症例詳細
Case detail
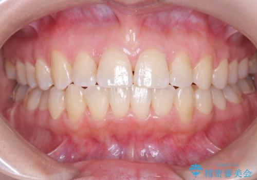
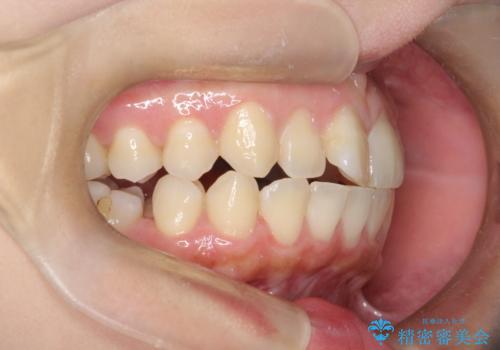
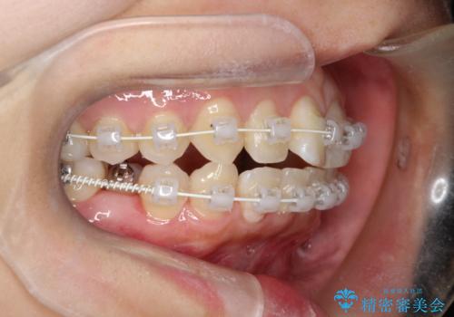
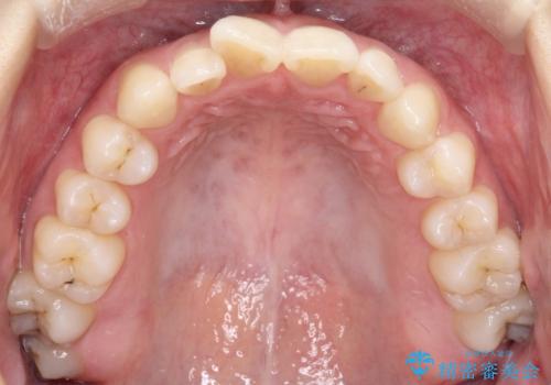
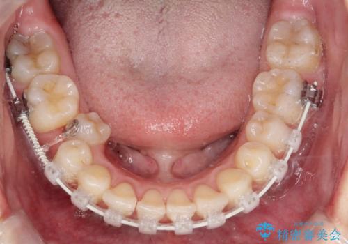
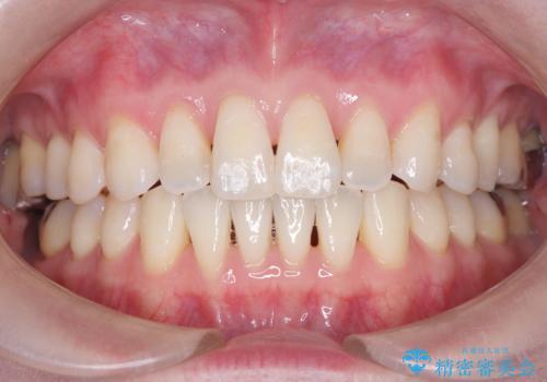
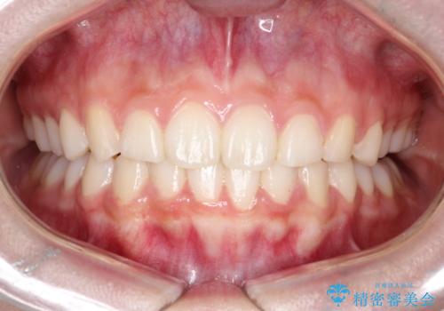
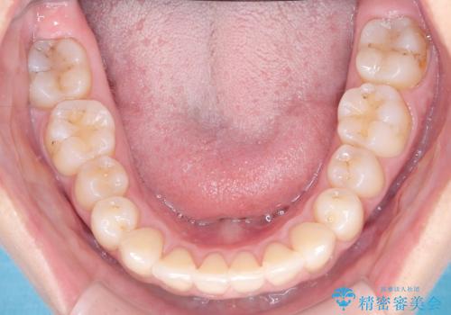
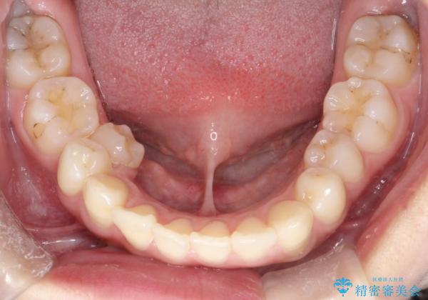
右下第二小臼歯の舌側転移の改善
治療症例の内容
- 担当医
- 河口智英(ドクタープロフィール)
- 患者様
- 30代女性
- 矯正装置
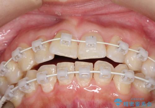
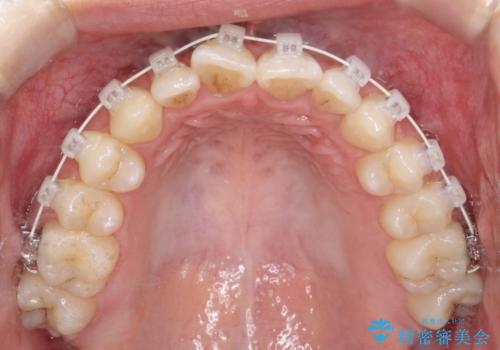
- 審美ワイヤー装置
- 治療期間
- 2年
- 治療回数
- 10-30回
- 治療計画
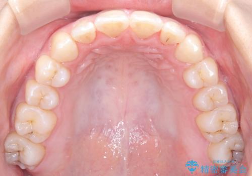
- 患者様は、右下第二小臼歯が舌側に転移していることが主訴でした。診断の結果、抜歯を伴う矯正治療も検討しましたが、奥歯の遠心移動とIPR(インタープロキシマルリダクション)を行うことで、非抜歯で矯正を進めることが可能であると判断しました。治療計画では、審美ワイヤーを用いた2年間の治療で、歯列を整えつつ、臼歯関係や正中のバランスを維持しながら進めました。
