症例詳細
Case detail
【抜歯矯正】クリア装置で1年半
治療症例の内容
- 診療科目
- 治療カテゴリ
- 担当医
- 河口智英(ドクタープロフィール)
- 患者様
- 20代女性
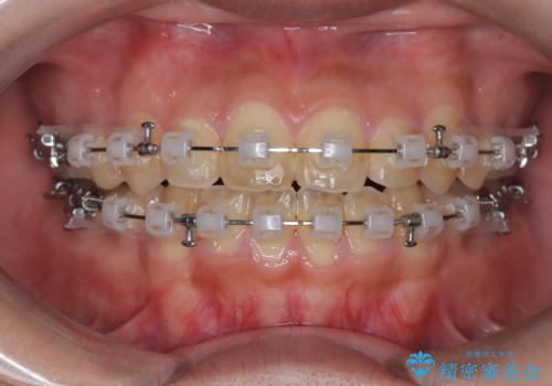
- 矯正装置
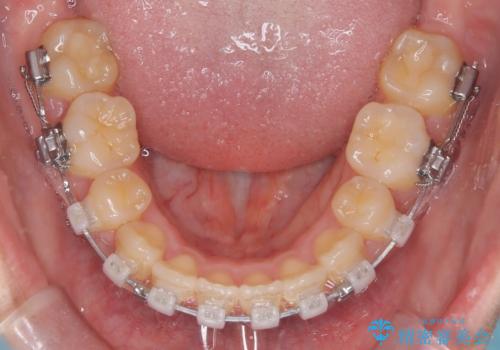
- クリア装置
- 治療期間
- 1年6ヶ月
- 治療回数
- 10-30回
- 治療計画
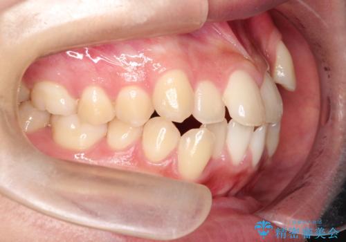
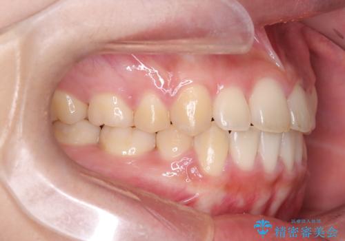
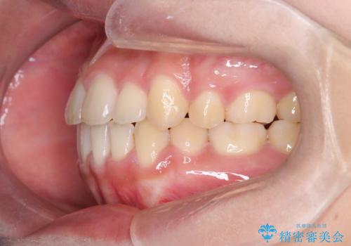
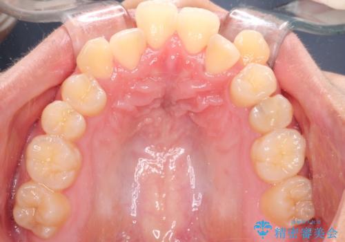
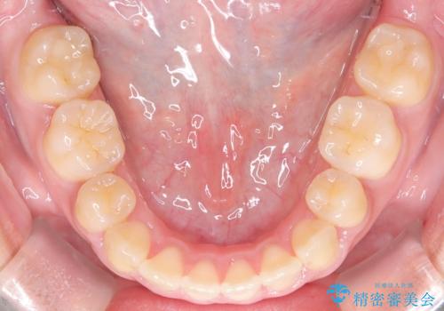
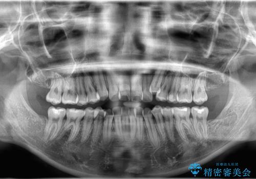
- 八重歯と口元が出ていることを主訴に来院されました。
レントゲンの検査において、前歯も外側に傾いてる結果であったため、上下左右の小臼歯を抜歯して配列を行いました。
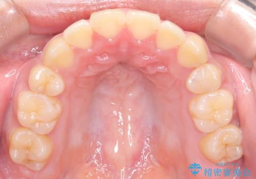
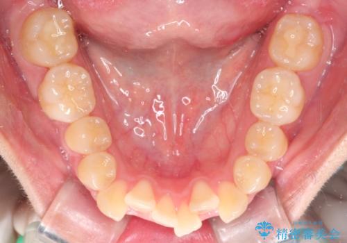
歯の動きも良く短期間で治療を終えられたため患者さんにも大変満足していただきました。
- 費用(概算)
- 90万円費用は治療当時の料金となります
治療について
クリア装置とは、当院において最も摩擦を減らした装置のため比較的動きが早く治療がスムーズに進みます。
ワイヤー矯正の注意事項(リスク・副作用など)
- 治療中は違和感や痛みが起こることがあります
- 症状により、抜歯が必要な場合があります
- 治療中は歯磨きがしにくくなるため、虫歯や歯周病になりやすくなります
- 矯正治療後の保定が不十分だと後戻り(元の位置に戻ろうとする動き)をします
- 自費診療(保険適用外)となります
当サイトの内容、テキスト、画像等の無断転載、複製、複写、盗用を固く禁じます。

























