症例詳細
Case detail
繰り返す痛み 下顎小臼歯の再根管治療
治療症例の内容
- 診療科目
- 担当医
- 藤巻太一朗(ドクタープロフィール)
- 患者様
- 30代男性
- 治療期間
- 7ヶ月
- 治療回数
- 5-10回
- 治療計画
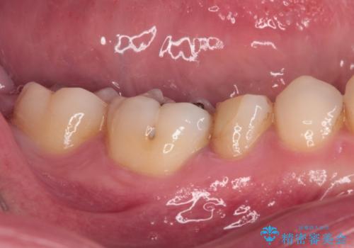
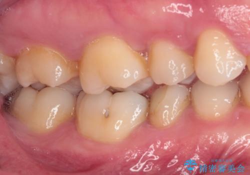
- 定期的に膿の出口ができ、食事の度に痛みを感じるとのことで来院された患者様です。
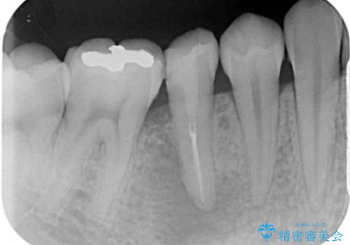
以前通われて医院にて、再度根管治療が必要であると伝えられていたようですが、レントゲン写真などの診察を行った結果、再根管治療が必要な状態でした。
レントゲン写真より、当該歯周囲に大きな透過像があり、歯槽骨が炎症により吸収している様子が認められます。
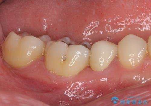
根管治療を行った歯はクラウンによる補綴治療が望ましく、来院時にはクラウンが装着されていなかったため、根管治療を再度行いやすい環境でした。
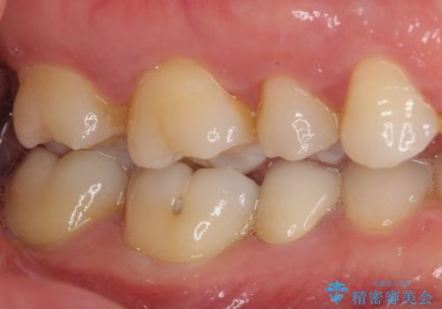
患者様と相談の上、再根管治療を行い、その後オールセラミッククラウンにて補綴治療を行うこととしました。
痛みが続く場合には、次の一手として歯根端切除術にて対応することを説明した上で治療を開始しました。
- 費用(概算)
- 治療費の目安: 28万円(税込)費用は治療当時の料金となります
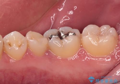
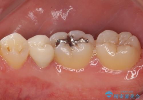
治療について
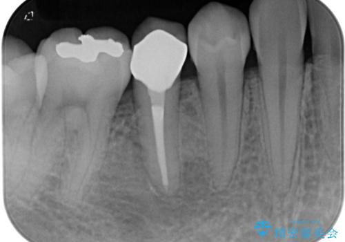
根管治療後9ヶ月で撮影したレントゲン写真より、歯根周辺の透過像が十分に消失している様子が認められました。
根管治療の注意事項(リスク・副作用など)
- 根管治療により類似の全ての症例の問題が解決するわけではなく、症例はあくまでも一例です
- 根管治療により痛みや腫れがひかない事や、術後に痛みや腫れが生じる事、治療によるファイル破折やパーフォレーションなどの偶発症、術後の歯根破折を生じる可能性もあります
- 自費診療(保険適用外)となります
セラミック治療の注意事項(リスク・副作用など)
- 天然歯を削ります
- 硬い素材は天然歯を傷つけてしまう場合があります
- かみ合わせや歯ぎしりが強すぎる方はセラミックが割れてしまう可能性があります
- 自費診療(保険適用外治療)となります
当サイトの内容、テキスト、画像等の無断転載、複製、複写、盗用を固く禁じます。














