症例詳細
Case detail
翼状捻転と叢生を矯正で改善
治療症例の内容
- 担当医
- 河口智英(ドクタープロフィール)
- 患者様
- 30代女性
- 治療期間
- 2年
- 治療回数
- 30回以上
- 治療計画
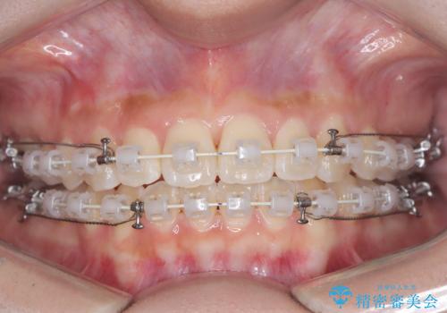
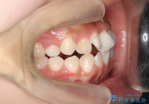
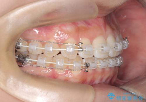
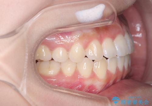
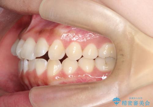
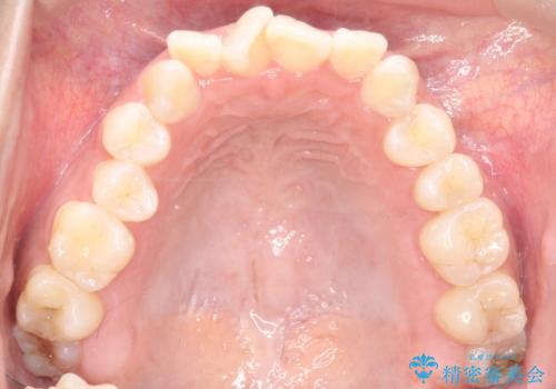
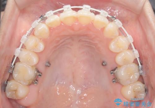
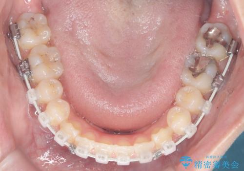
- 患者様は、上の前歯に翼状捻転(歯が回転して生えている状態)があり、全体の歯並び(叢生)の改善を希望して来院されました。診断の結果、非抜歯での治療が可能であると判断し、上顎にリンガルアーチを装着し、矯正用アンカースクリューを併用することで臼歯部を確実に遠心移動させる治療計画を立案しました。これにより、スペースを確保しつつ、前歯をきれいに並べることを目指しました。
- 費用(概算)
- 85万円費用は治療当時の料金となります
治療について
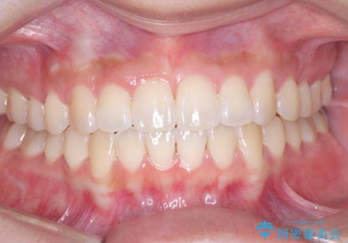
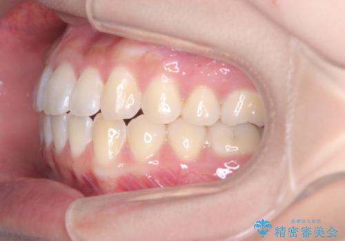
治療では、審美ワイヤーを使用し、目立ちにくく配慮しながら矯正を進めました。上顎にリンガルアーチと矯正用アンカースクリューを用いて臼歯部を安定的に遠心移動させ、歯列全体のスペースを確保しました。その後、回転していた前歯を正しい位置に配列し、全体的な歯並びの改善を行いました。治療中は、装置の適切な管理と口腔衛生を徹底することが重要でした。結果として、見た目だけでなく機能的にも優れた歯列を実現することができ、患者様にもご満足いただけました。
ワイヤー矯正の注意事項(リスク・副作用など)
- 治療中は違和感や痛みが起こることがあります
- 症状により、抜歯が必要な場合があります
- 治療中は歯磨きがしにくくなるため、虫歯や歯周病になりやすくなります
- 矯正治療後の保定が不十分だと後戻り(元の位置に戻ろうとする動き)をします
- 自費診療(保険適用外)となります
当サイトの内容、テキスト、画像等の無断転載、複製、複写、盗用を固く禁じます。















