症例詳細
Case detail
【インプラント】2ヵ月前から歯に違和感があるので診て欲しい! 歯根破折
治療症例の内容
- 担当医
- 河野豊嘉(ドクタープロフィール)
- 患者様
- 50代女性
- 治療期間
- 10ヶ月
- 治療回数
- 2-5回
- 治療計画
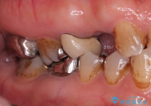
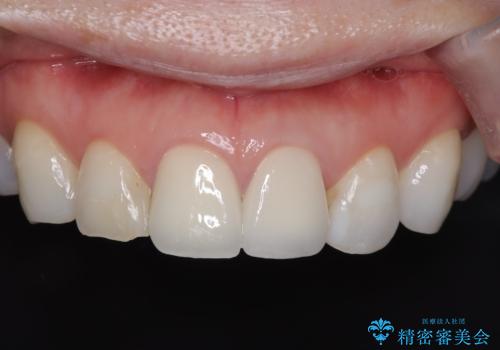
- 「2か月前から歯に違和感があるので診て欲しい」を主訴に来院された患者様です。
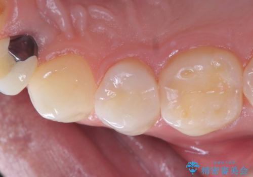
被せ物がコア(土台)ごと取れておりかつ根っこも折れてしまっている(歯根破折)状態でした。
歯根破折により保存は不可と診断し抜歯後、骨ができるのを待ってインプラントで治療を行いました。
- 費用(概算)
- 484,000円(当時の価格)費用は治療当時の料金となります
治療について
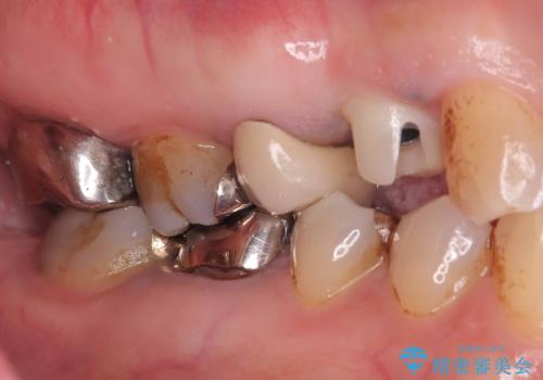
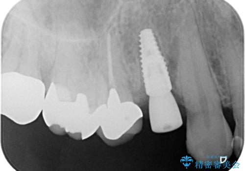
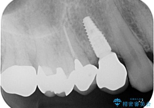
抜歯後、骨が出来るまで6ヵ月待ちその後インプラントを埋入しました。
アバットメントは患者様の歯肉に合わせて作製するカスタムアバットメントを入れ被せ物はオールセラミッククラウンで被せています。
メタルコアは度々歯根破折の原因になります。なので現在はファイバーコアが主流となっています。
インプラント治療の注意事項(リスク・副作用など)
- 外科手術のため、術後に痛みや腫れ、違和感を伴います
- メンテナンスを怠ったり喫煙により、お口の中に大きな悪影響を及ぼすインプラント周囲炎等にかかる可能性があります
- 糖尿病、肝硬変、心臓病等の場合、インプラント治療ができない可能性があります
- 高血圧、貧血・不整脈等の場合、インプラント治療後に治癒不全を招く可能性があります
- 自費診療(保険適用外治療)となります
セラミック治療の注意事項(リスク・副作用など)
- 天然歯を削ります
- 硬い素材は天然歯を傷つけてしまう場合があります
- かみ合わせや歯ぎしりが強すぎる方はセラミックが割れてしまう可能性があります
- 自費診療(保険適用外治療)となります
当サイトの内容、テキスト、画像等の無断転載、複製、複写、盗用を固く禁じます。











