症例詳細
Case detail
歯冠長延長術をおこなったアプローチの難しい虫歯治療
治療症例の内容
- 患者様
- 20代女性
- 治療期間
- 5ヶ月
- 治療回数
- 2-5回
- 治療計画
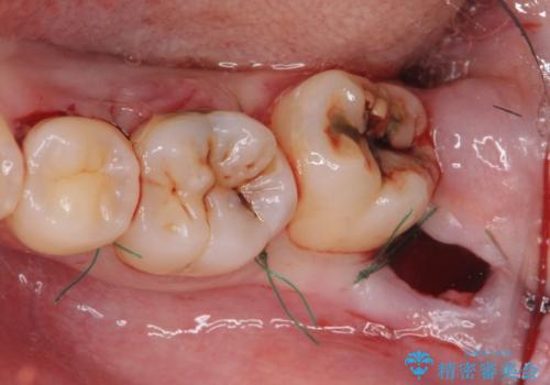
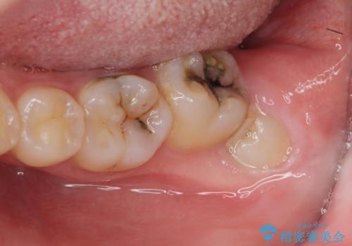
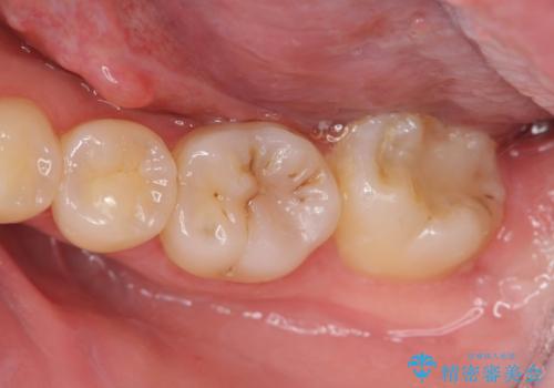
- 親知らずの抜歯を希望され来院されましたが手前の大臼歯2本に虫歯が認められ、治療が必要な状態でした。
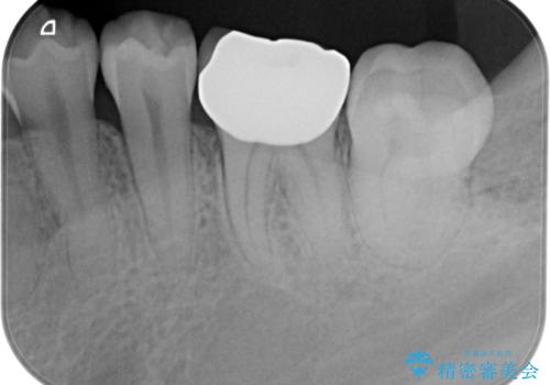
クラウン形態にするには歯の高さが足りず設計できないため、親知らずの抜歯と共に歯周外科を同時に行うことで安定した歯周組織を獲得しセラミック治療を行う治療計画としました。
- 費用(概算)
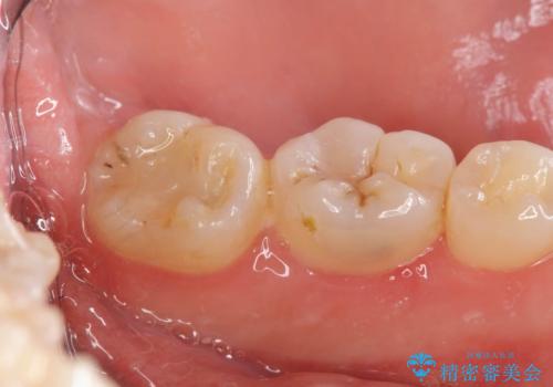
- 20.9万円(ジルコニアクラウン・仮歯・セラミックインレー)費用は治療当時の料金となります
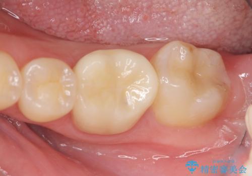
治療について
歯冠長の延長を行ったことで、安定したクラウン治療を行うことができました。
外科処置の注意事項(リスク・副作用など)
- 外科手術のため、術後に出血、痛みや腫れ、違和感を伴います
- 口腔内の状態によっては適応できないことがあります
セラミック治療の注意事項(リスク・副作用など)
- 天然歯を削ります
- 硬い素材は天然歯を傷つけてしまう場合があります
- かみ合わせや歯ぎしりが強すぎる方はセラミックが割れてしまう可能性があります
- 自費診療(保険適用外治療)となります
当サイトの内容、テキスト、画像等の無断転載、複製、複写、盗用を固く禁じます。










