症例詳細
Case detail
前歯を綺麗にしたい
治療症例の内容
- 診療科目
- 治療カテゴリ
- 担当医
- 河口智英(ドクタープロフィール)
- 患者様
- 50代男性
- 治療期間
- 2ヶ月
- 治療回数
- 5-10回
- 治療計画
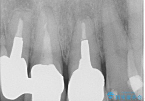
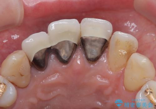
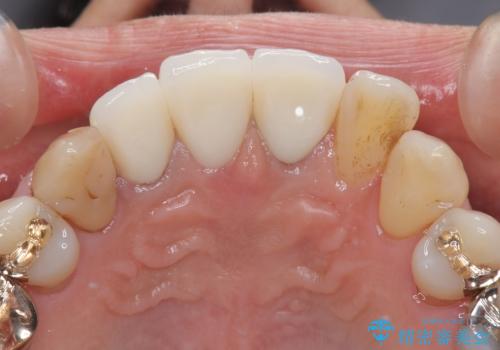
- 昔入れた前歯を綺麗にしたいことを主訴に来院された患者様です。
根尖に病変を認めたため、根管治療を行いセラミッククラウンにて修復を行なっています。
- 費用(概算)
- 72万円費用は治療当時の料金となります
治療について
根管充填はMTAにて行なっています。
セラミック治療の注意事項(リスク・副作用など)
- 天然歯を削ります
- 硬い素材は天然歯を傷つけてしまう場合があります
- かみ合わせや歯ぎしりが強すぎる方はセラミックが割れてしまう可能性があります
- 自費診療(保険適用外治療)となります
当サイトの内容、テキスト、画像等の無断転載、複製、複写、盗用を固く禁じます。









