症例詳細
Case detail
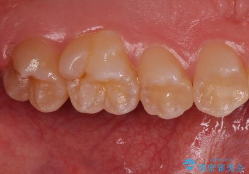
歯と歯の間の虫歯 セラミックインレーでの治療
治療症例の内容
- 診療科目
- 治療カテゴリ
- 担当医
- 岡田康成(ドクタープロフィール)
- 患者様
- 20代女性
- 治療期間
- 1ヶ月
- 治療回数
- 2-5回
- 治療計画
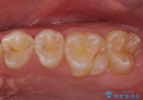
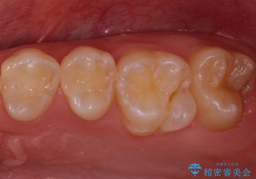
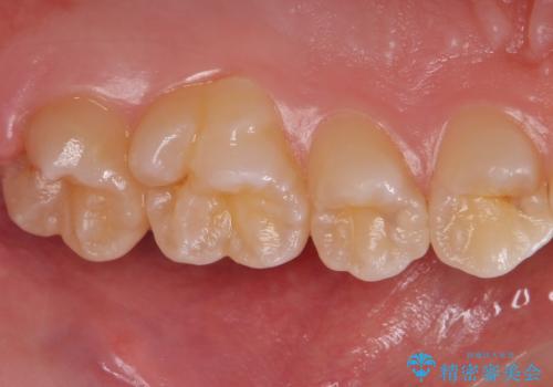
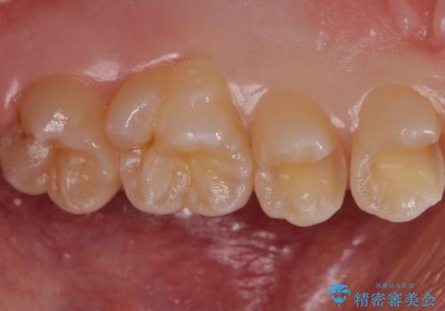
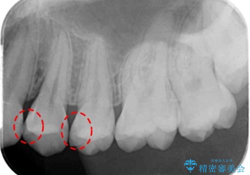
- 検査の結果、歯と歯の間に大きな虫歯が確認されました。
セラミックでの治療をご希望されたため、セラミックインレーでの治療を行いました。
- 費用(概算)
- 左上45 セラミックインレー 7,7000円×2本 費用は治療当時の料金となります
治療について
外から見て虫歯がないように見えても実は歯の中で大きく広がっていた、というケースは多く見受けられます。
症状なく進行していくことも少なくないため、定期的な検査はとても重要になってきます。
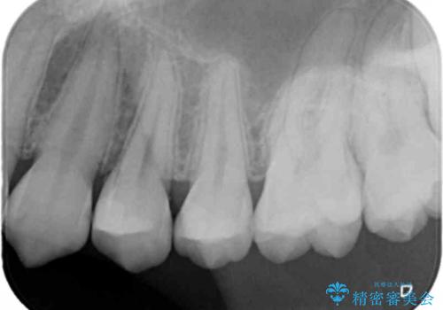
今回は残せる歯の厚みが十分確保できたため、インレーでの修復処置となりました。
セラミック治療の注意事項(リスク・副作用など)
- 天然歯を削ります
- 硬い素材は天然歯を傷つけてしまう場合があります
- かみ合わせや歯ぎしりが強すぎる方はセラミックが割れてしまう可能性があります
- 自費診療(保険適用外治療)となります
当サイトの内容、テキスト、画像等の無断転載、複製、複写、盗用を固く禁じます。








