症例詳細
Case detail
急速拡大装置 歯列弓を拡大して非抜歯ワイヤー矯正
治療症例の内容
- 担当医
- 齋藤佑磨(ドクタープロフィール)
- 患者様
- 20代男性
- 矯正装置
- 審美装置
- 治療期間
- 1年1ヶ月
- 治療回数
- 10-30回
- 治療計画
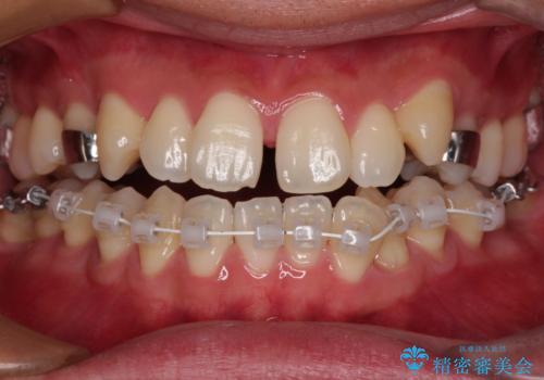
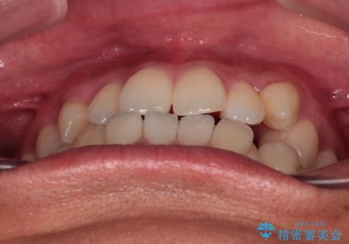
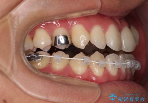
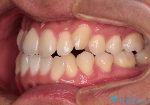
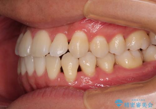
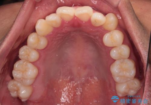
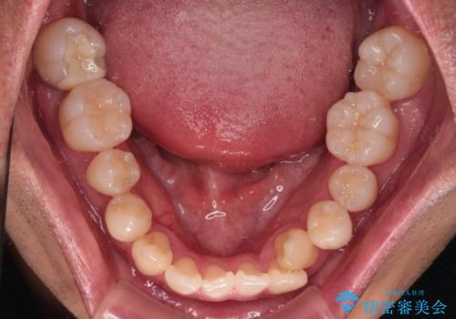
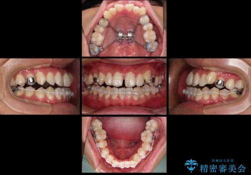
- 上下前歯部のデコボコを主訴として来院された患者様です。
上顎の歯列弓が下顎に対して狭いため、臼歯のかみ合わせがが咬頭対咬頭の状態です。
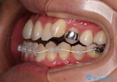
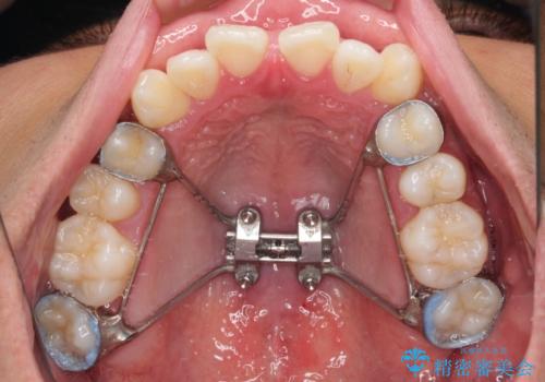
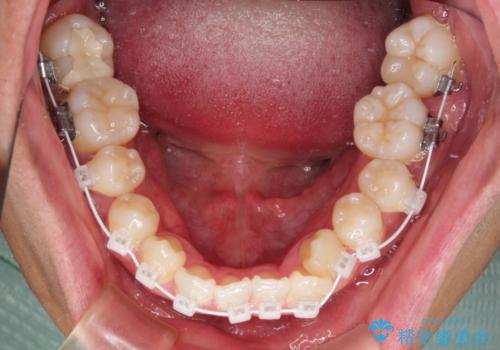
