症例詳細
Case detail
食いしばり癖を改善したい ディープバイトのワイヤー矯正
治療症例の内容
- 診療科目
- 担当医
- 藤巻太一朗(ドクタープロフィール)
- 患者様
- 20代男性
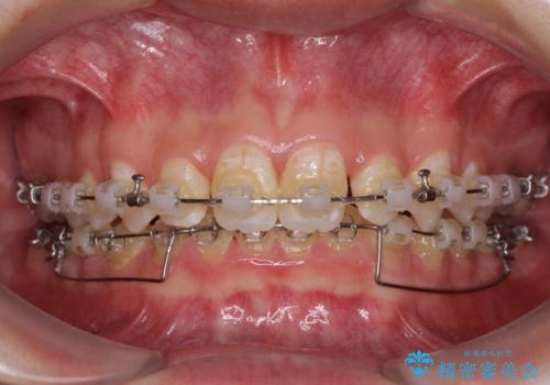
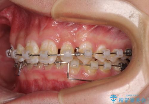
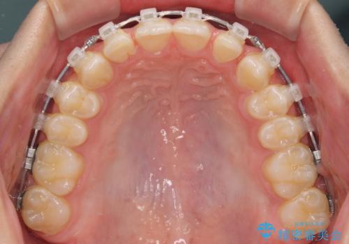
- 矯正装置
- クリアブラケット
- 治療期間
- 2年8ヶ月
- 治療回数
- 30回以上
- 治療計画
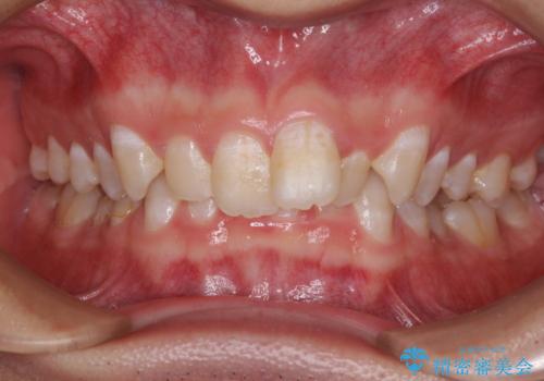
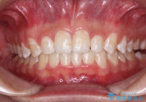
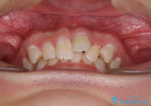
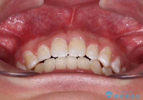
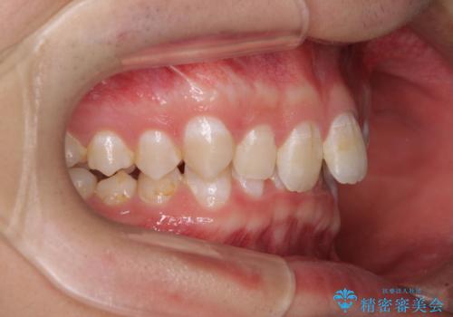
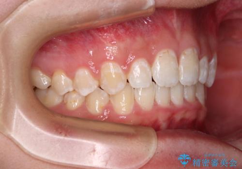
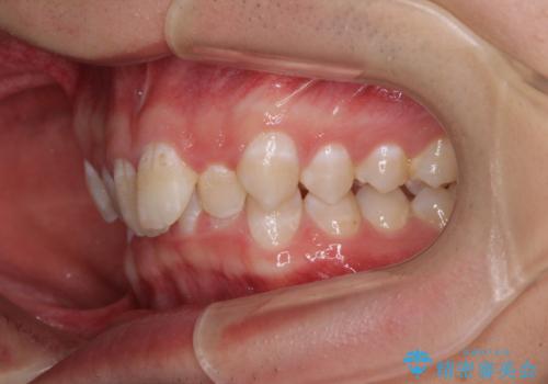
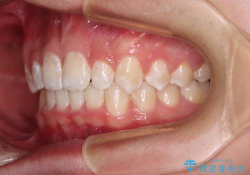
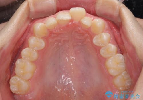
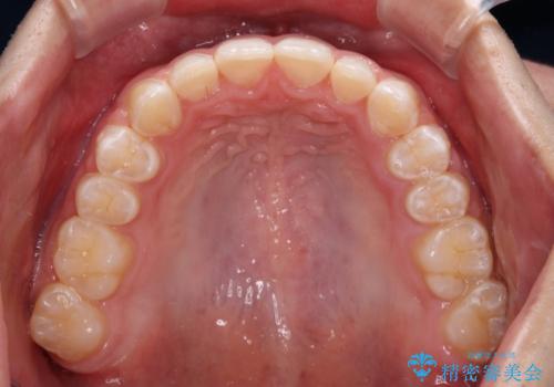
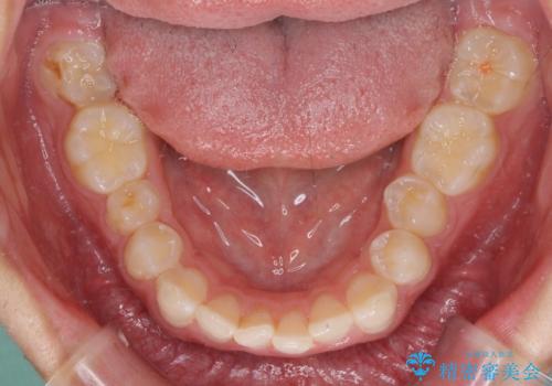
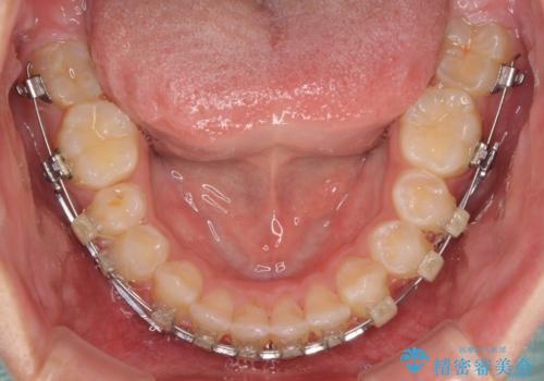
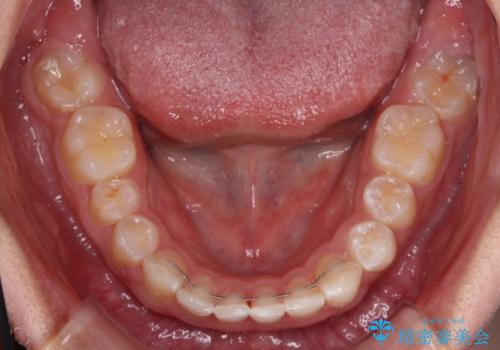
