症例詳細
Case detail
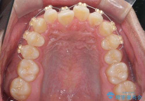
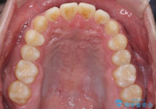
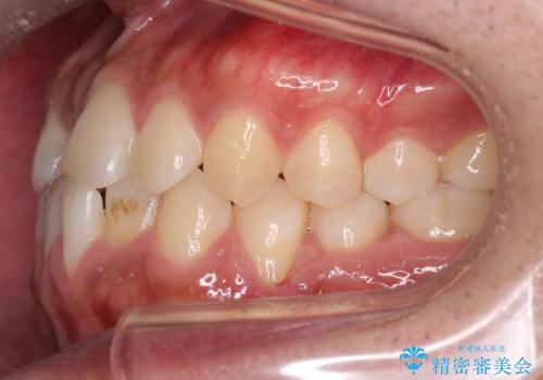
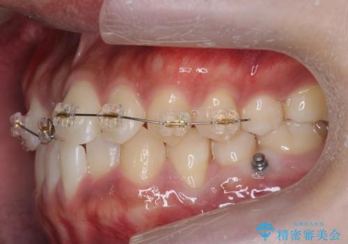
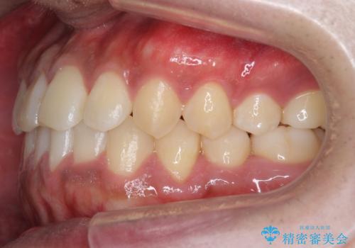
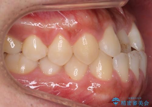
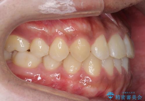
骨格性の受け口の矯正 部分ワイヤーで上の前歯を前に、 マウスピースで下の前歯を後ろに。
治療症例の内容
- 患者様
- 20代男性
- 矯正装置
- インビザライン ワイヤー矯正
- 治療期間
- 8ヶ月
- 治療回数
- 10-30回
- 治療計画
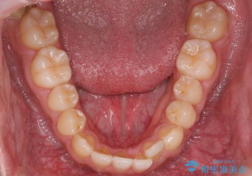
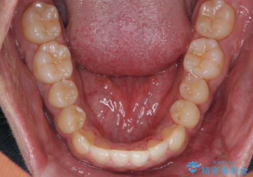
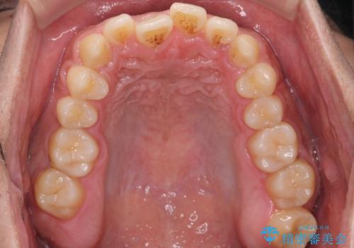
- 受け口を主訴に来院。
前歯のかみ合わせが逆になり上の前歯が奥に入っていました。
骨格性の受け口だったため、矯正用のミニスクリューを用いて、下の前歯をしっかり内側に入れました。
- 費用(概算)
- 110万円費用は治療当時の料金となります
治療について
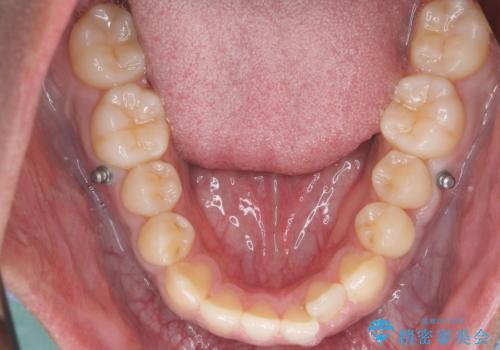
前歯を前に乗り越えさせるのは、ワイヤー矯正が一番早く歯に負担がかかりにくいです。
また、下顎はミニスクリューからマウスピースにゴムをかけて、下の歯並びが前に出ないようにして並べています。
ワイヤー矯正の注意事項(リスク・副作用など)
- 治療中は違和感や痛みが起こることがあります
- 症状により、抜歯が必要な場合があります
- 治療中は歯磨きがしにくくなるため、虫歯や歯周病になりやすくなります
- 矯正治療後の保定が不十分だと後戻り(元の位置に戻ろうとする動き)をします
- 自費診療(保険適用外)となります
マウスピース矯正の注意事項(リスク・副作用など)
- 口腔内・歯並びの状態によっては対応できない場合があります
- マウスピース型矯正装置の長時間装着(1日20時間以上)が必須です
- 治療計画通りに進めるためには、患者様の意志が重要になります
- 矯正治療後の保定が不十分だと後戻り(元の位置に戻ろうとする動き)をします
- 薬機法対象外の矯正歯科装置のため医薬品副作用被害救済制度の対象外となる場合があります
- 自費診療(保険適用外)となります
当サイトの内容、テキスト、画像等の無断転載、複製、複写、盗用を固く禁じます。





















