症例詳細
Case detail
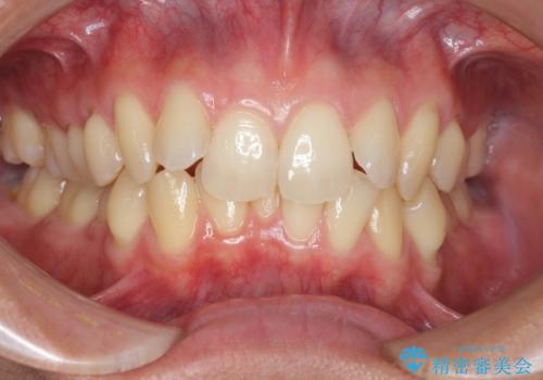
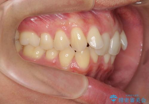
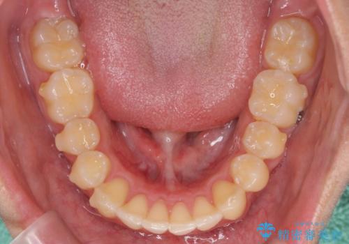
過蓋咬合・上顎前突・叢生を改善するマウスピース矯正
治療症例の内容
- 診療科目
- 担当医
- 大元洋佑(ドクタープロフィール)
- 患者様
- 20代男性
- 矯正装置
- インビザライン
- 治療期間
- 1年10ヶ月
- 治療回数
- 10-30回
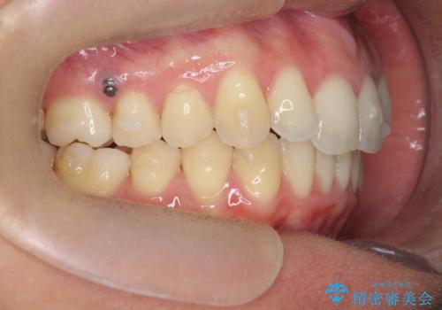
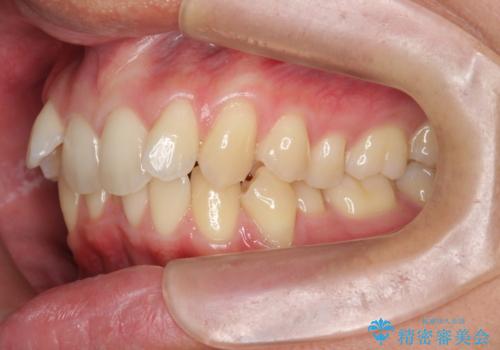
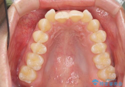
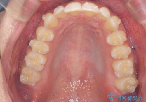
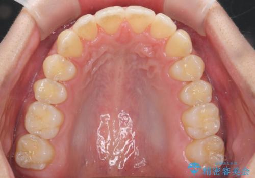
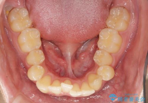
- 治療計画
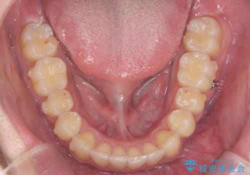
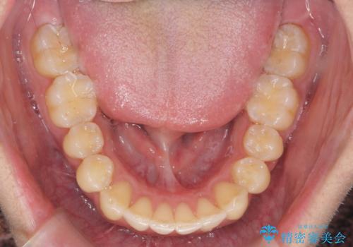
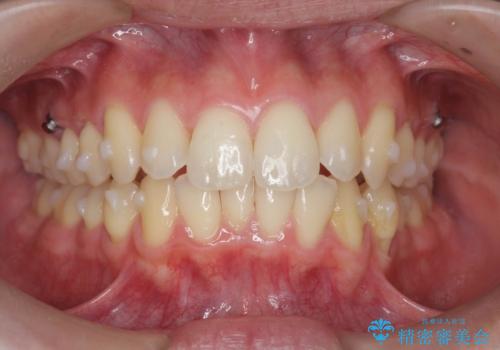
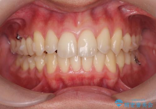
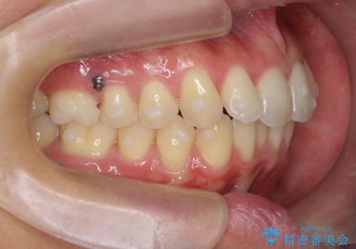
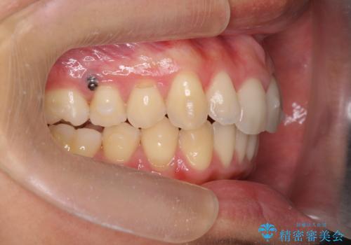
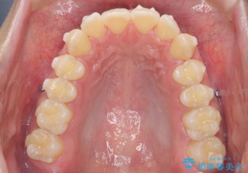
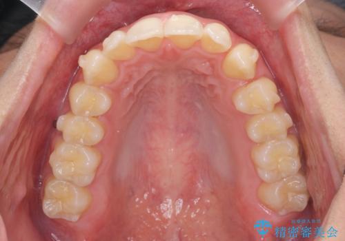