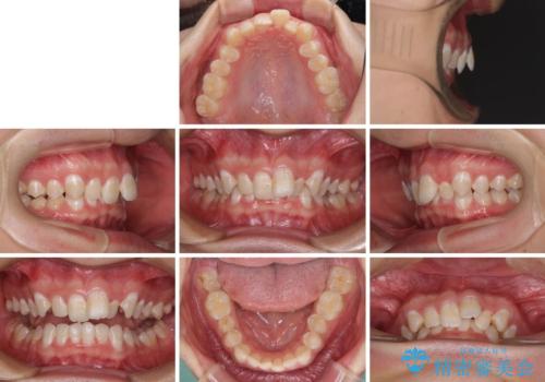
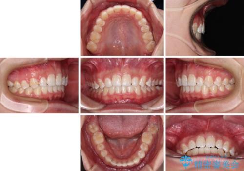
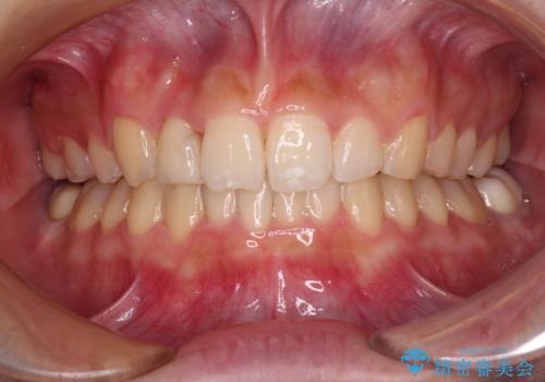
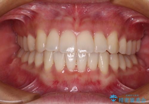
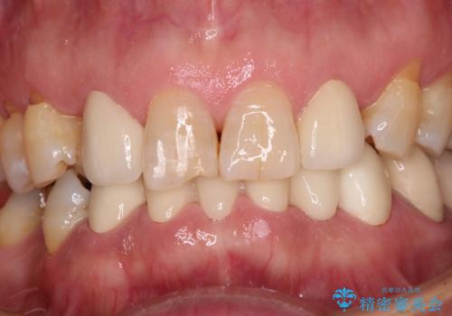
- 強い咬み合わせと前歯のデコボコを気にして来院された患者様です。
下顎前歯が全て隠れてしまうほどの深い咬合で、左右の奥歯は1歯対1歯で咬み合う状態でした。
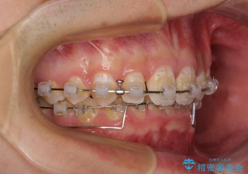
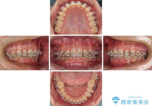
前方に移動している上顎臼歯を補助装置にて遠心移動させることで1歯対2歯の臼歯咬合を目指し、同時に深い咬合を改善していくこととしました。
- 費用(概算)
- 治療費の目安: 100万円(税込)費用は治療当時の料金となります
治療について
このような咬み合わせの場合、治療期間は2年以上がかかることが一般的で、3年程度かかることもありえるケースです。
強く深い咬み合わせにより下顎装置は頻繁に脱離するため、治療期間が長くなりますが、予定通りに終了させることができました。
ワイヤー矯正の注意事項(リスク・副作用など)
- 治療中は違和感や痛みが起こることがあります
- 症状により、抜歯が必要な場合があります
- 治療中は歯磨きがしにくくなるため、虫歯や歯周病になりやすくなります
- 矯正治療後の保定が不十分だと後戻り(元の位置に戻ろうとする動き)をします
- 自費診療(保険適用外)となります
当サイトの内容、テキスト、画像等の無断転載、複製、複写、盗用を固く禁じます。




























