症例詳細
Case detail
【ワイヤー矯正】八重歯 歯のでこぼこを治したい!
治療症例の内容
- 診療科目
- 担当医
- 河野豊嘉(ドクタープロフィール)
- 患者様
- 20代女性
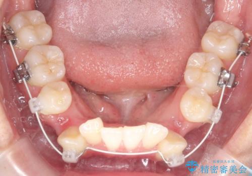
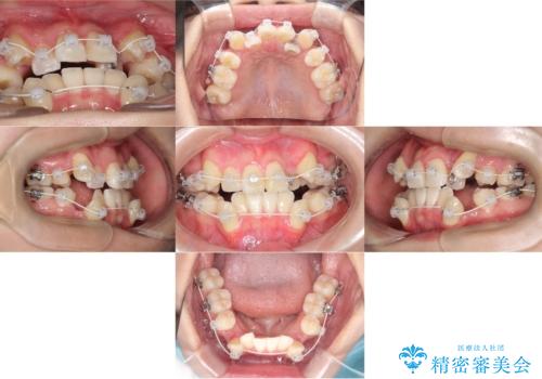
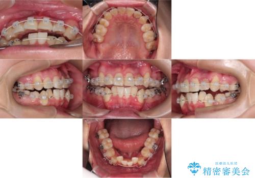
- 矯正装置
- ワイヤー(審美装置)
- 治療期間
- 2年10ヶ月
- 治療回数
- 30回以上
- 治療計画
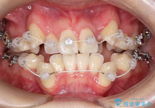
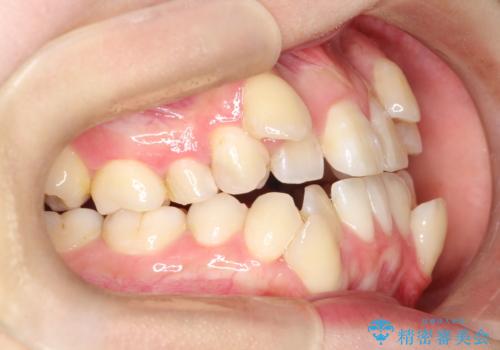
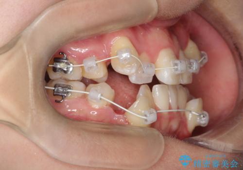
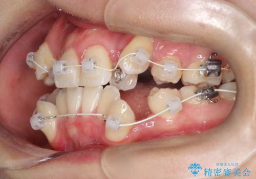
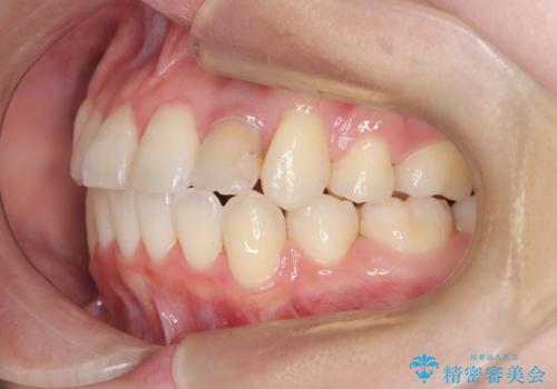
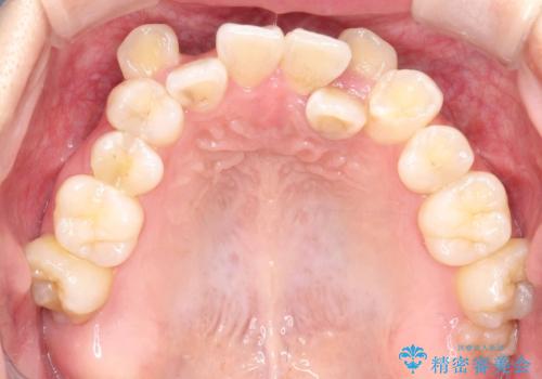
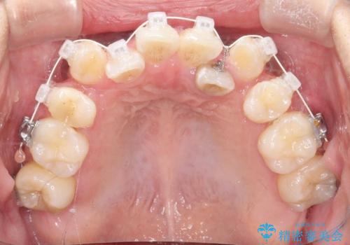
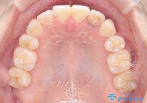
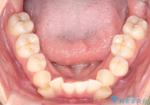
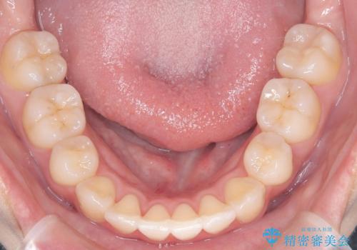
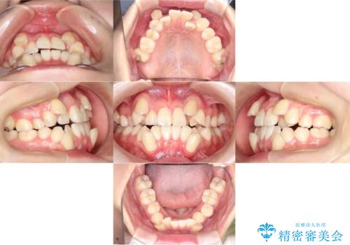
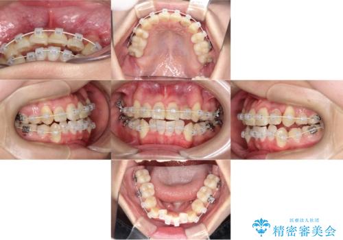
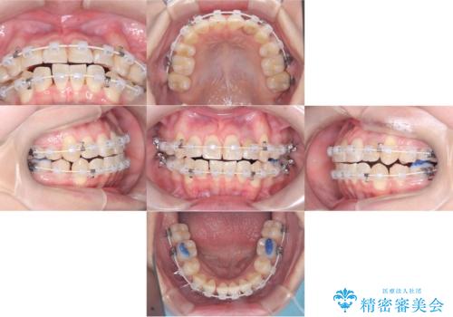
- 「歯のでこぼこを治したい」を主訴に来院された患者様です。 上下ともに、歯のでこぼこが強く、上下左右4の抜歯をし、ワイヤー矯正で治療を行いました。
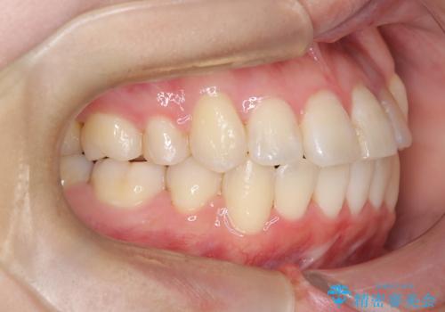
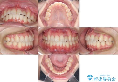
かなり綺麗に並ぶ事ができ大変満足していただけました。
- 費用(概算)
- 1100,000円(税込)費用は治療当時の料金となります
治療について
叢生量がかなり多かったのですが、歯肉退縮も失活歯も無くとても綺麗な歯並びになりました。
歯のでこぼこは、歯周病や虫歯のリスクも、とても高いので、見た目のみならず、将来の歯の寿命自体もかなり伸ばす事が出来た治療でした。
歯の寿命を伸ばす為には、歯磨きをし易い環境を作る事がとても大切です。
ワイヤー矯正の注意事項(リスク・副作用など)
- 治療中は違和感や痛みが起こることがあります
- 症状により、抜歯が必要な場合があります
- 治療中は歯磨きがしにくくなるため、虫歯や歯周病になりやすくなります
- 矯正治療後の保定が不十分だと後戻り(元の位置に戻ろうとする動き)をします
- 自費診療(保険適用外)となります
当サイトの内容、テキスト、画像等の無断転載、複製、複写、盗用を固く禁じます。



