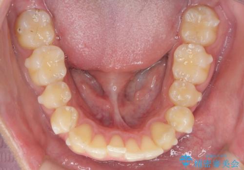
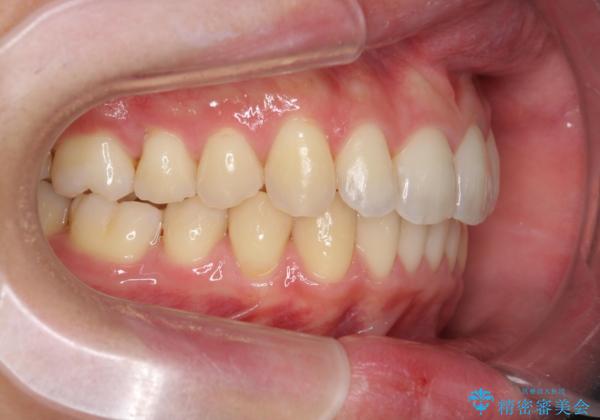
- 前歯のがたつき、不揃いさの改善を求めて来院されました。
・前歯の深い噛み合わせ (過蓋咬合)
・上顎前突(Angle Class2)
・叢生(がたつき)
以上のような問題点をマウスピース矯正インビザラインとマイクロインプラントを用いて矯正治療を行い改善して行きます。
- 費用(概算)
- 99万円費用は治療当時の料金となります
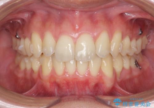
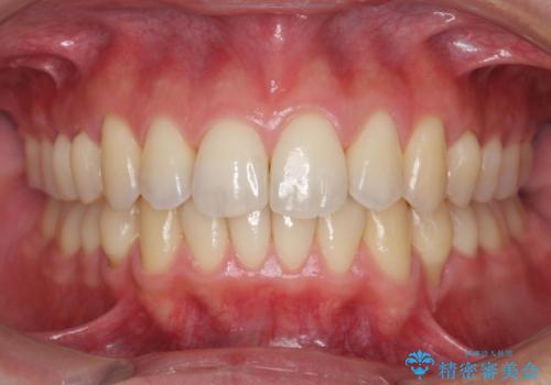
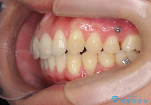
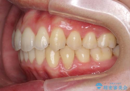
治療について
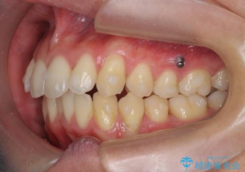
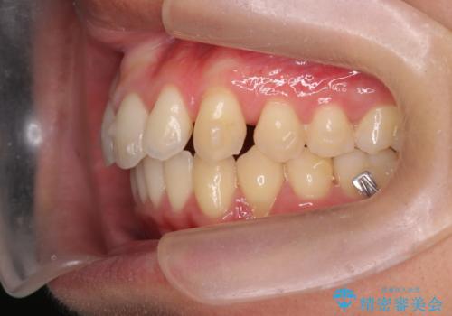
20時間以上のマウスピース装着、ゴムかけを遵守していただいたおかげでしっかりと噛み合わせ、がたつきの改善を行うことができました。
マウスピース矯正の注意事項(リスク・副作用など)
- 口腔内・歯並びの状態によっては対応できない場合があります
- マウスピース型矯正装置の長時間装着(1日20時間以上)が必須です
- 治療計画通りに進めるためには、患者様の意志が重要になります
- 矯正治療後の保定が不十分だと後戻り(元の位置に戻ろうとする動き)をします
- 薬機法対象外の矯正歯科装置のため医薬品副作用被害救済制度の対象外となる場合があります
- 自費診療(保険適用外)となります
当サイトの内容、テキスト、画像等の無断転載、複製、複写、盗用を固く禁じます。

























