症例詳細
Case detail
目立つ銀歯をセラミッククラウンに
治療症例の内容
- 診療科目
- 治療カテゴリ
- 担当医
- 藤巻太一朗(ドクタープロフィール)
- 患者様
- 50代女性
- 治療期間
- 1ヶ月
- 治療回数
- 2-5回
- 治療計画
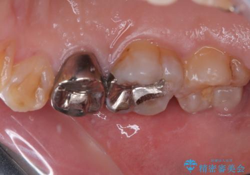
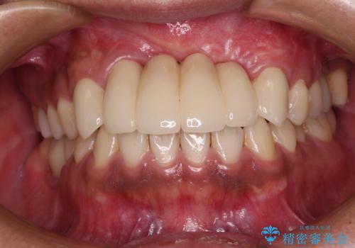
- 笑うときに目立つ銀歯を白くしたいとのことで来院された患者様です。
奥歯ではありますが、以前抜歯矯正をされているので前の方へ移動しており、非常に目立っていました。
仮歯に替えた上で、速やかにオールセラミッククラウンにて補綴治療を行うこととしました。
- 費用(概算)
- 治療費の目安: 13万円(税込)費用は治療当時の料金となります
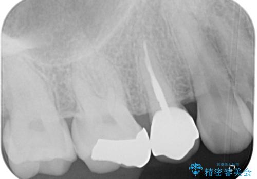
治療について
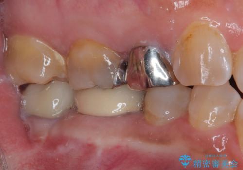
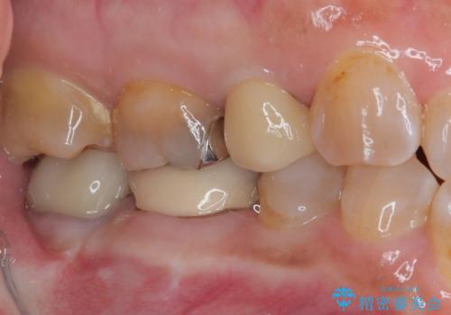
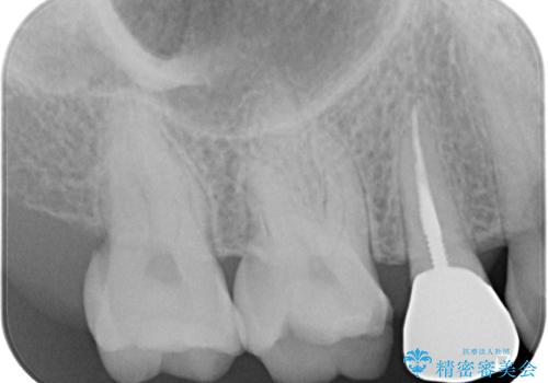
銀歯を外したところ、土台にほとんどむし歯はなかったため、土台のやり替えを行うことなく、セラミッククラウンを装着しました。
セラミック治療の注意事項(リスク・副作用など)
- 天然歯を削ります
- 硬い素材は天然歯を傷つけてしまう場合があります
- かみ合わせや歯ぎしりが強すぎる方はセラミックが割れてしまう可能性があります
- 自費診療(保険適用外治療)となります
当サイトの内容、テキスト、画像等の無断転載、複製、複写、盗用を固く禁じます。










