症例詳細
Case detail
突出した前歯を引っ込める ワイヤー装置での抜歯矯正
治療症例の内容
- 診療科目
- 治療カテゴリ
- 担当医
- 藤巻太一朗(ドクタープロフィール)
- 患者様
- 20代男性
- 矯正装置
- 審美装置
- 治療期間
- 2年3ヶ月
- 治療回数
- 10-30回
- 治療計画
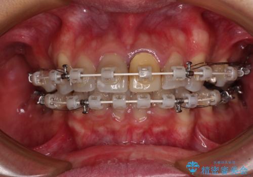
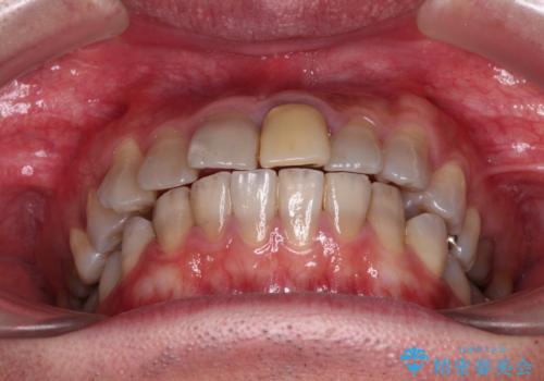
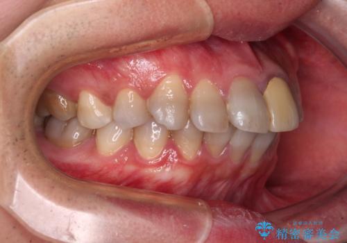
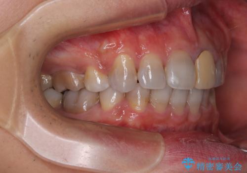
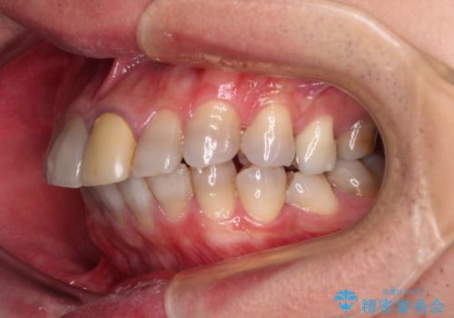
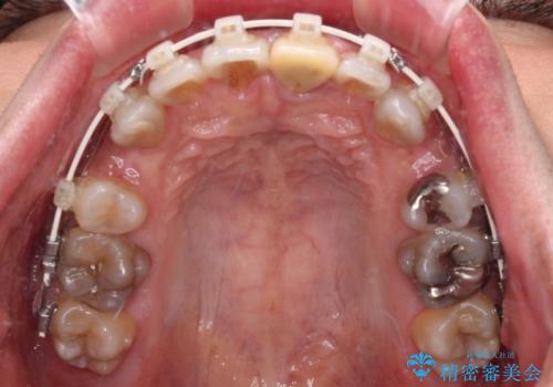
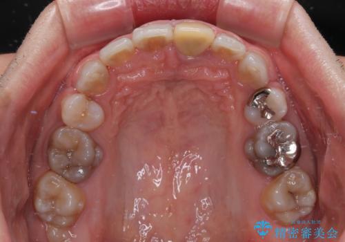
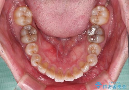
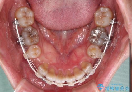
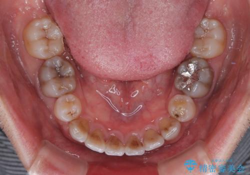
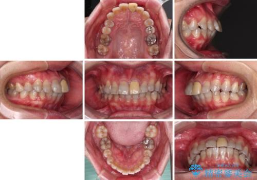
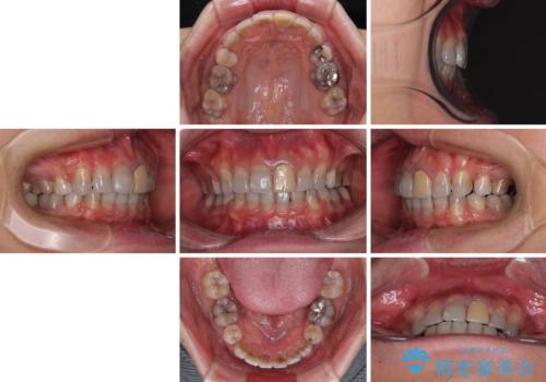
- 飛び出した前歯を気にして来院された患者様です。
口元を引っ込めるために上下左右の第一小臼歯4本を抜歯することとしました。
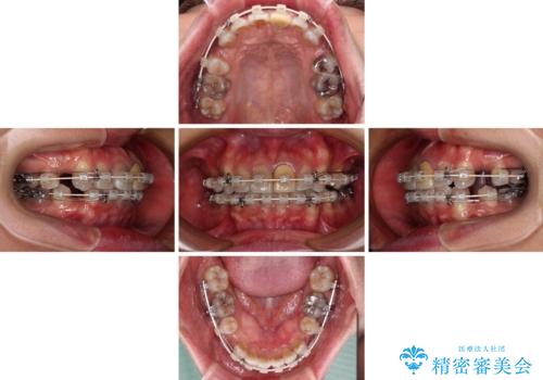
速やかに治療を進めたいとのことで、表側のワイヤー装置で矯正治療を行うこととしました。
- 費用(概算)
- 治療費の目安: 105万円(税込)費用は治療当時の料金となります
治療について
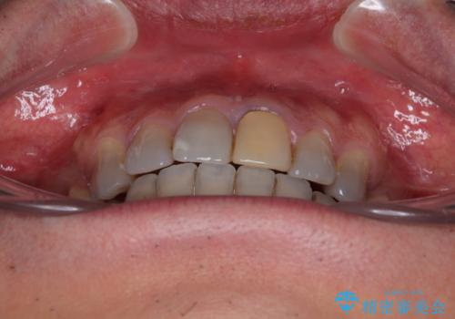
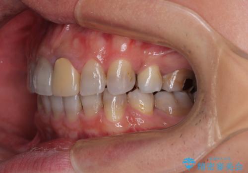
特徴的な歯の色が気になっているとのことで、今後セラミッククラウンによる審美歯科治療を検討されているとのことで、矯正治療の後戻りが落ち着いたタイミングで治療を進めていく予定です。
(審美歯科治療はこちらのリンクを参照:https://seimitsushinbi.jp/case/131930/)
ワイヤー矯正の注意事項(リスク・副作用など)
- 治療中は違和感や痛みが起こることがあります
- 症状により、抜歯が必要な場合があります
- 治療中は歯磨きがしにくくなるため、虫歯や歯周病になりやすくなります
- 矯正治療後の保定が不十分だと後戻り(元の位置に戻ろうとする動き)をします
- 自費診療(保険適用外)となります
当サイトの内容、テキスト、画像等の無断転載、複製、複写、盗用を固く禁じます。


























