症例詳細
Case detail
骨格的な問題を側方拡大で解決 ワイヤー矯正治療
治療症例の内容
- 担当医
- 藤巻太一朗(ドクタープロフィール)
- 患者様
- 30代女性
- 矯正装置
- 審美装置
- 治療期間
- 3年8ヶ月
- 治療回数
- 30回以上
- 治療計画
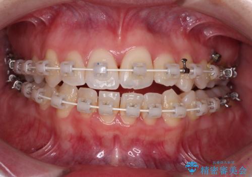
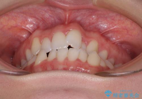
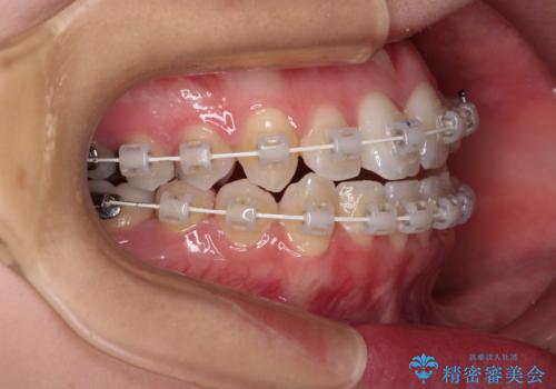
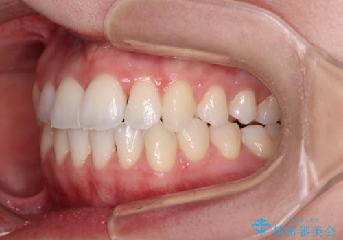
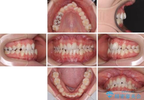
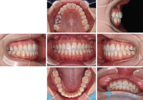
- 上下前歯のデコボコを気にして来院された患者様です。
上顎骨の横幅が狭く、奥歯は上顎よりも下顎が外側にある咬合状態でした。
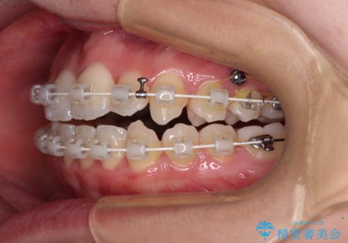
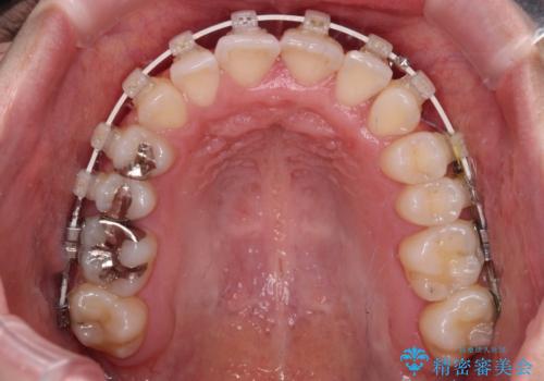
歯列矯正では基本的に骨格を改善することはできませんが、急速拡大装置(MARPE)を使用することで上顎骨を側方に拡大させることができ、咬合状態を大きく改善することができます。
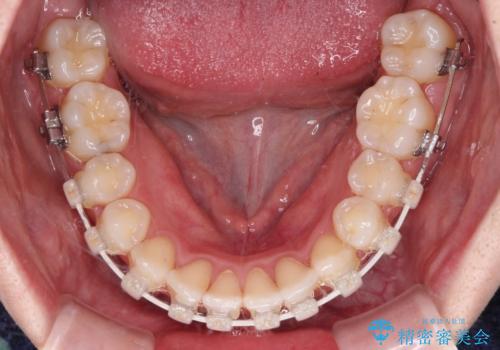
