症例詳細
Case detail
歯周外科を行い歯ぐきの整備を行うセラミック治療
治療症例の内容
- 患者様
- 20代女性
- 治療期間
- 8ヶ月
- 治療回数
- 10-30回
- 治療計画
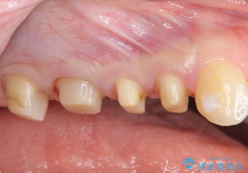
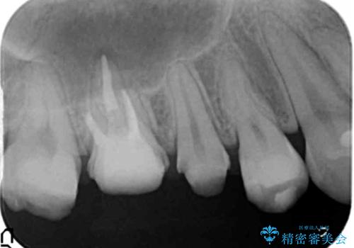
- 歯の疼きや違和感、虫歯の治療を希望され来院されました。
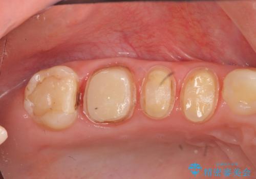
銀歯周囲の虫歯再発や、歯ぐきよりも深い虫歯、根尖性歯周炎と言った複合的な問題を、
歯周外科、精密根管治療、セラミック治療を行い、妥協のないセラミック治療を計画します。
- 費用(概算)
- 63.8万円(ジルコニアクラウン×4・仮歯×4・歯周外科)費用は治療当時の料金となります
治療について
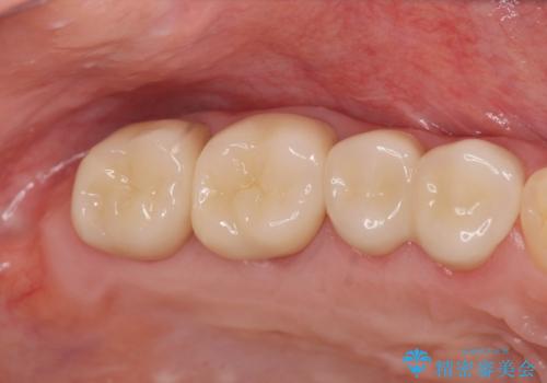
虫歯の再発可能性を限りなく低く抑えるためには、虫歯の徹底的な除去を行ったのちの精度の高いセラミック治療が必須です。
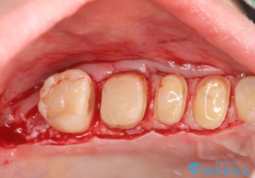
今回の治療では歯ぐきの問題を解決するため、歯周外科を行いました。
外科処置の注意事項(リスク・副作用など)
- 外科手術のため、術後に出血、痛みや腫れ、違和感を伴います
- 口腔内の状態によっては適応できないことがあります
セラミック治療の注意事項(リスク・副作用など)
- 天然歯を削ります
- 硬い素材は天然歯を傷つけてしまう場合があります
- かみ合わせや歯ぎしりが強すぎる方はセラミックが割れてしまう可能性があります
- 自費診療(保険適用外治療)となります
当サイトの内容、テキスト、画像等の無断転載、複製、複写、盗用を固く禁じます。














