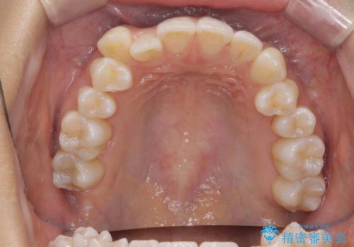
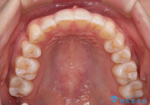
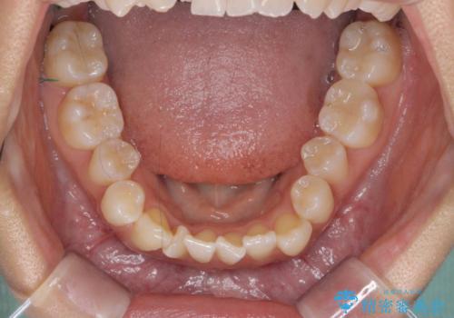
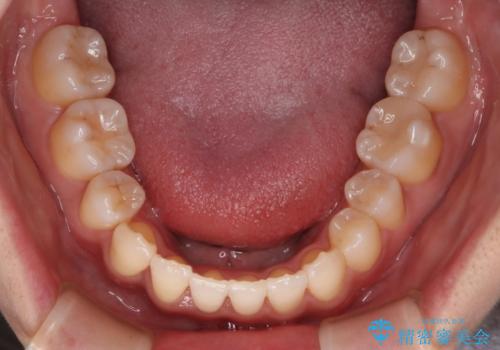
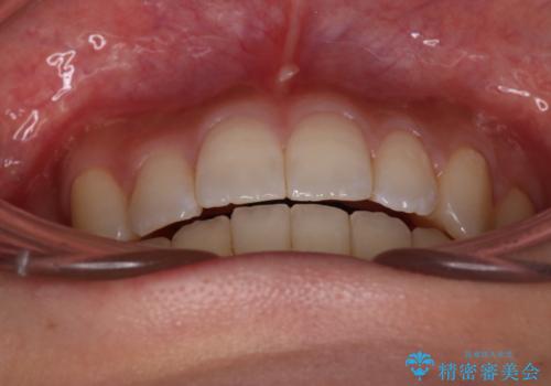
なるべく健康な歯を残したいという患者様の希望から、右側上下4番抜歯をして矯正しました。片側抜歯だったため、正中がズレないように気をつけながら治療を行いました。
正中もズレることなく主訴である八重歯と叢生を改善することができました。
患者様の満足度も高く治療を終えられました。
ワイヤー矯正の注意事項(リスク・副作用など)
- 治療中は違和感や痛みが起こることがあります
- 症状により、抜歯が必要な場合があります
- 治療中は歯磨きがしにくくなるため、虫歯や歯周病になりやすくなります
- 矯正治療後の保定が不十分だと後戻り(元の位置に戻ろうとする動き)をします
- 自費診療(保険適用外)となります
当サイトの内容、テキスト、画像等の無断転載、複製、複写、盗用を固く禁じます。

















