症例詳細
Case detail
奥歯の被せ物をしたい。しみる奥歯、アイスを食べたい。
治療症例の内容
- 診療科目
- 治療カテゴリ
-
- 担当医
- 河口智英(ドクタープロフィール)
- 患者様
- 40代女性
- 治療期間
- 1ヶ月
- 治療回数
- 2-5回
- 治療計画
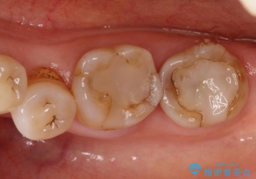
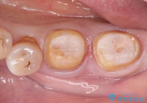
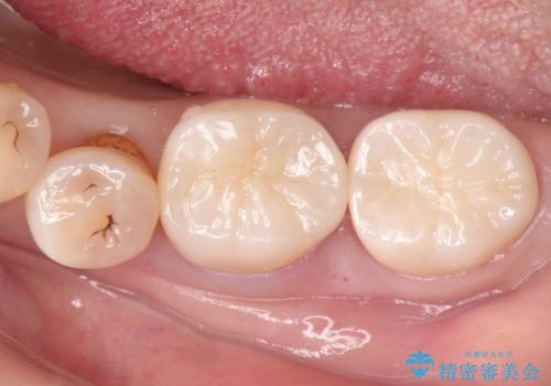
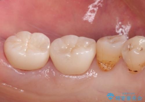
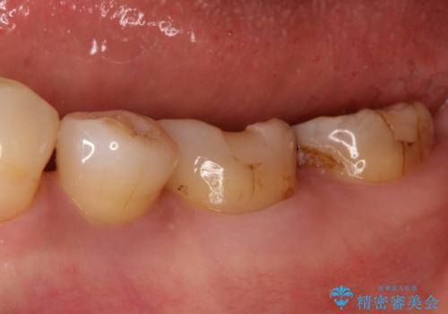
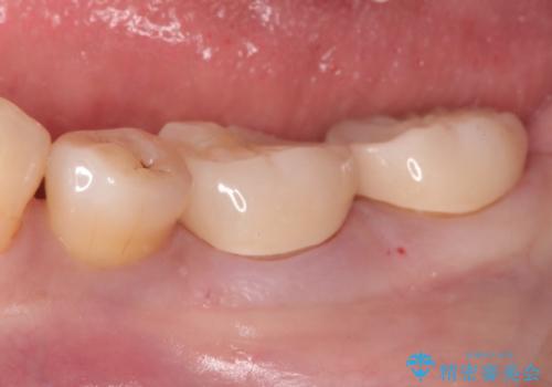
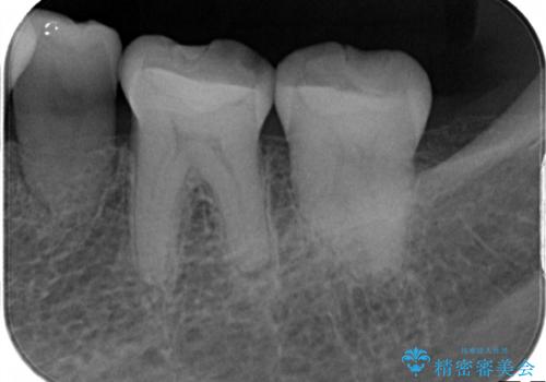
- 以前治療したところがしみて、アイスが食べられないから被せものの治療をしてほしいと来院された患者様です。
咬合が強く、歯牙にマイクロクラックが入っている状態でした。歯髄は保存可能と診断され、フルジルコニアクラウンによる治療を行いました。
- 費用(概算)
- 16万円費用は治療当時の料金となります
治療について
咬合面に広範囲の修復物がある状態で中心に強い力が加わると歯牙は外方性の歪みが生じ、マイクロクラックができます。これを防ぐには、咬頭被覆するアンレー、もしくはクラウンによる治療が必要です。
セラミック治療の注意事項(リスク・副作用など)
- 天然歯を削ります
- 硬い素材は天然歯を傷つけてしまう場合があります
- かみ合わせや歯ぎしりが強すぎる方はセラミックが割れてしまう可能性があります
- 自費診療(保険適用外治療)となります
当サイトの内容、テキスト、画像等の無断転載、複製、複写、盗用を固く禁じます。










