症例詳細
Case detail
奥歯が痛い オールセラミッククラウンでのむし歯治療
治療症例の内容
- 診療科目
- 担当医
- 藤巻太一朗(ドクタープロフィール)
- 患者様
- 20代男性
- 治療期間
- 3ヶ月
- 治療回数
- 5-10回
- 治療計画
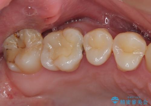
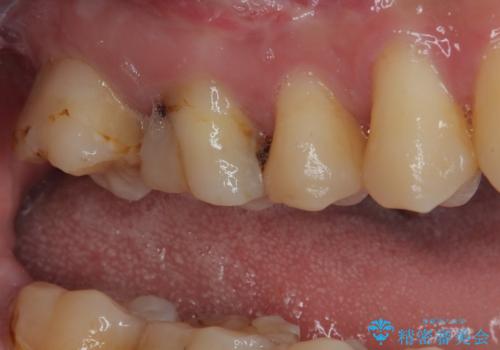
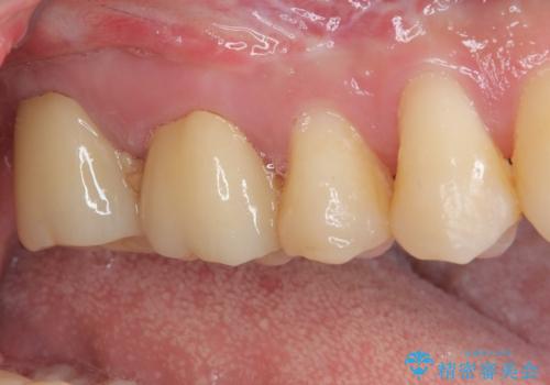
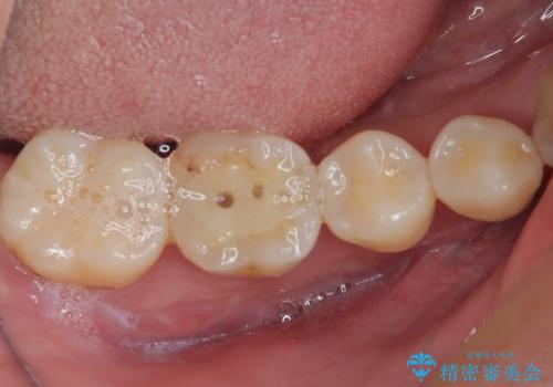
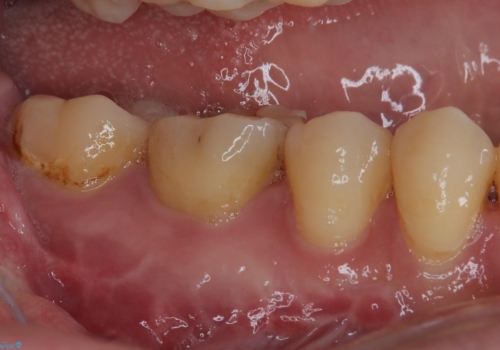
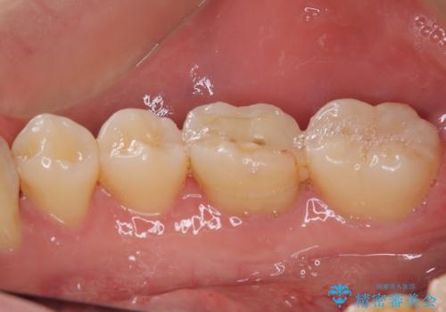
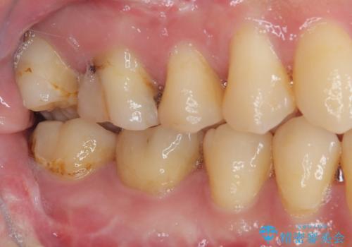
- 他院で矯正治療前後に処置を行った歯が痛むとのことで来院された患者様です。
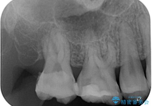
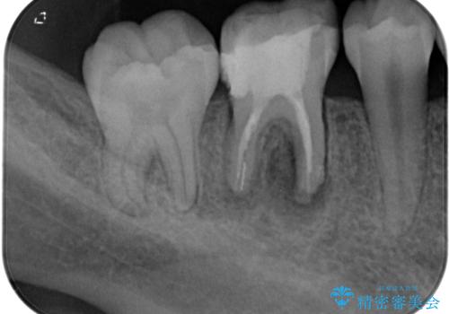
 下顎大臼歯は根管治療がされている歯が咬合時に痛みを感じ、上顎の大臼歯2歯は冷たいものがしみる状態でした。
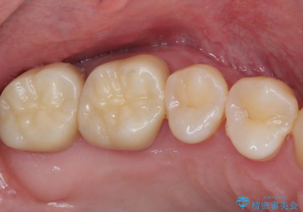
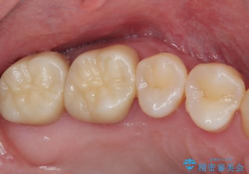
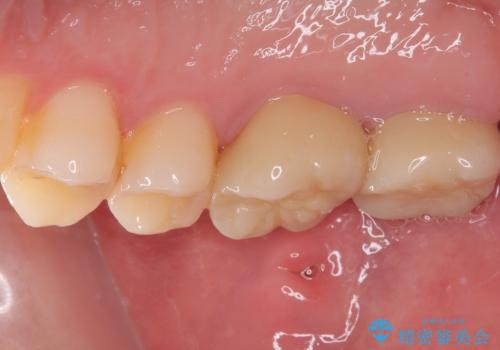
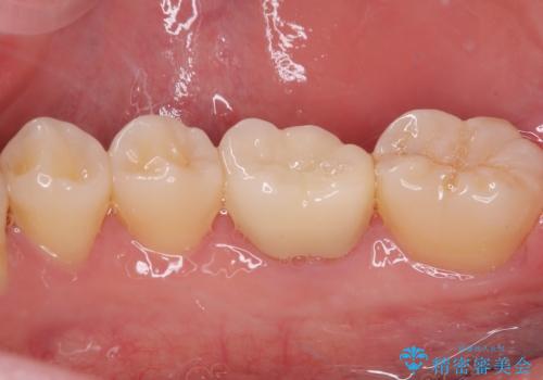
 まずはしみる上顎の歯を仮歯に置き換え、その後下顎の根管治療を行った上で、異常が認められなければオールセラミッククラウンにて補綴治療を行うこととしました。
