症例詳細
Case detail
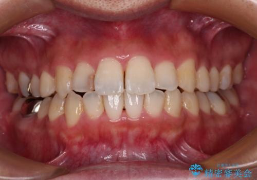
前歯のデコボコと突出感をマウスピース矯正できれいに
治療症例の内容
- 患者様
- 20代男性
- 矯正装置
- インビザライン
- 治療期間
- 1年10ヶ月
- 治療回数
- 10-30回
- 治療計画
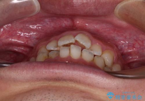
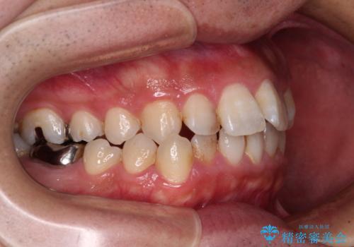
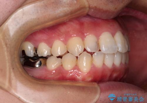
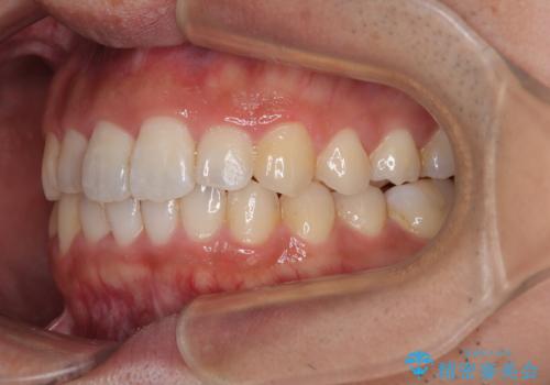
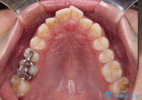
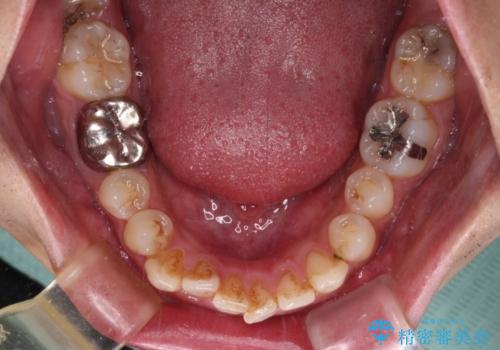
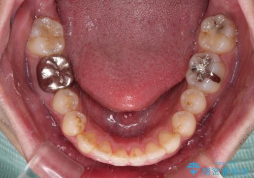
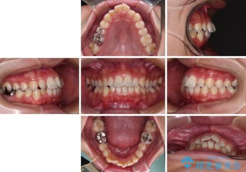
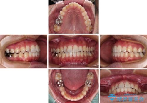
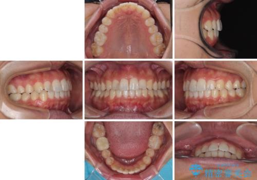
- 上下前歯のデコボコと突出感を気にして来院された患者様です。
目立たない装置を希望されたため、インビザラインによるマウスピース矯正を行うこととしました。
- 費用(概算)
- 治療費の目安: 125万円(税込)費用は治療当時の料金となります
治療について
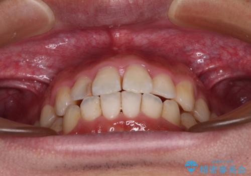
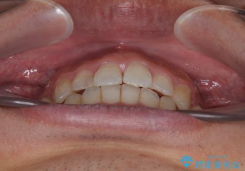
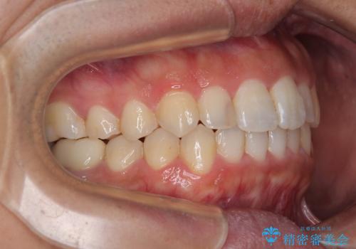
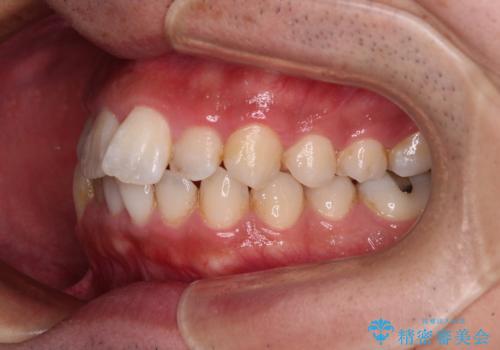
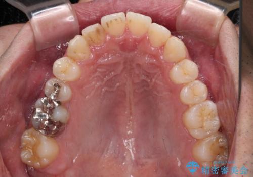
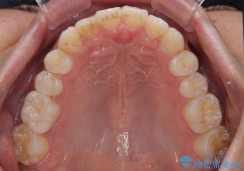
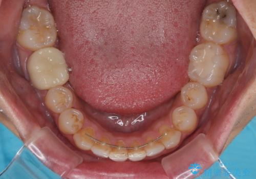
矯正治療後に銀歯をセラミックに替えたいとの要望があり、概ね歯列が整ったところで銀歯をセラミックに替え、仕上げにインビザライン1セットを使用して最終的に歯列を整えました。
マウスピース矯正の注意事項(リスク・副作用など)
- 口腔内・歯並びの状態によっては対応できない場合があります
- マウスピース型矯正装置の長時間装着(1日20時間以上)が必須です
- 治療計画通りに進めるためには、患者様の意志が重要になります
- 矯正治療後の保定が不十分だと後戻り(元の位置に戻ろうとする動き)をします
- 薬機法対象外の矯正歯科装置のため医薬品副作用被害救済制度の対象外となる場合があります
- 自費診療(保険適用外)となります
セラミック治療の注意事項(リスク・副作用など)
- 天然歯を削ります
- 硬い素材は天然歯を傷つけてしまう場合があります
- かみ合わせや歯ぎしりが強すぎる方はセラミックが割れてしまう可能性があります
- 自費診療(保険適用外治療)となります
当サイトの内容、テキスト、画像等の無断転載、複製、複写、盗用を固く禁じます。



