上顎の急速拡大装置を使用して、上顎骨を側方に拡大することで上顎歯列弓を拡大し、それに伴い下顎歯列弓も拡大できるようにして、歯列を整えていくこととしました。
- 費用(概算)
- 105万円(税込)費用は治療当時の料金となります
治療について
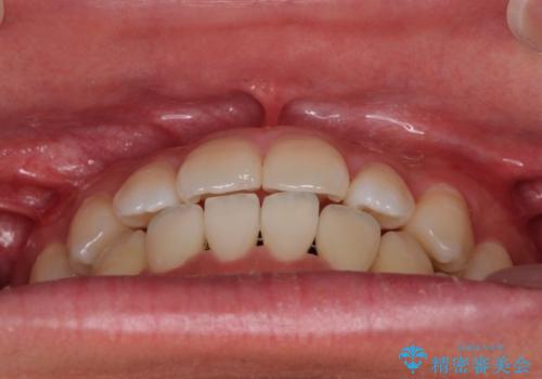
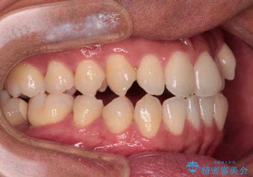
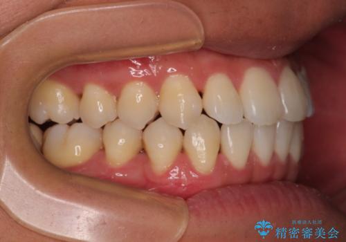
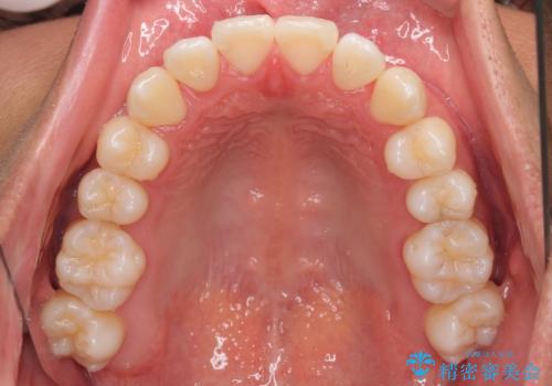
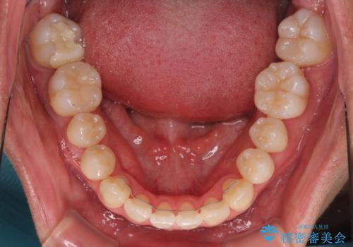
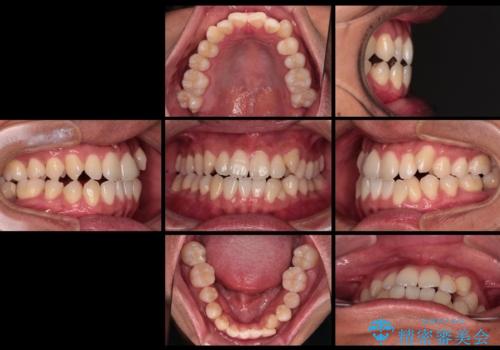
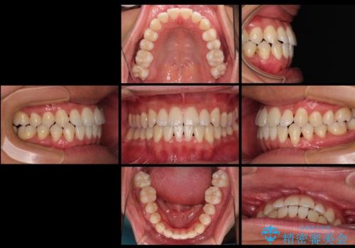
歯列弓の拡大により約1年で矯正治療を終えることができました。
正中も合わせることができ、非常にきれいに仕上がりました。
ワイヤー矯正の注意事項(リスク・副作用など)
- 治療中は違和感や痛みが起こることがあります
- 症状により、抜歯が必要な場合があります
- 治療中は歯磨きがしにくくなるため、虫歯や歯周病になりやすくなります
- 矯正治療後の保定が不十分だと後戻り(元の位置に戻ろうとする動き)をします
- 自費診療(保険適用外)となります
当サイトの内容、テキスト、画像等の無断転載、複製、複写、盗用を固く禁じます。


























