症例詳細
Case detail
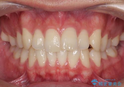
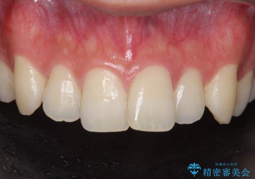
前歯を綺麗にしたい。
治療症例の内容
- 診療科目
 
- 治療カテゴリ
 
- 担当医
 - 青山卓弘(ドクタープロフィール)
 
- 患者様
 - 20代男性
 
- 治療期間
 - 2ヶ月
 
- 治療回数
 - 2-5回
 
- 治療計画
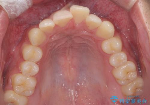
 - 前歯を良くしたい(綺麗にしたい)との事で来院。
前歯のがたつきを治す治療プランとして
1 矯正を行い歯並びを良くする。(費用と時間がかかる)
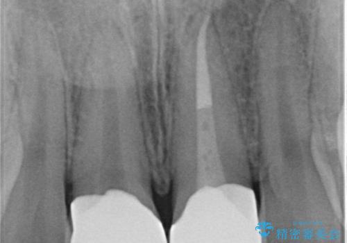
2 セラミッククラウンで見た目を良くする(短時間で終わるが歯の向きを無理やり変えるために便宜的に歯の神経を抜く必要がある。健康な歯を削る)
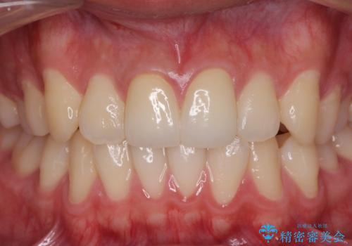
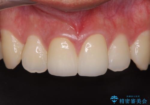
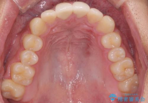
のご提案をしたところ2のプランを選択されたのでセラミック治療を行いました。
 
- 費用(概算)
 - ジルコニアクラウンスペシャル・仮歯 16.5万円×2 精密根管治療(イニシャルトリートメント)・ファイバーコア 8.8万円費用は治療当時の料金となります
 
治療について
見た目が良くなり大変満足して頂けました。
セラミック治療の注意事項(リスク・副作用など)
- 天然歯を削ります
 - 硬い素材は天然歯を傷つけてしまう場合があります
 - かみ合わせや歯ぎしりが強すぎる方はセラミックが割れてしまう可能性があります
 - 自費診療(保険適用外治療)となります
 
根管治療の注意事項(リスク・副作用など)
- 根管治療により類似の全ての症例の問題が解決するわけではなく、症例はあくまでも一例です
 - 根管治療により痛みや腫れがひかない事や、術後に痛みや腫れが生じる事、治療によるファイル破折やパーフォレーションなどの偶発症、術後の歯根破折を生じる可能性もあります
 - 自費診療(保険適用外)となります
 
その他の注意事項(リスク・副作用など)
- 担当歯科医師、歯科衛生士又は医院スタッフから受けた説明・注意事項をよくご確認ください
 - 医療を提供するに当たり、適切な説明を行い、患者様の十分な理解を得るよう努めております
 
当サイトの内容、テキスト、画像等の無断転載、複製、複写、盗用を固く禁じます。

                      
                                                          






