症例詳細
Case detail
前歯を綺麗にしたい。
治療症例の内容
- 担当医
- 岡田康成(ドクタープロフィール)
- 患者様
- 20代女性
- 治療期間
- 10ヶ月
- 治療回数
- 5-10回
- 治療計画
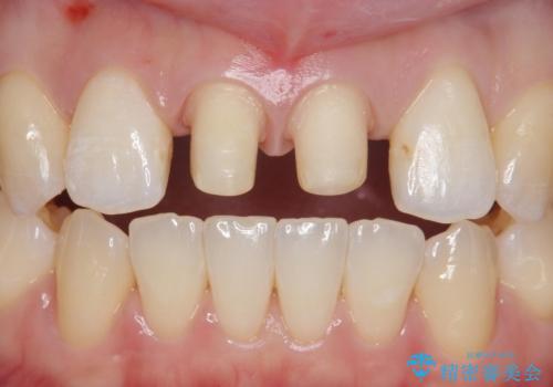
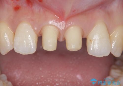
- 前歯の審美性改善と、軽度のがたつきを主訴に来院された患者様です。
マウスピース矯正を行った後、かぶせ物で審美性を改善していきます。
- 費用(概算)
- インビザライン/605,000円 右上1左上1:仮歯/11,000円 ジルコニアクラウン(スタンダード)/121,000円 合計737,000円費用は治療当時の料金となります
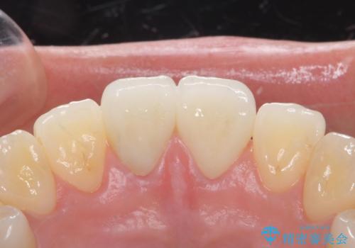
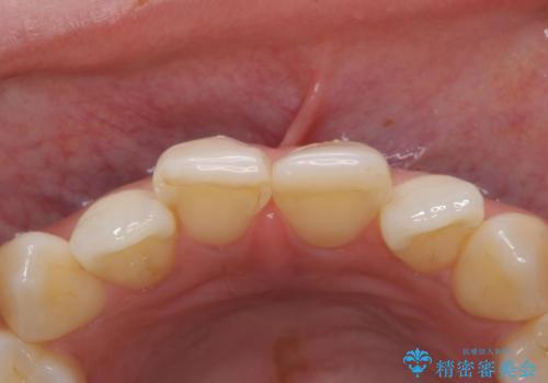
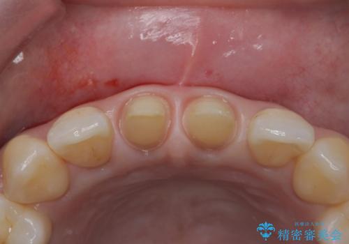
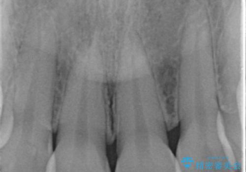
治療について
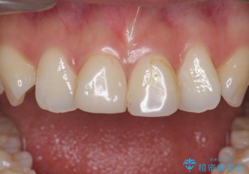
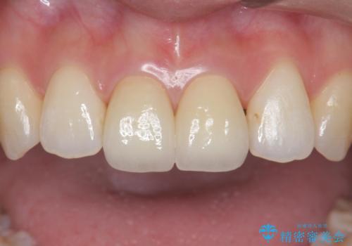
前歯には審美性も適合も良いクラウンを装着。
歯ぐきの状態も非常に良いです。
歯のがたつきも改善され、大変喜んでいただけました。
セラミック治療の注意事項(リスク・副作用など)
- 天然歯を削ります
- 硬い素材は天然歯を傷つけてしまう場合があります
- かみ合わせや歯ぎしりが強すぎる方はセラミックが割れてしまう可能性があります
- 自費診療(保険適用外治療)となります
マウスピース矯正の注意事項(リスク・副作用など)
- 口腔内・歯並びの状態によっては対応できない場合があります
- マウスピース型矯正装置の長時間装着(1日20時間以上)が必須です
- 治療計画通りに進めるためには、患者様の意志が重要になります
- 矯正治療後の保定が不十分だと後戻り(元の位置に戻ろうとする動き)をします
- 薬機法対象外の矯正歯科装置のため医薬品副作用被害救済制度の対象外となる場合があります
- 自費診療(保険適用外)となります
当サイトの内容、テキスト、画像等の無断転載、複製、複写、盗用を固く禁じます。














