症例詳細
Case detail
ディープバイトを短期間で改善 ワイヤー矯正治療
治療症例の内容
- 診療科目
- 担当医
- 藤巻太一朗(ドクタープロフィール)
- 患者様
- 20代女性
- 矯正装置
- 審美装置
- 治療期間
- 1年3ヶ月
- 治療回数
- 10-30回
- 治療計画
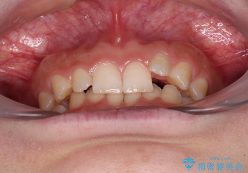
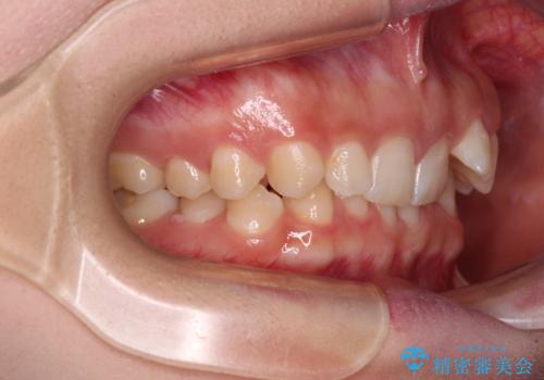
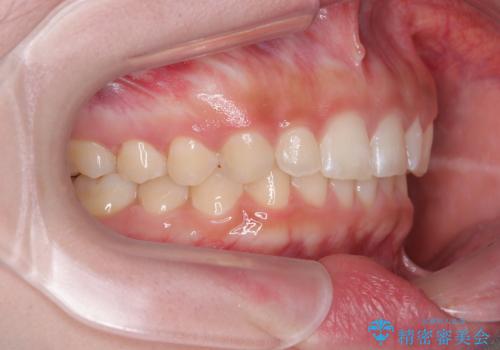
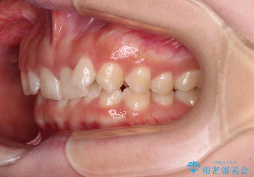
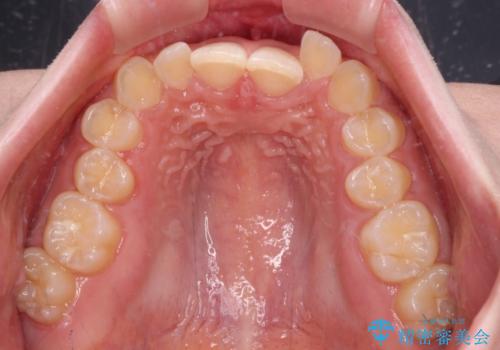
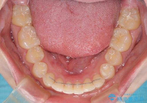
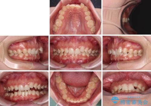
- 前歯のデコボコとディープバイトを気にして来院された患者様です。
左上前歯前方に飛び出しているため、歯列全体が前方に移動している状態でした。
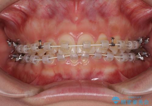
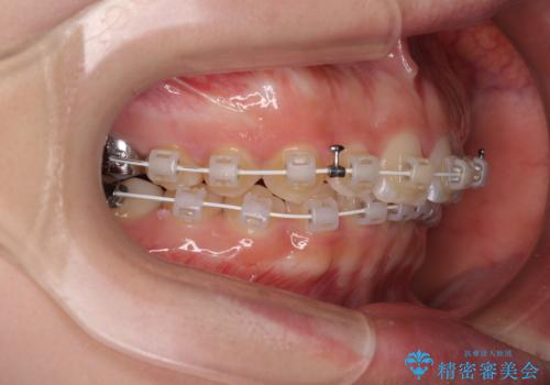
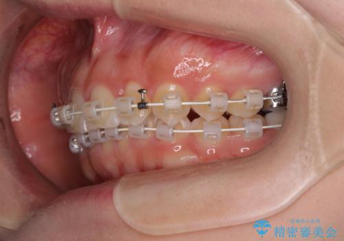
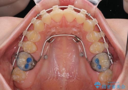
短期間で確実に仕上げたいとのことで、アンカースクリューと補助装置を併用して歯列の後方移動を図り、ワイヤー装置にて矯正治療を行うこととしました。
- 費用(概算)
- 治療費の目安: 105万円(税込)費用は治療当時の料金となります
治療について
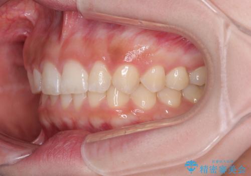
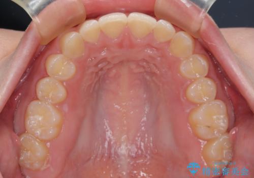
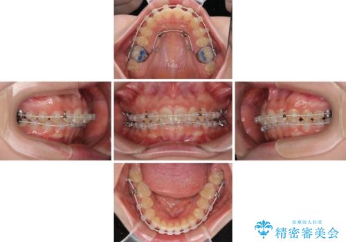
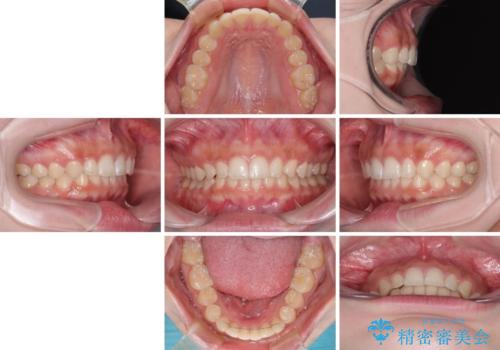
左上の歯列は補助装置により速やかに移動し、1年程度で奥歯の咬み合わせが改善され、1年3ヶ月の短期間でしっかりと仕上げることができました。
ワイヤー矯正の注意事項(リスク・副作用など)
- 治療中は違和感や痛みが起こることがあります
- 症状により、抜歯が必要な場合があります
- 治療中は歯磨きがしにくくなるため、虫歯や歯周病になりやすくなります
- 矯正治療後の保定が不十分だと後戻り(元の位置に戻ろうとする動き)をします
- 自費診療(保険適用外)となります
当サイトの内容、テキスト、画像等の無断転載、複製、複写、盗用を固く禁じます。


























