症例詳細
Case detail
口元が出ているのを改善したい。 クリアブラケットによる抜歯矯正
治療症例の内容
- 担当医
- 齋藤佑磨(ドクタープロフィール)
- 患者様
- 20代女性
- 矯正装置
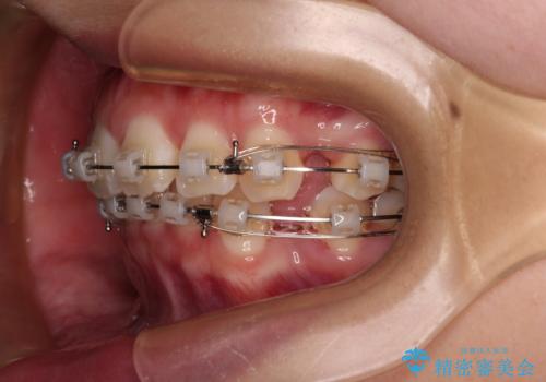
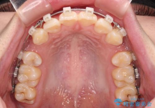
- クリアブラケット
- 治療期間
- 1年10ヶ月
- 治療回数
- 10-30回
- 治療計画
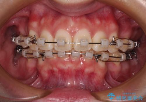
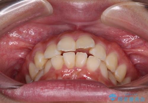
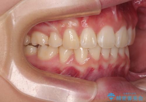
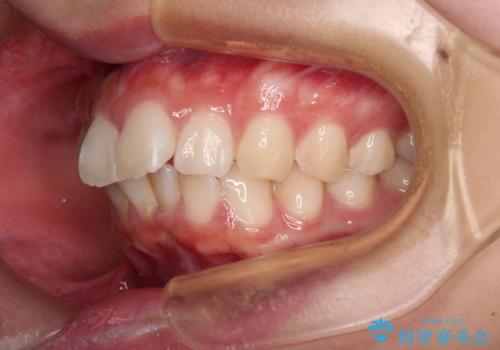
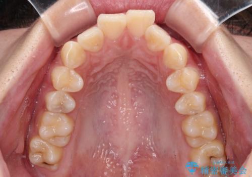
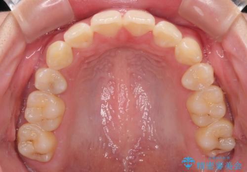
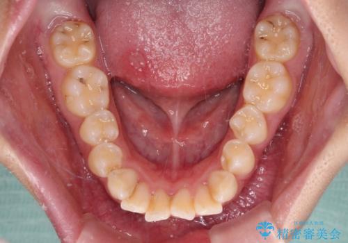
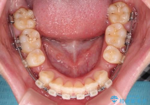
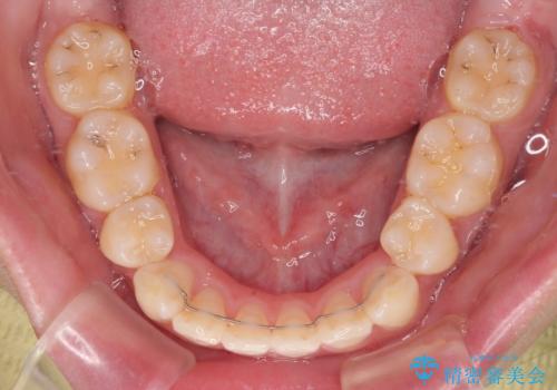
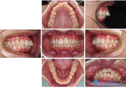
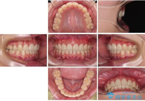
- 前歯部のデコボコと口元が出ているのが気になるとのことで来院された患者様です。
口元の突出感の解消と、このままデコボコを解消するとさらに出っ歯傾向になってしまうことを考慮し、上下左右の小臼歯を抜歯しクリアブラケットにて矯正していくこととしました。
- 費用(概算)
- 101万円(税込)費用は治療当時の料金となります
治療について
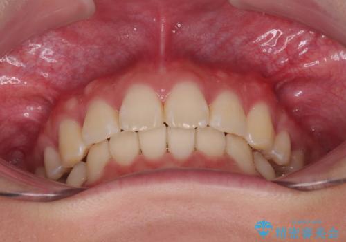
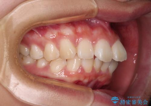
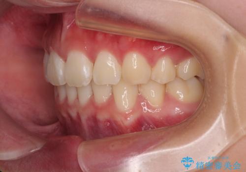
舌突出癖を改善するトレーニングを一生懸命やっていただいたおかげで2年以内に治療を終えることができました。
ワイヤー矯正の注意事項(リスク・副作用など)
- 治療中は違和感や痛みが起こることがあります
- 症状により、抜歯が必要な場合があります
- 治療中は歯磨きがしにくくなるため、虫歯や歯周病になりやすくなります
- 矯正治療後の保定が不十分だと後戻り(元の位置に戻ろうとする動き)をします
- 自費診療(保険適用外)となります
当サイトの内容、テキスト、画像等の無断転載、複製、複写、盗用を固く禁じます。


























