症例詳細
Case detail
非抜歯、ワイヤーでの矯正治療。歯のがたつき、顎のズレ、出っ歯を治す。インビザラインが使えない方
治療症例の内容
- 患者様
- 20代女性
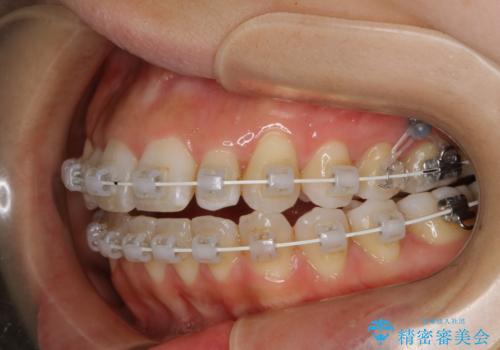
- 矯正装置
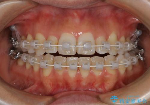
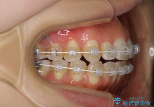
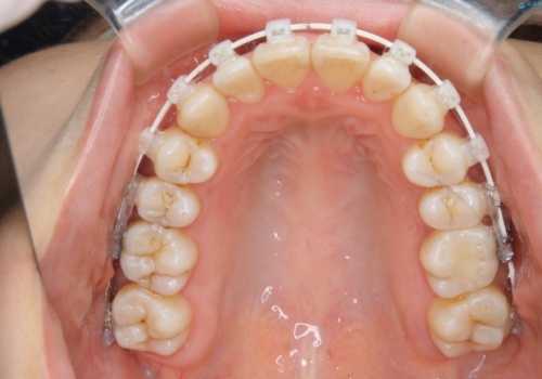
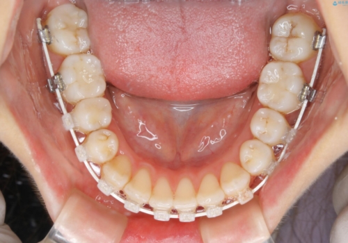
- ワイヤー矯正 審美装置
- 治療期間
- 1年6ヶ月
- 治療回数
- 10-30回
- 治療計画
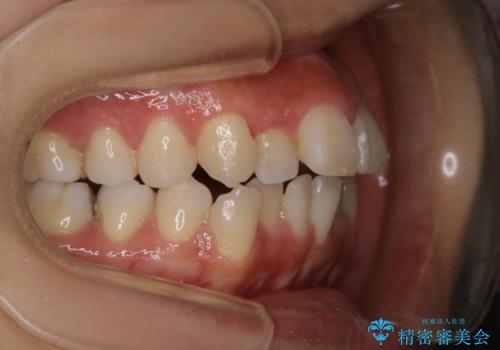
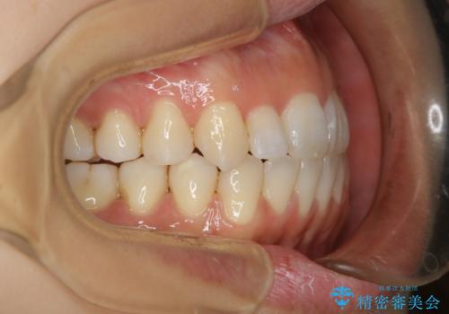
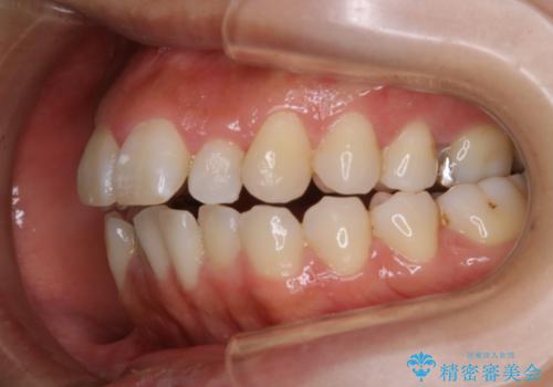
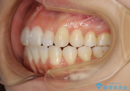
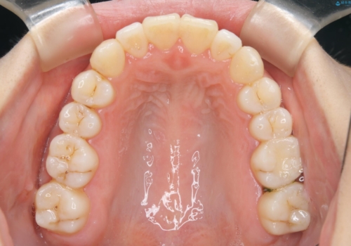
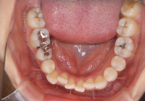
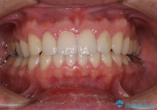
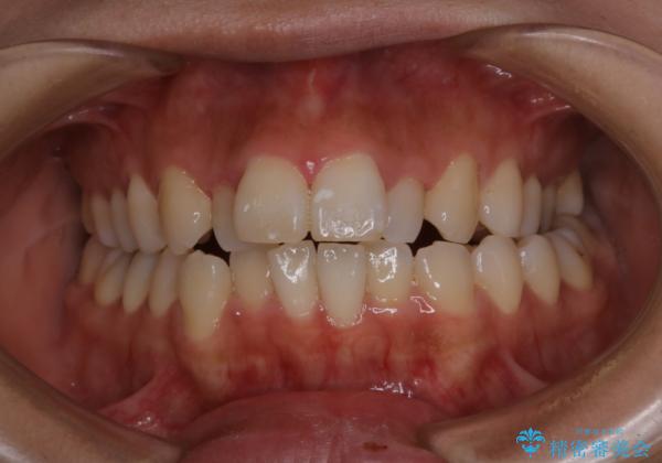
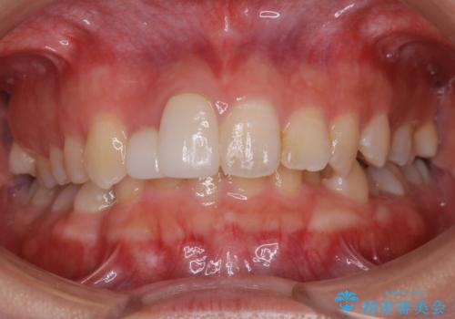
- 歯のガタつき、顎のズレ、出っ歯を気にして来院された患者様です。
歯を抜きたくないとの希望であったためマウスピース治療をお勧めしましたが、
マウスピースをずっとつけていることは難しいとの事であったためワイヤー矯正治療を行うこととなりました。
- 費用(概算)
- 88万円費用は治療当時の料金となります
治療について
インビザラインの方法でも治せる患者様でしたが、希望によりワイヤー矯正となりました。
インビザライン治療を始めた後であっても使えないことが判明する患者様もいらっしゃいます。
当院であれば、そのような患者様の場合でも途中でワイヤー治療に切り替えて差し上げることが可能となります。
マイクロインプラントについて
インビザライン治療では奥歯の圧下が問題なく行えますが、ワイヤー治療ではマイクロインプラントを使用しなければ奥歯の圧下を行うことが難しいです。
ワイヤー矯正の注意事項(リスク・副作用など)
- 治療中は違和感や痛みが起こることがあります
- 症状により、抜歯が必要な場合があります
- 治療中は歯磨きがしにくくなるため、虫歯や歯周病になりやすくなります
- 矯正治療後の保定が不十分だと後戻り(元の位置に戻ろうとする動き)をします
- 自費診療(保険適用外)となります
当サイトの内容、テキスト、画像等の無断転載、複製、複写、盗用を固く禁じます。















