症例詳細
Case detail
歯茎に溝が 大きく欠損した前歯のインプラント補綴治療
治療症例の内容
- 担当医
- 藤巻太一朗(ドクタープロフィール)
- 患者様
- 50代男性
- 治療期間
- 1年1ヶ月
- 治療回数
- 10-30回
- 治療計画
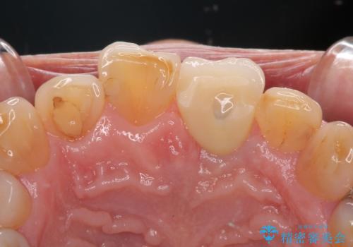
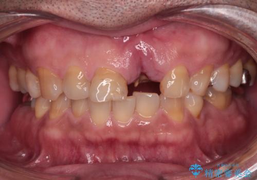
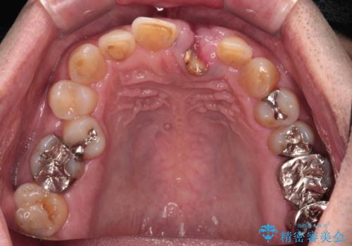
- 歯が朽ちてしまい、歯茎に大きな溝ができていることを気にして来院された患者様です。
インプラント治療を希望されておりましたが、軟組織の欠損が非常に大きいため、骨の回復を待ちながら歯肉の形態を整えていくこととしました。
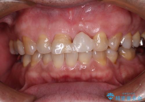
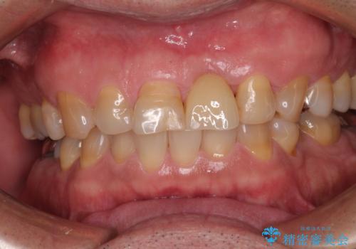
歯肉形態を概ね回復するタイミングでインプラントを埋入し、補綴治療を行うこととしました。
- 費用(概算)
- 治療費の目安: 52万円(税込)費用は治療当時の料金となります
治療について
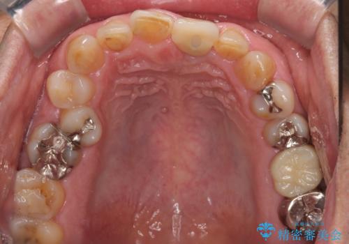
歯肉移植術による更なる歯肉ラインの改善も検討しましたが、笑ったときに歯肉ラインは唇に隠れてしまうため、現在の位置にて仕上げることとしました。
骨の前後幅が小さかったため、細いインプラントを選択せざるを得ない状況でした。咬合力が非常に強い方のため、就寝時のマウスピース装着を徹底していただき、インプラントへの負担を軽減することとしています。
インプラント治療の注意事項(リスク・副作用など)
- 外科手術のため、術後に痛みや腫れ、違和感を伴います
- メンテナンスを怠ったり喫煙により、お口の中に大きな悪影響を及ぼすインプラント周囲炎等にかかる可能性があります
- 糖尿病、肝硬変、心臓病等の場合、インプラント治療ができない可能性があります
- 高血圧、貧血・不整脈等の場合、インプラント治療後に治癒不全を招く可能性があります
- 自費診療(保険適用外治療)となります
セラミック治療の注意事項(リスク・副作用など)
- 天然歯を削ります
- 硬い素材は天然歯を傷つけてしまう場合があります
- かみ合わせや歯ぎしりが強すぎる方はセラミックが割れてしまう可能性があります
- 自費診療(保険適用外治療)となります
当サイトの内容、テキスト、画像等の無断転載、複製、複写、盗用を固く禁じます。
