- 費用(概算)
- 治療費の目安: 50万円(税込)費用は治療当時の料金となります
治療について
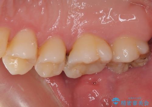
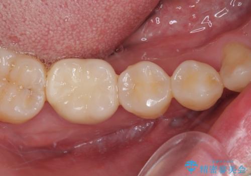
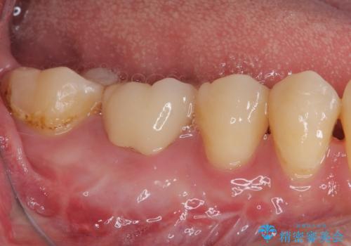
上顎は仮歯に置き換えた後に、それまでの痛みは一切感じなくなり、下顎も一度目の根管治療で痛みを感じることはなくなりました。
根管治療を行った歯の周辺にある病変は数ヶ月後にレントゲン写真を撮って確認する必要があるため、今後経過観察を行っていく予定です。
セラミック治療の注意事項(リスク・副作用など)
- 天然歯を削ります
- 硬い素材は天然歯を傷つけてしまう場合があります
- かみ合わせや歯ぎしりが強すぎる方はセラミックが割れてしまう可能性があります
- 自費診療(保険適用外治療)となります
根管治療の注意事項(リスク・副作用など)
- 根管治療により類似の全ての症例の問題が解決するわけではなく、症例はあくまでも一例です
- 根管治療により痛みや腫れがひかない事や、術後に痛みや腫れが生じる事、治療によるファイル破折やパーフォレーションなどの偶発症、術後の歯根破折を生じる可能性もあります
- 自費診療(保険適用外)となります
当サイトの内容、テキスト、画像等の無断転載、複製、複写、盗用を固く禁じます。








 
                       
                                                          

















 
                   
                   
                  