症例詳細
Case detail
銀歯をやり替えたい フルジルコニアクラウン・セラミックインレー修復
治療症例の内容
- 診療科目
- 担当医
- 有澤哲郎(ドクタープロフィール)
- 患者様
- 20代女性
- 治療期間
- 2ヶ月
- 治療回数
- 2-5回
- 治療計画
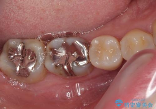
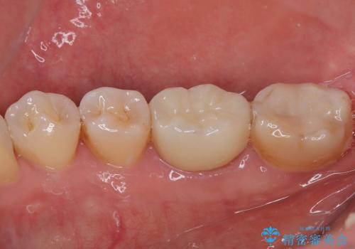
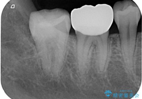
- 当院で矯正後に銀歯が目立つのでやり替えたいと来院された患者様です。銀色の詰め物(メタルインレー)と歯の間に隙間を認め、あまり歯を削りたくないとのことで患者様と相談の結果右下の7番目の歯はセラミックインレー、右下の6番目の歯はメタルインレーが大きいためフルジルコニアクラウンでの治療を行うことになりました。
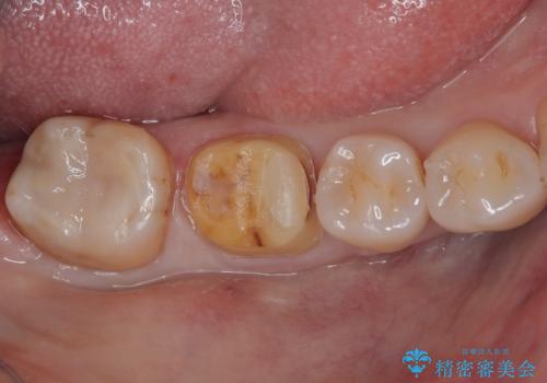
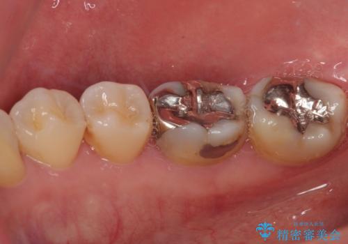
拡大鏡視野下で、銀色の詰め物(メタルインレー)、保険のプラスチック、虫歯の除去を行い、セラミックインレー、フルジルコニアクラウンに適した形に整えました。
歯と歯茎の間に圧排糸と言われる糸を入れてシリコーン印象材にて精密な型どりをしました。
セラミックインレーの装着時には、唾液の侵入を防ぐために、ラバーダム防湿を行いました。
また矯正後なのでリテーナーの作成が最小になるように治療計画を立案しました。
- 費用(概算)
- 17万円(税込み)費用は治療当時の料金となります
治療について
特に異常もなく見た目、噛み合わせともに満足していただけました。
ラバーダム防湿を行い、セラミックの接着をすることで、唾液や血液などの接着阻害因子を排除することができます。
歯と歯の間の虫歯をコンポジットレジンや保険のメタルインレーで治すと段差ができたりして清掃性が悪くなるので、セラミックインレー修復やゴールドインレー修復などの適合の良い詰め物で治療することをオススメします。又、適合の良い詰め物、被せものだと虫歯の再発リスクを低減できます。
セラミック治療の注意事項(リスク・副作用など)
- 天然歯を削ります
- 硬い素材は天然歯を傷つけてしまう場合があります
- かみ合わせや歯ぎしりが強すぎる方はセラミックが割れてしまう可能性があります
- 自費診療(保険適用外治療)となります
その他の注意事項(リスク・副作用など)
- 担当歯科医師、歯科衛生士又は医院スタッフから受けた説明・注意事項をよくご確認ください
- 医療を提供するに当たり、適切な説明を行い、患者様の十分な理解を得るよう努めております
当サイトの内容、テキスト、画像等の無断転載、複製、複写、盗用を固く禁じます。










