症例詳細
Case detail
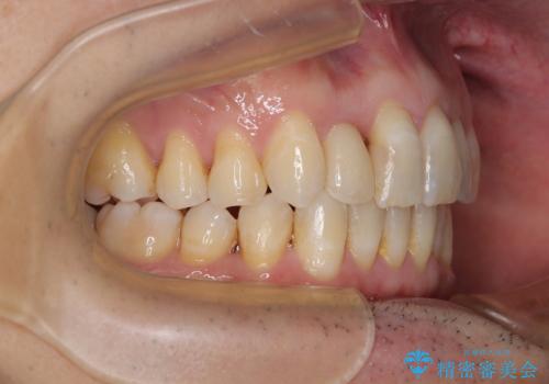
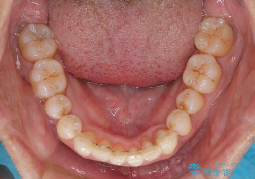
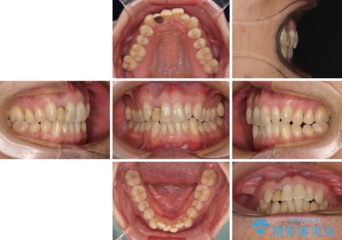
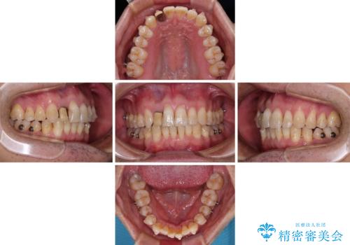
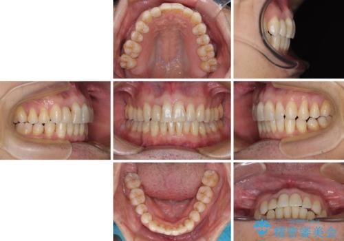
前歯のデコボコを治したい インビザラインによる矯正治療
治療症例の内容
- 担当医
- 藤巻太一朗(ドクタープロフィール)
- 患者様
- 30代男性
- 矯正装置
- インビザライン
- 治療期間
- 1年2ヶ月
- 治療回数
- 5-10回
- 治療計画
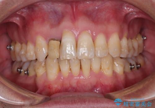
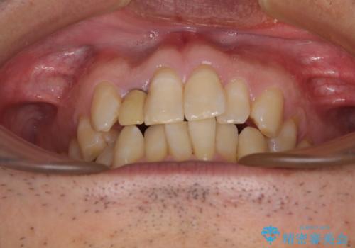
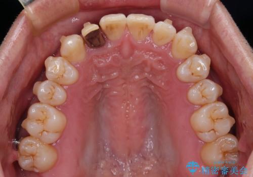
- 前歯のデコボコを気にして来院された患者様です。
目立たない装置で手軽に治したいとのことで、インビザラインにて矯正治療を行うこととしました。
前歯のクラウンは変色が著しいため、矯正治療後にオールセラミッククラウンにて補綴治療を行うこととしました。
- 費用(概算)
- 治療費の目安: 100万円(税込)費用は治療当時の料金となります
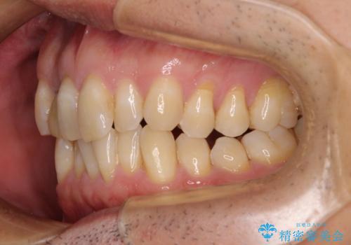
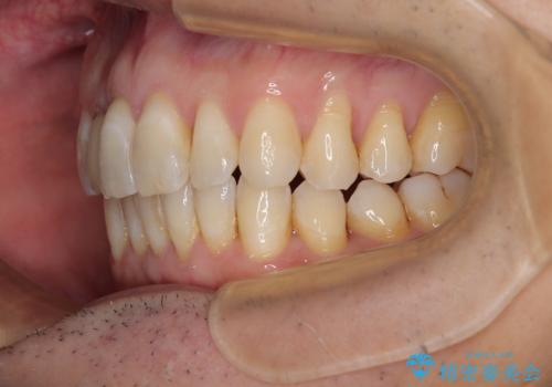
治療について
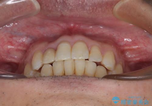
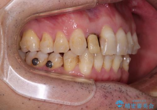
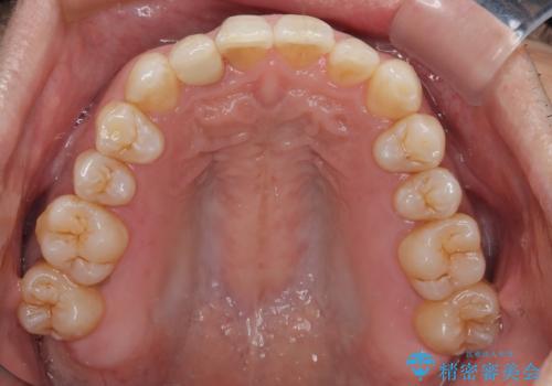
担当医としてはもう少し前歯のデコボコを改善したいところでしたが、患者様としては十分に満足いく歯列であり、マウスピース矯正に飽きてしまったとのことで、治療終了となりました。
マウスピース矯正の注意事項(リスク・副作用など)
- 口腔内・歯並びの状態によっては対応できない場合があります
- マウスピース型矯正装置の長時間装着(1日20時間以上)が必須です
- 治療計画通りに進めるためには、患者様の意志が重要になります
- 矯正治療後の保定が不十分だと後戻り(元の位置に戻ろうとする動き)をします
- 薬機法対象外の矯正歯科装置のため医薬品副作用被害救済制度の対象外となる場合があります
- 自費診療(保険適用外)となります
セラミック治療の注意事項(リスク・副作用など)
- 天然歯を削ります
- 硬い素材は天然歯を傷つけてしまう場合があります
- かみ合わせや歯ぎしりが強すぎる方はセラミックが割れてしまう可能性があります
- 自費診療(保険適用外治療)となります
当サイトの内容、テキスト、画像等の無断転載、複製、複写、盗用を固く禁じます。


























