症例詳細
Case detail
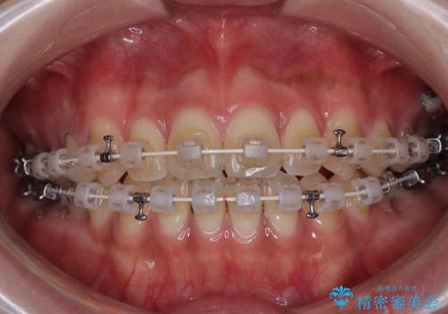
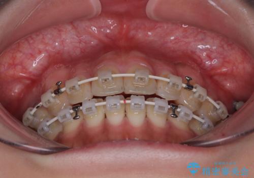
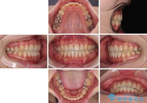
開咬をワイヤー装置で矯正治療
治療症例の内容
- 診療科目
- 治療カテゴリ
- 担当医
- 藤巻太一朗(ドクタープロフィール)
- 患者様
- 30代女性
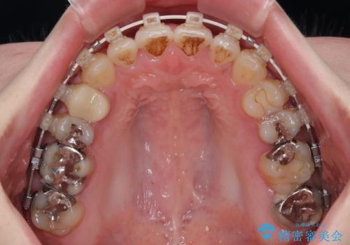
- 矯正装置
- 審美装置
- 治療期間
- 10ヶ月
- 治療回数
- 10-30回
- 治療計画
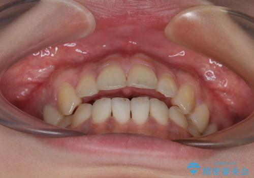
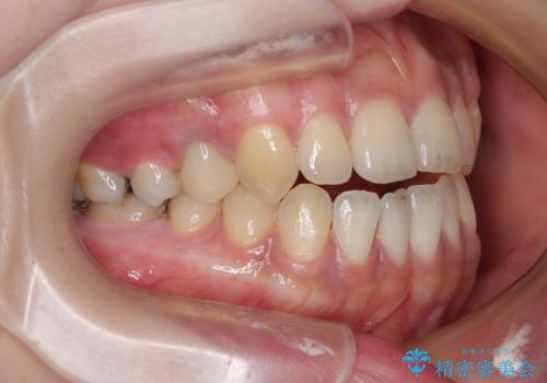
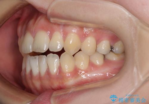
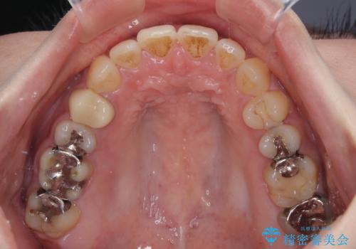
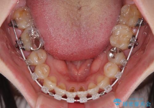
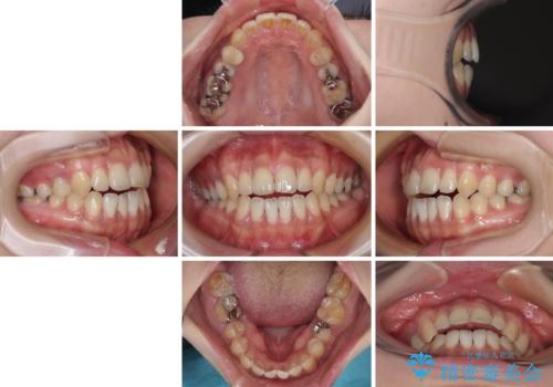
- 上下前歯が非接触となっている咬み合わせを気にして来院された患者様です。
開咬となっている原因の大半は、舌の突出癖によるものであるため、治療開始前から舌のトレーニングを開始し、スムーズに治療が進むようにしました。
開咬の方は、インビザライン矯正治療が適していますが、自己管理の煩わしさと、転勤の可能性がありマウスピース矯正であると通院しなくなるだろうとのことで、ワイヤー装置にて矯正治療を行うこととしました。
- 費用(概算)
- 治療費の目安: 95万円(税込)費用は治療当時の料金となります
治療について
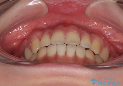
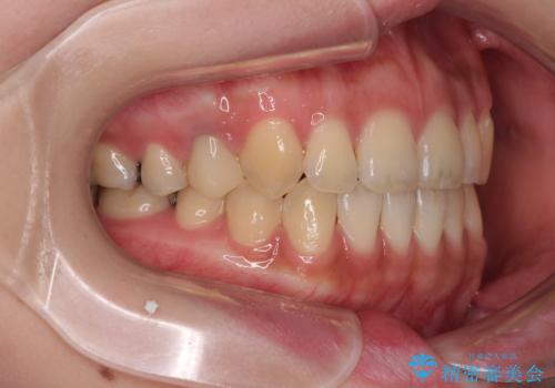
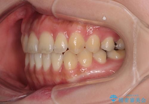
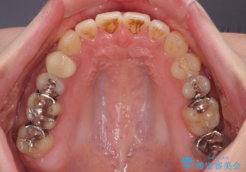
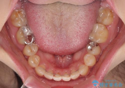
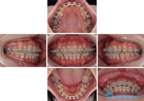
治療開始から8ヶ月ほどで遠方への転勤が決まりましたが、歯列は概ね整っていたため、その後は東京出張を狙って治療を終える処置を行うことができました。
ワイヤー矯正の注意事項(リスク・副作用など)
- 治療中は違和感や痛みが起こることがあります
- 症状により、抜歯が必要な場合があります
- 治療中は歯磨きがしにくくなるため、虫歯や歯周病になりやすくなります
- 矯正治療後の保定が不十分だと後戻り(元の位置に戻ろうとする動き)をします
- 自費診療(保険適用外)となります
当サイトの内容、テキスト、画像等の無断転載、複製、複写、盗用を固く禁じます。



























