症例詳細
Case detail
【モニター】口が閉じにくい 抜歯矯正でスッキリした口元に
治療症例の内容
- 診療科目
- 担当医
- 藤巻太一朗(ドクタープロフィール)
- 患者様
- 30代女性
- 矯正装置
- 審美装置
- 治療期間
- 2年
- 治療回数
- 10-30回
- 治療計画
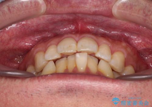
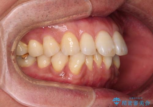
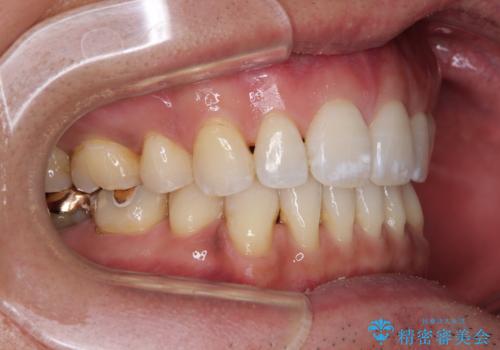
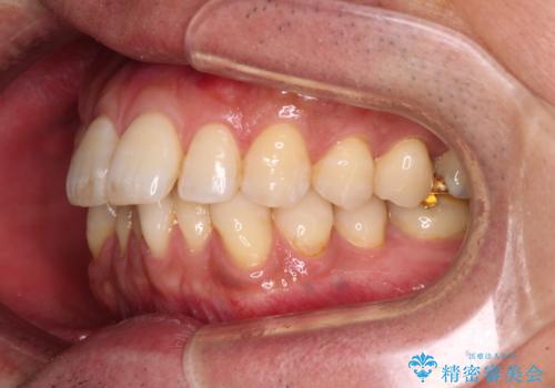
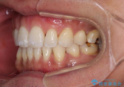
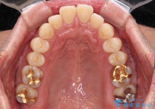
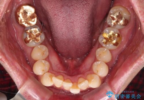
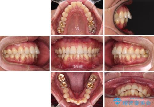
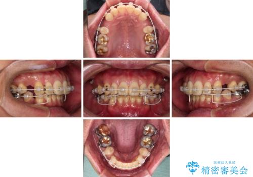
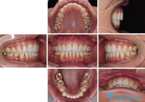
- 口元の突出感を気にして来院された患者様です。
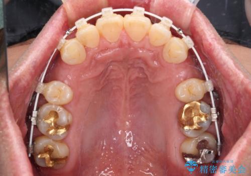
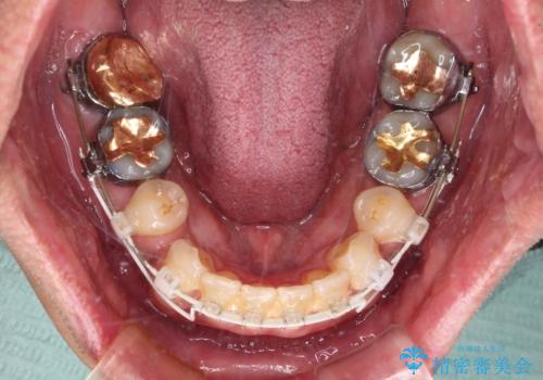
強い咬合力と上顎前歯の傾斜により前歯が突出し、唇が閉じにくい状況であったため、上下左右の第一小臼歯4本を抜歯し、ワイヤー装置にて矯正治療を行うこととしました。
- 費用(概算)
- 治療費の目安: 95万円(税込)費用は治療当時の料金となります
※顔写真掲載にあたり、患者様の了解を得ております
治療について
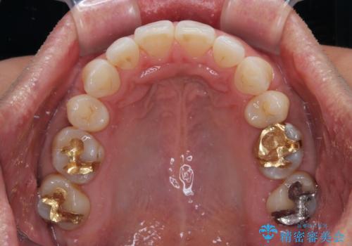
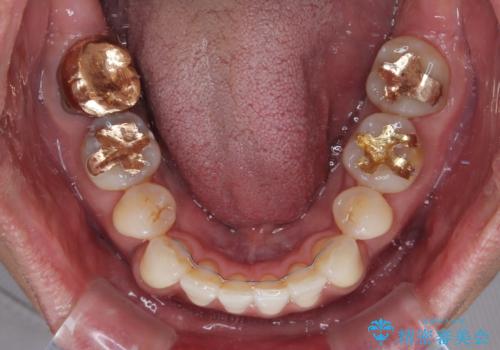
非常に咬合力が強いため、抜歯したスペースが閉じるのか不安でしたが、順調に歯が移動し、予定よりも早く治療を終えることができました。
ワイヤー矯正の注意事項(リスク・副作用など)
- 治療中は違和感や痛みが起こることがあります
- 症状により、抜歯が必要な場合があります
- 治療中は歯磨きがしにくくなるため、虫歯や歯周病になりやすくなります
- 矯正治療後の保定が不十分だと後戻り(元の位置に戻ろうとする動き)をします
- 自費診療(保険適用外)となります
当サイトの内容、テキスト、画像等の無断転載、複製、複写、盗用を固く禁じます。


























