症例詳細
Case detail
目立つ銀歯と欠けてしまった詰め物 オールセラミッククラウンでの補綴治療
治療症例の内容
- 患者様
- 50代女性
- 治療期間
- 6ヶ月
- 治療回数
- 5-10回
- 治療計画
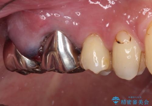
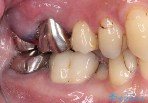
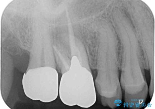
- 目立つ銀歯と欠けて痛みを感じる歯を気にして来院された患者様です。
手前の歯は神経の炎症がとても強く、保存不可能であったため、根管治療を行うこととしました。
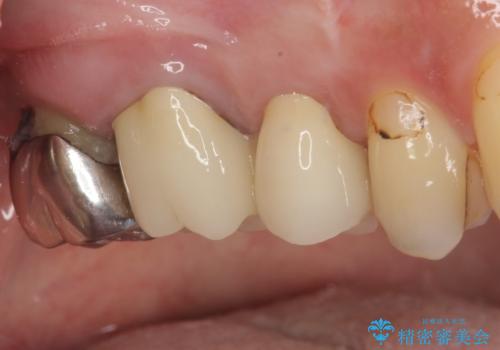
目立つ銀歯も根管治療を行い、その後2本の歯をオールセラミッククラウンにて補綴治療を行うこととしました。
- 費用(概算)
- 治療費の目安: 60万円(税込)費用は治療当時の料金となります
治療について
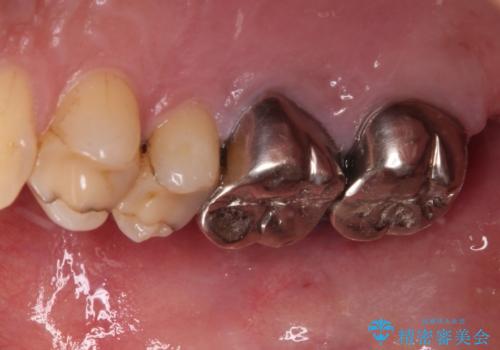
大臼歯では、根管治療後にも痛みが残ってしまったため、外科的歯内療法(歯根端切除術)を適用しました。外科処置直後は腫れや痛みなどがありましたが、半年が経過し、痛みがなくなり、レントゲン写真上でも炎症の消退が認められました。
セラミック治療の注意事項(リスク・副作用など)
- 天然歯を削ります
- 硬い素材は天然歯を傷つけてしまう場合があります
- かみ合わせや歯ぎしりが強すぎる方はセラミックが割れてしまう可能性があります
- 自費診療(保険適用外治療)となります
当サイトの内容、テキスト、画像等の無断転載、複製、複写、盗用を固く禁じます。










