症例詳細
Case detail
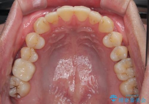
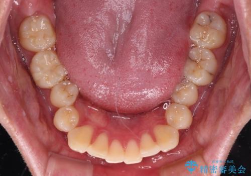
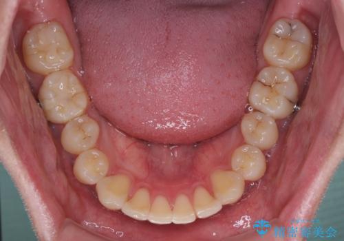
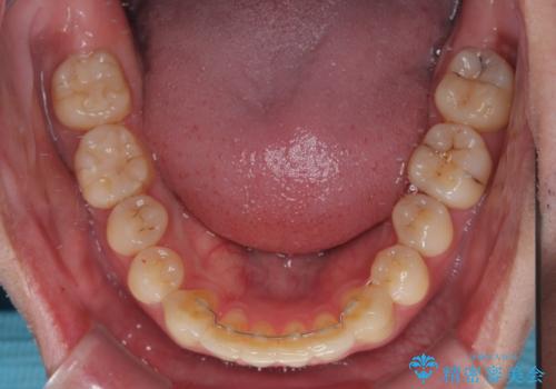
上下のデコボコを治したい インビザラインによる矯正治療
治療症例の内容
- 担当医
- 藤巻太一朗(ドクタープロフィール)
- 患者様
- 20代男性
- 矯正装置
- インビザライン
- 治療期間
- 2年5ヶ月
- 治療回数
- 10-30回
- 治療計画
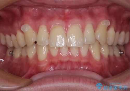
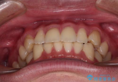
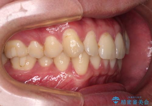
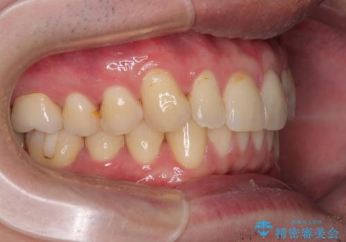
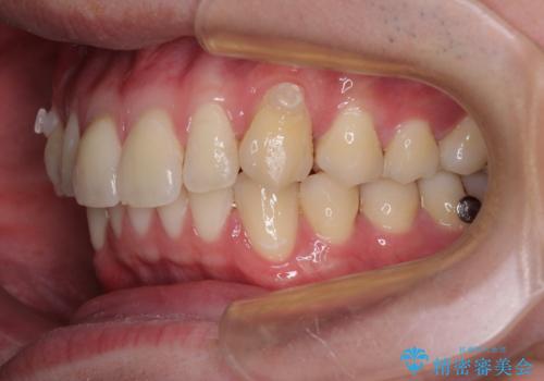
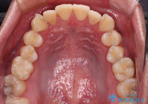
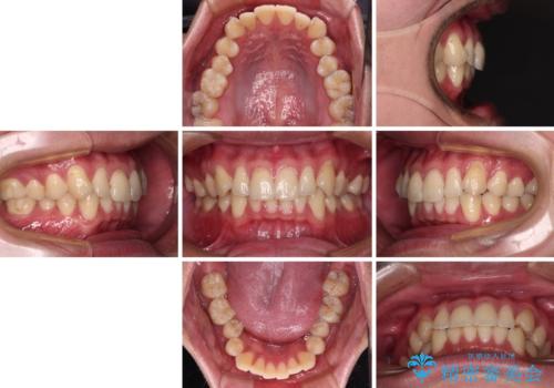
- 前歯のデコボコと突出感を気にして来院された患者様です。
極力目立たない装置を希望とのことで、インビザラインを用いて非抜歯で矯正治療を行うこととしました。
事前に親知らず4本を抜歯し、多少歯列を後方に移動できるように準備をした上で、なるべく歯と歯の間を削ることなくデコボコを解消できるように計画しました。
- 費用(概算)
- 治療費の目安: 115万円(税込)費用は治療当時の料金となります
治療について
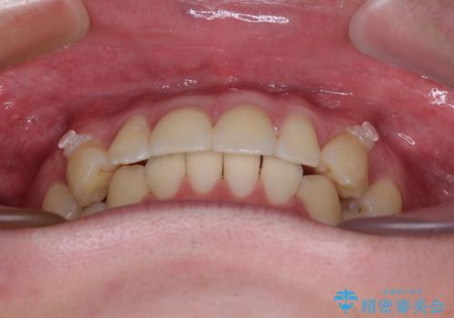
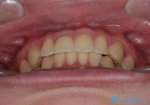
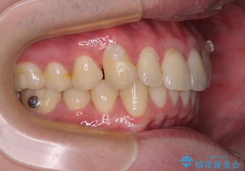
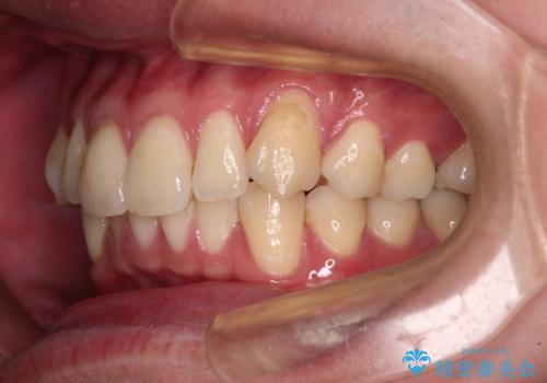
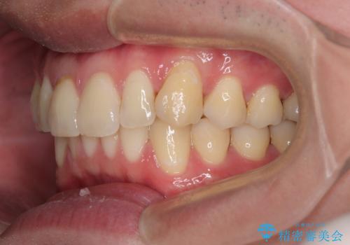
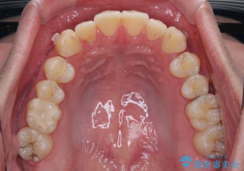
お仕事が忙しく、1日の装着時間は不十分となる日もありましたが、治療は順調に進めていくことができました。
途中、以前大きなむし歯で処置をした歯が痛み出し、根管治療が必要となったため、根管治療とオールセラミッククラウンによる補綴治療を行い、その後にインビザラインによる仕上げの歯列移動を行い、無事に治療を終えることができました。
マウスピース矯正の注意事項(リスク・副作用など)
- 口腔内・歯並びの状態によっては対応できない場合があります
- マウスピース型矯正装置の長時間装着(1日20時間以上)が必須です
- 治療計画通りに進めるためには、患者様の意志が重要になります
- 矯正治療後の保定が不十分だと後戻り(元の位置に戻ろうとする動き)をします
- 薬機法対象外の矯正歯科装置のため医薬品副作用被害救済制度の対象外となる場合があります
- 自費診療(保険適用外)となります
セラミック治療の注意事項(リスク・副作用など)
- 天然歯を削ります
- 硬い素材は天然歯を傷つけてしまう場合があります
- かみ合わせや歯ぎしりが強すぎる方はセラミックが割れてしまう可能性があります
- 自費診療(保険適用外治療)となります
当サイトの内容、テキスト、画像等の無断転載、複製、複写、盗用を固く禁じます。



























