症例詳細
Case detail
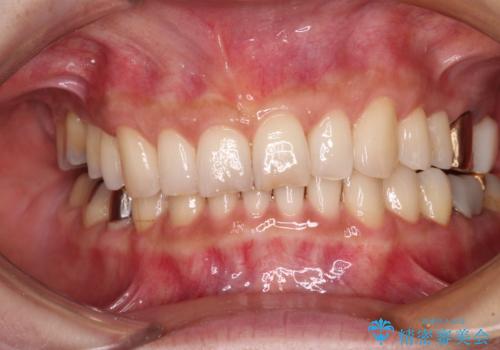
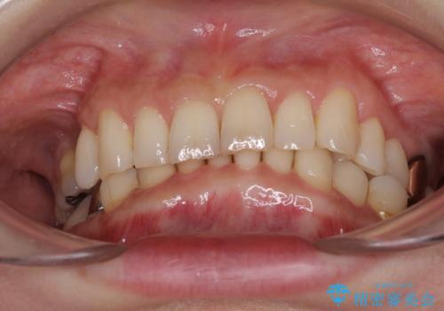
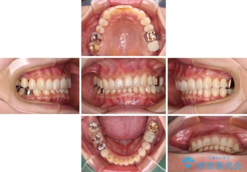
デコボコの歯とむし歯 インビザライン矯正治療とむし歯治療
治療症例の内容
- 担当医
- 藤巻太一朗(ドクタープロフィール)
- 患者様
- 50代女性
- 矯正装置
- インビザライン
- 治療期間
- 5年8ヶ月
- 治療回数
- 30回以上
- 治療計画
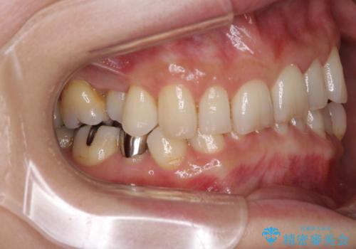
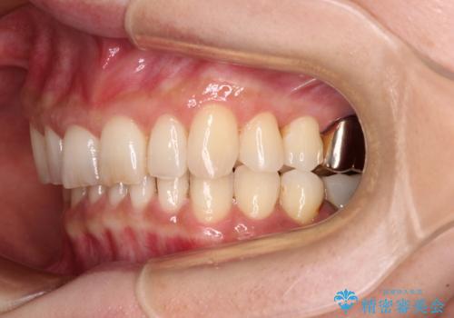
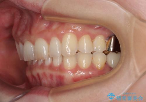
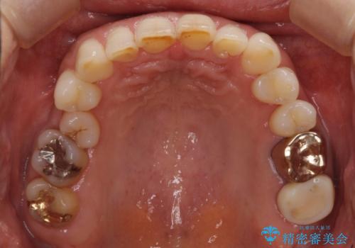
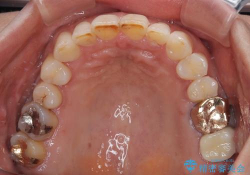
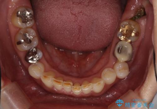
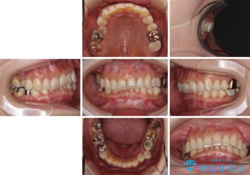
- 奥歯が咬めないくらいに痛いとのことで来院された患者様です。
痛みの強い歯は、歯髄組織が強い炎症を起こしており、神経を取り除く必要であったため、速やかに根管治療を行いました。
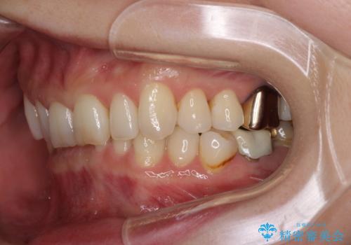
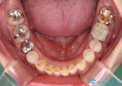
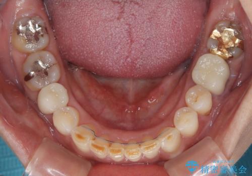
その後、オールセラミッククラウンにて補綴治療を行う予定でしたが、処置した歯以外にも治療が必要と思われる歯があったり、デコボコした歯列も気になるとのことで、患者様希望によりインビザラインにてマウスピース矯正を行うこととしました。
まずは矯正治療前に必要なむし歯処置を行い、その後矯正治療を行ってから、最後にオールセラミッククラウンなどで補綴治療を行うこととしました。
- 費用(概算)
- 治療費の目安: 130万円(税込)費用は治療当時の料金となります
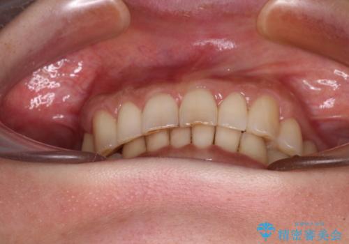
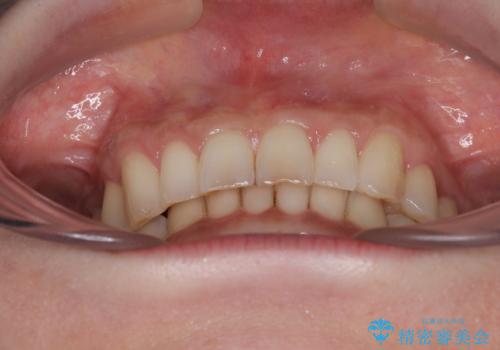
治療について
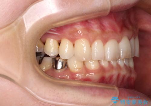
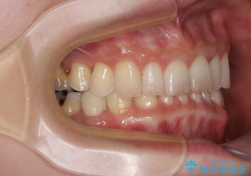
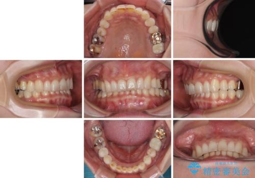
咬合力が非常に強く、全体的に歯が擦り減っている状態であったので、理想的な咬み合わせを達成することは難しく、また咬合力が強い方のマウスピース矯正は、思い通りに動かないことがあるため、ワイヤー矯正の方が望ましいように思えました。
治療途中で2年強、体調を崩されて通院ができなくなってしまったため、必ず通院が必要なワイヤー矯正ではなく、マウスピース矯正で結果的には無事に治療を終えることができました。
マウスピース矯正の注意事項(リスク・副作用など)
- 口腔内・歯並びの状態によっては対応できない場合があります
- マウスピース型矯正装置の長時間装着(1日20時間以上)が必須です
- 治療計画通りに進めるためには、患者様の意志が重要になります
- 矯正治療後の保定が不十分だと後戻り(元の位置に戻ろうとする動き)をします
- 薬機法対象外の矯正歯科装置のため医薬品副作用被害救済制度の対象外となる場合があります
- 自費診療(保険適用外)となります
セラミック治療の注意事項(リスク・副作用など)
- 天然歯を削ります
- 硬い素材は天然歯を傷つけてしまう場合があります
- かみ合わせや歯ぎしりが強すぎる方はセラミックが割れてしまう可能性があります
- 自費診療(保険適用外治療)となります
当サイトの内容、テキスト、画像等の無断転載、複製、複写、盗用を固く禁じます。



























