症例詳細
Case detail
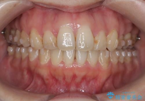
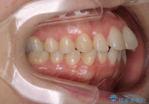
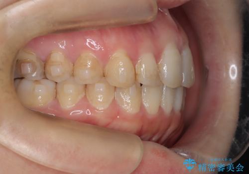
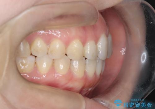
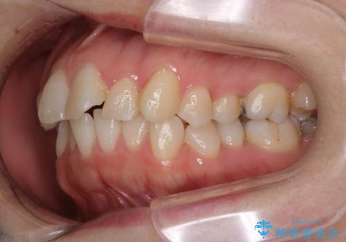
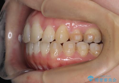
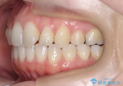
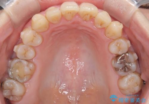
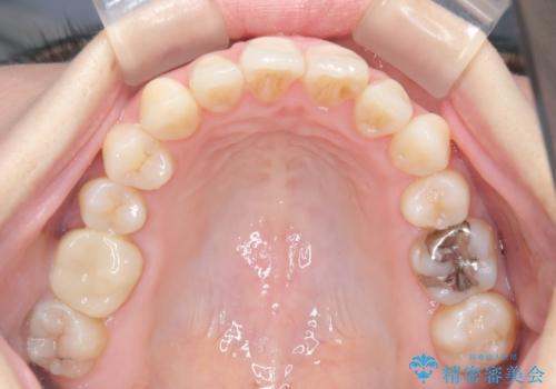
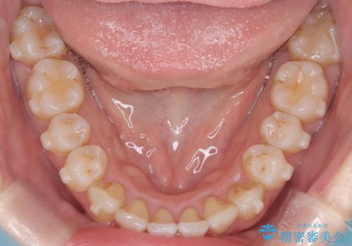
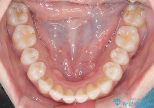
インビザラインによる前歯のガタガタ改善治療
治療症例の内容
- 診療科目
 
- 担当医
 - 河口智英(ドクタープロフィール)
 
- 患者様
 - 20代女性
 
- 治療期間
 - 2年
 
- 治療回数
 - 5-10回
 
- 治療計画
 - 患者様の前歯がガタガタしており、歯が前に出ている状態を改善するためにインビザラインを用いた矯正治療を行いました。インビザラインは透明なアライナーを使用するため、見た目にも優れ、快適に装着できる特徴があります。
 
- 費用(概算)
 - 80万円費用は治療当時の料金となります
 
治療について
インビザラインによる治療は、装着中も目立たず、日常生活に支障をきたさないため、患者様にとっても快適な選択肢となりました。治療後は、歯並びが整い、自信を持って笑顔を見せられるようになりました。
マウスピース矯正の注意事項(リスク・副作用など)
- 口腔内・歯並びの状態によっては対応できない場合があります
 - マウスピース型矯正装置の長時間装着(1日20時間以上)が必須です
 - 治療計画通りに進めるためには、患者様の意志が重要になります
 - 矯正治療後の保定が不十分だと後戻り(元の位置に戻ろうとする動き)をします
 - 薬機法対象外の矯正歯科装置のため医薬品副作用被害救済制度の対象外となる場合があります
 - 自費診療(保険適用外)となります
 
当サイトの内容、テキスト、画像等の無断転載、複製、複写、盗用を固く禁じます。

                      
                                                          