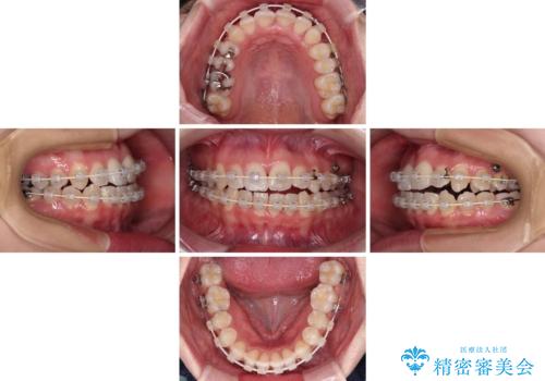
事前に急速拡大装置で側方拡大を行い、上下を目立たないワイヤー装置により歯列を整えていくこととしました。
- 費用(概算)
- 治療費の目安: 110万円(税込)費用は治療当時の料金となります
治療について
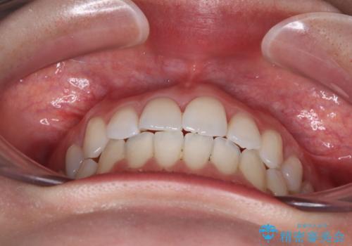
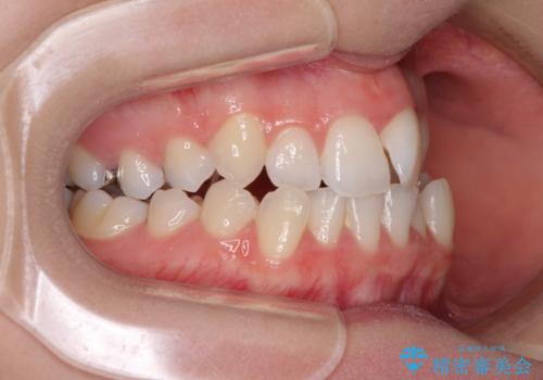
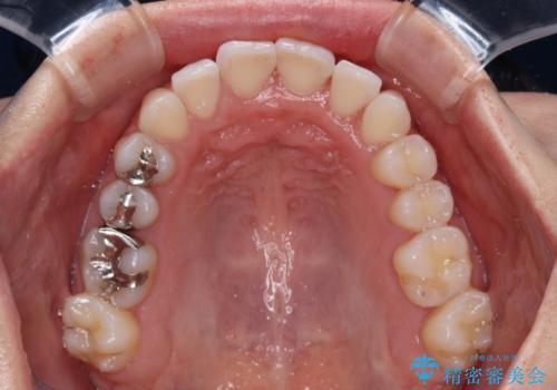
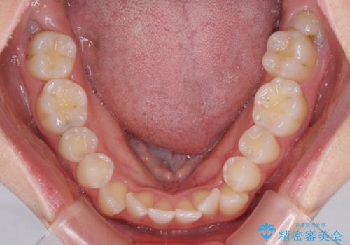
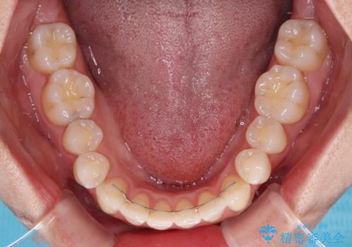
急速拡大装置により骨格はある程度改善されましたが、奥歯の咬み合わせ改善に非常に時間がかかってしまいました。
デコボコを改善させるだけでなく、しっかりとした咬合状態を獲得することができ、患者様には大変満足していただけました。
ワイヤー矯正の注意事項(リスク・副作用など)
- 治療中は違和感や痛みが起こることがあります
- 症状により、抜歯が必要な場合があります
- 治療中は歯磨きがしにくくなるため、虫歯や歯周病になりやすくなります
- 矯正治療後の保定が不十分だと後戻り(元の位置に戻ろうとする動き)をします
- 自費診療(保険適用外)となります
当サイトの内容、テキスト、画像等の無断転載、複製、複写、盗用を固く禁じます。



























