症例詳細
Case detail
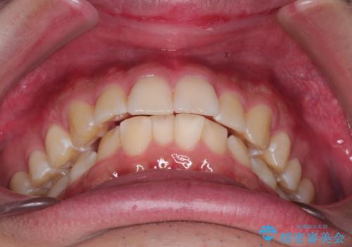
【インビザライン】短期間で出っ歯を治したい
治療症例の内容
- 患者様
- 20代男性
- 矯正装置
- インビザライン
- 治療期間
- 1年6ヶ月
- 治療回数
- 5-10回
- 治療計画
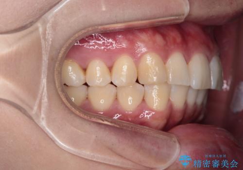
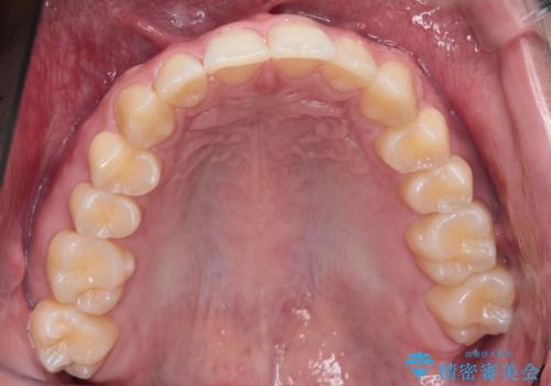
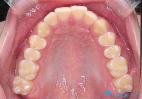
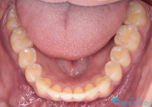
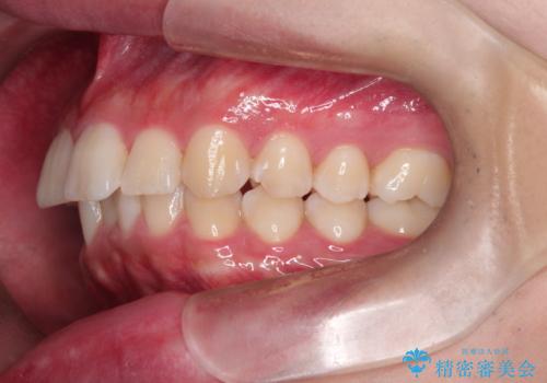
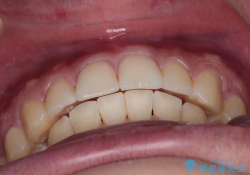
- 出っ歯と口元の突出感が気になるということで来院されました。抜歯矯正も考えられますが、今回は早く終わらせたいという要望があり非抜歯での治療にしました。また遠方から来院されているため、来院回数のおさえられるインビザラインを選択しました。
- 費用(概算)
- 88万円(税込)費用は治療当時の料金となります
治療について
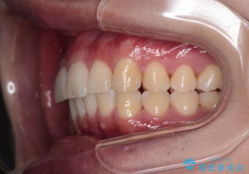
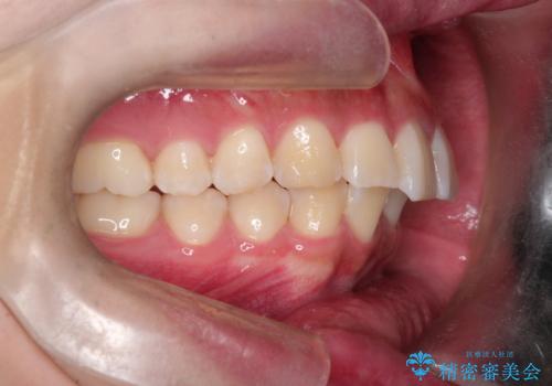
非抜歯での治療のため、今回はスペース確保のために遠心移動とおもにIPRの処置を取り入れました。
マウスピース矯正の注意事項(リスク・副作用など)
- 口腔内・歯並びの状態によっては対応できない場合があります
- マウスピース型矯正装置の長時間装着(1日20時間以上)が必須です
- 治療計画通りに進めるためには、患者様の意志が重要になります
- 矯正治療後の保定が不十分だと後戻り(元の位置に戻ろうとする動き)をします
- 薬機法対象外の矯正歯科装置のため医薬品副作用被害救済制度の対象外となる場合があります
- 自費診療(保険適用外)となります
当サイトの内容、テキスト、画像等の無断転載、複製、複写、盗用を固く禁じます。














