症例詳細
Case detail
外れてしまった奥の銀歯 オールセラミッククラウンによる補綴治療
治療症例の内容
- 診療科目
- 治療カテゴリ
- 担当医
- 藤巻太一朗(ドクタープロフィール)
- 患者様
- 40代男性
- 治療期間
- 1ヶ月
- 治療回数
- 2-5回
- 治療計画
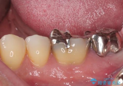
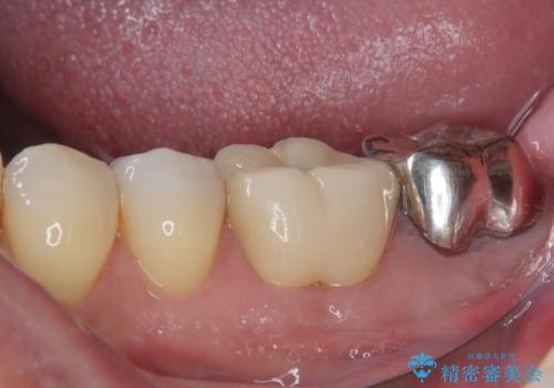
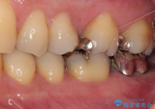
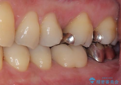
- 奥の銀歯が外れしまったとのことで来院された患者様です。
非常に咬合力が強く、銀歯の周りの歯がむし歯になっている状態でした。
部分的な詰め物ですと、再度周辺がむし歯になるリスクが高いと考えられたため、オールセラミッククラウンにて補綴治療を行うこととしました。
- 費用(概算)
- 治療費の目安: 13万円(税込)費用は治療当時の料金となります
治療について
ゴールドのような金属の詰め物は、削る範囲を最小限にし、厚みもセラミックと比べて薄くできるため、セラミックのようにクラウンにせずに治療を行うこともできますが、保険診療である銀歯では、どうしても適合が悪く隙間ができてしまうので、今回のような周辺がむし歯になる可能性が高くなってしまいます。
セラミック治療の注意事項(リスク・副作用など)
- 天然歯を削ります
- 硬い素材は天然歯を傷つけてしまう場合があります
- かみ合わせや歯ぎしりが強すぎる方はセラミックが割れてしまう可能性があります
- 自費診療(保険適用外治療)となります
当サイトの内容、テキスト、画像等の無断転載、複製、複写、盗用を固く禁じます。