- 費用(概算)
- 100万円費用は治療当時の料金となります
治療について
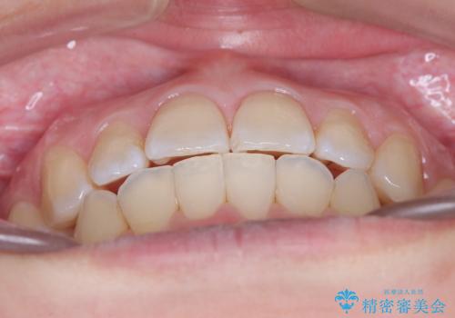
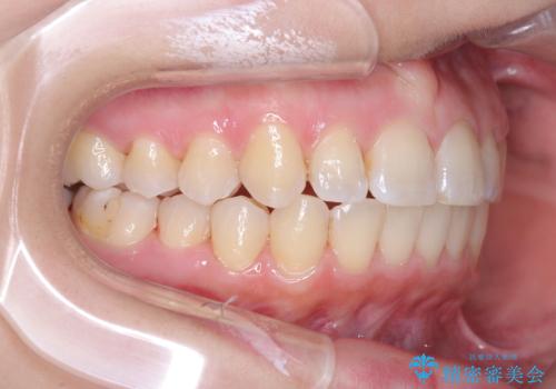
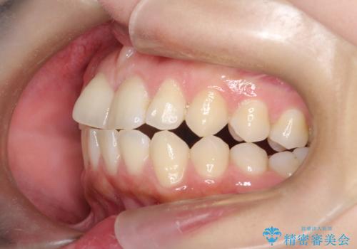
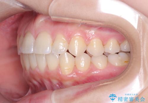
非抜歯矯正では、歯の動きを慎重に調整することが求められます。本症例では、奥歯を遠心に移動させることで、舌側に転移した右下第二小臼歯の位置を改善しました。また、IPRを行うことで歯間スペースを確保し、無理なく歯列の調整を行いました。非抜歯での治療は、特に臼歯関係や正中を保ちながら治療できるというメリットがあり、最終的にはバランスの取れた歯並びを実現できました。審美ワイヤーを使用したことで、治療中も目立ちにくく、患者様の見た目にも配慮した治療を行いました。
ワイヤー矯正の注意事項(リスク・副作用など)
- 治療中は違和感や痛みが起こることがあります
- 症状により、抜歯が必要な場合があります
- 治療中は歯磨きがしにくくなるため、虫歯や歯周病になりやすくなります
- 矯正治療後の保定が不十分だと後戻り(元の位置に戻ろうとする動き)をします
- 自費診療(保険適用外)となります
当サイトの内容、テキスト、画像等の無断転載、複製、複写、盗用を固く禁じます。


















