症例詳細
Case detail
銀歯をやり替えたい フルジルコニアクラウン・ゴールドインレー修復
治療症例の内容
- 診療科目
- 担当医
- 有澤哲郎(ドクタープロフィール)
- 患者様
- 20代女性
- 治療期間
- 1ヶ月
- 治療回数
- 2-5回
- 治療計画
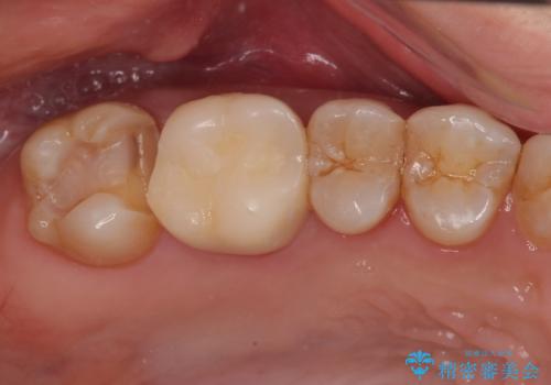
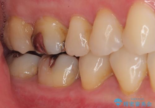
- 当院で矯正終了後に銀歯をやり替えたいとのことで来院された患者様です。
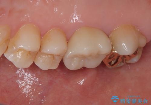
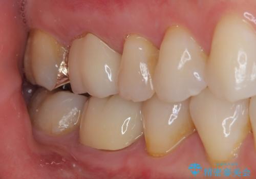
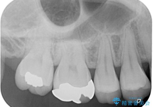
右上の6番目の歯はメタルインレーが大きかったためルジルコニアクラウン、右上の7番目の歯は一番奥で審美的な要素よりも機能面を重視してゴールドインレー修復による治療計画を立案しました。
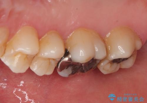
拡大鏡視野下で保険のプラスチック(コンポジットレジン)、虫歯を除去し、フルジルコニアクラウン、ゴールドインレーに適した形にしました。
歯と歯茎の間に圧排糸と呼ばれる糸を入れてシリコーン印象を行いました。
- 費用(概算)
- 17万円(税込み)費用は治療当時の料金となります
治療について
見た目と機能面ともに満足していただきました。
矯正直後なので、リテーナーをあまり作り変えたくなかったのでリテーナーの制作回数が最小になるように治療計画を立案しました。
セラミック治療の注意事項(リスク・副作用など)
- 天然歯を削ります
- 硬い素材は天然歯を傷つけてしまう場合があります
- かみ合わせや歯ぎしりが強すぎる方はセラミックが割れてしまう可能性があります
- 自費診療(保険適用外治療)となります
PGA(ゴールド)クラウン、インレーの注意事項(リスク・副作用など)
- インレーおよびクラウンは脱離するリスクがあります
- 形成量はセラミックより少ないですが、歯の形成、修復後に歯に症状が出ることがあります
- 自費診療(保険適用外治療)となります
その他の注意事項(リスク・副作用など)
- 担当歯科医師、歯科衛生士又は医院スタッフから受けた説明・注意事項をよくご確認ください
- 医療を提供するに当たり、適切な説明を行い、患者様の十分な理解を得るよう努めております
当サイトの内容、テキスト、画像等の無断転載、複製、複写、盗用を固く禁じます。










