症例詳細
Case detail
前歯の突出を抜歯なしで改善|リンガルアーチ×TADを活用した矯正治療
治療症例の内容
- 担当医
- 河口智英(ドクタープロフィール)
- 患者様
- 10代女子
- 治療期間
- 2年
- 治療回数
- 10-30回
- 治療計画
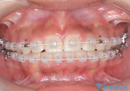
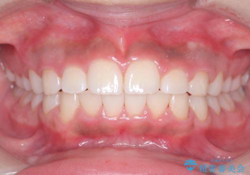
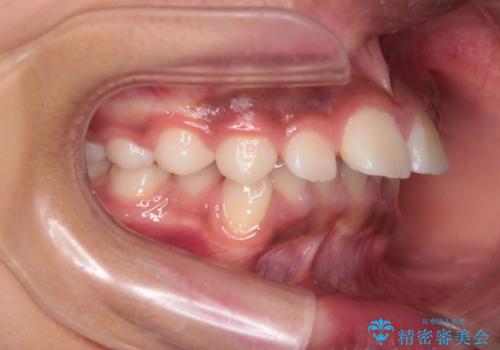
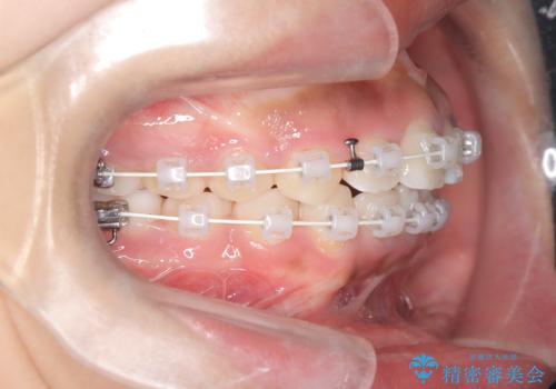
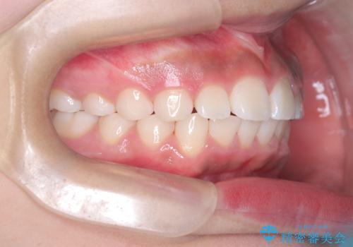
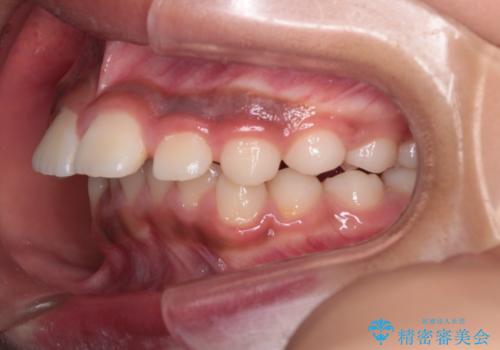
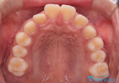
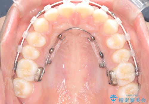
- 患者様は前歯の突出を主訴に来院されました。診査の結果、上顎の前歯が前方に傾斜しており、口元がやや突出して見える状態でした。一般的にこのようなケースでは抜歯矯正が選択肢となりますが、**患者様が抜歯を希望されなかったため、非抜歯での遠心移動(奥へ動かす治療)を計画しました。そのため、リンガルアーチ(歯の裏側に装着する装置)とTAD(歯科矯正用アンカースクリュー)**を併用し、上顎の歯を後方へ移動させながら噛み合わせを整える方法を選択しました。
- 費用(概算)
- 90万円費用は治療当時の料金となります
治療について
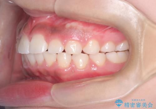
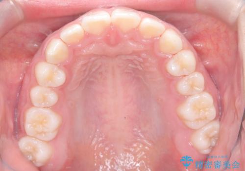
まず、上顎にリンガルアーチを装着し、歯列の幅を適正に維持しながら遠心移動をサポート。さらに、**TAD(矯正用アンカースクリュー)**を利用することで、奥歯を固定源とせずに前歯だけを後方へ移動させることが可能になりました。これにより、抜歯をせずに前歯の突出を抑え、バランスの取れた口元へと改善。治療後、患者様からは「抜歯せずに理想の仕上がりになり、大満足」とのお声をいただきました。
ワイヤー矯正の注意事項(リスク・副作用など)
- 治療中は違和感や痛みが起こることがあります
- 症状により、抜歯が必要な場合があります
- 治療中は歯磨きがしにくくなるため、虫歯や歯周病になりやすくなります
- 矯正治療後の保定が不十分だと後戻り(元の位置に戻ろうとする動き)をします
- 自費診療(保険適用外)となります
当サイトの内容、テキスト、画像等の無断転載、複製、複写、盗用を固く禁じます。















