症例詳細
Case detail
- 患者様
- 50代女性
- 治療期間
- 2年
- 治療回数
- 30回以上
- 治療計画
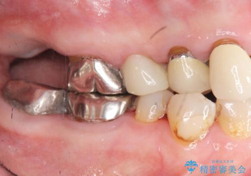
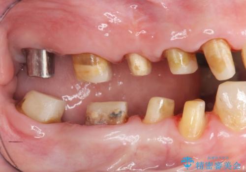
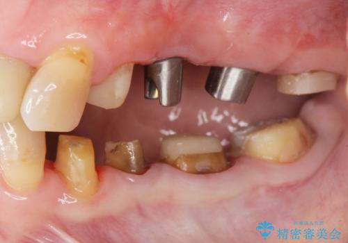
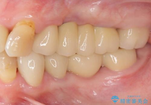
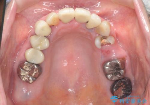
- 見た目の悪い銀歯や虫歯、歯の欠損、全体的な治療を希望されて来院されました。
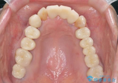
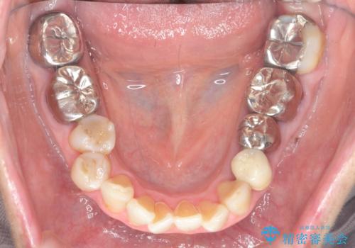
インプラント治療や根管治療・セラミック治療を総合的に考えた精度の高い治療を計画し、しっかり噛めるようになるのはもちろん長期的な予後や審美性の向上を考えた全顎的な治療を実践していきます。
- 費用(概算)
- 約440万円費用は治療当時の料金となります
治療について
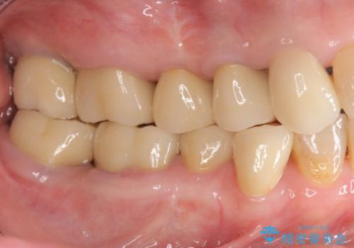
期間は約2年ほどかかりましたが、審美的な仕上がりとともに清掃のしやすさも非常に満足いただくことができました。
インプラント治療の注意事項(リスク・副作用など)
- 外科手術のため、術後に痛みや腫れ、違和感を伴います
- メンテナンスを怠ったり喫煙により、お口の中に大きな悪影響を及ぼすインプラント周囲炎等にかかる可能性があります
- 糖尿病、肝硬変、心臓病等の場合、インプラント治療ができない可能性があります
- 高血圧、貧血・不整脈等の場合、インプラント治療後に治癒不全を招く可能性があります
- 自費診療(保険適用外治療)となります
セラミック治療の注意事項(リスク・副作用など)
- 天然歯を削ります
- 硬い素材は天然歯を傷つけてしまう場合があります
- かみ合わせや歯ぎしりが強すぎる方はセラミックが割れてしまう可能性があります
- 自費診療(保険適用外治療)となります
当サイトの内容、テキスト、画像等の無断転載、複製、複写、盗用を固く禁じます。















