症例詳細
Case detail
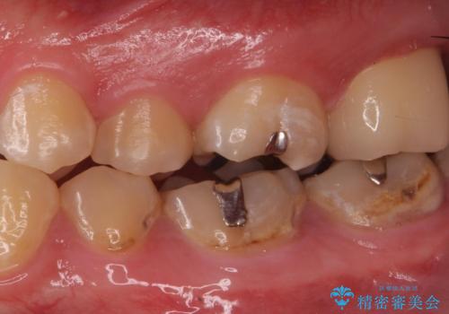
奥の虫歯 ジルコニアクラウンでの修復
治療症例の内容
- 診療科目
- 担当医
- 岡田康成(ドクタープロフィール)
- 患者様
- 20代男性
- 治療期間
- 1ヶ月
- 治療回数
- 2-5回
- 治療計画
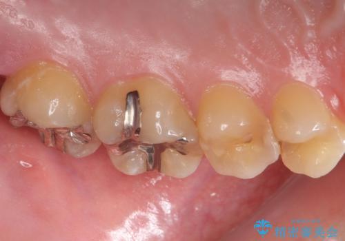
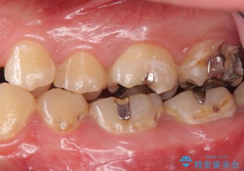
- 奥歯が欠けてしみるとのことで来院された患者様です。
かなり大きな虫歯であることと、清掃不良により歯全体が脱灰していたため、クラウンでの修復処置を行います。
奥に生えている親知らずも清掃不良であったため、今回治療する歯の清掃性を高めるために抜歯を行います。
- 費用(概算)
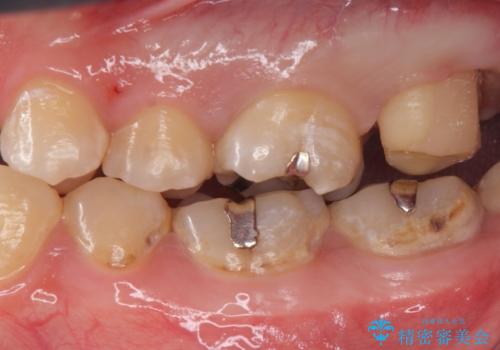
- 左上7 仮歯:11,000円 / ジルコニアクラウン:121,000円 合計132,000円費用は治療当時の料金となります
治療について
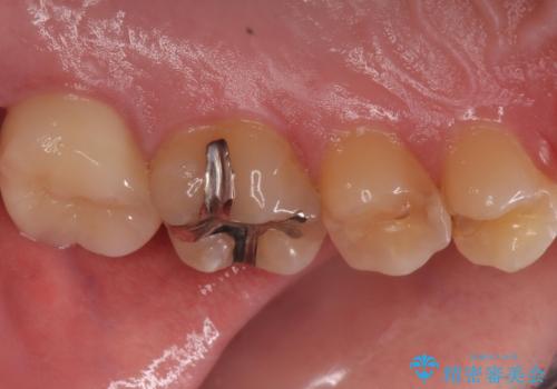
かなり大きな虫歯でしたが症状も出ず、根管治療もせずに終えることができました。
セラミック治療の注意事項(リスク・副作用など)
- 天然歯を削ります
- 硬い素材は天然歯を傷つけてしまう場合があります
- かみ合わせや歯ぎしりが強すぎる方はセラミックが割れてしまう可能性があります
- 自費診療(保険適用外治療)となります
当サイトの内容、テキスト、画像等の無断転載、複製、複写、盗用を固く禁じます。












