症例詳細
Case detail
【審美ワイヤー】重度の叢生を治療
治療症例の内容
- 診療科目
- 治療カテゴリ
- 担当医
- 河口智英(ドクタープロフィール)
- 患者様
- 20代女性
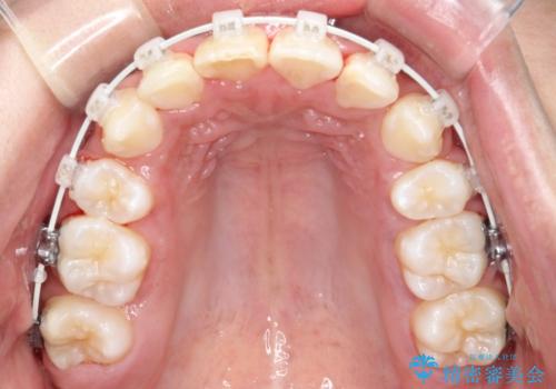
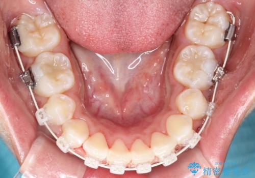
- 矯正装置
- 審美装置
- 治療期間
- 2年5ヶ月
- 治療回数
- 30回以上
- 治療計画
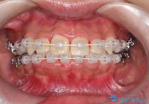
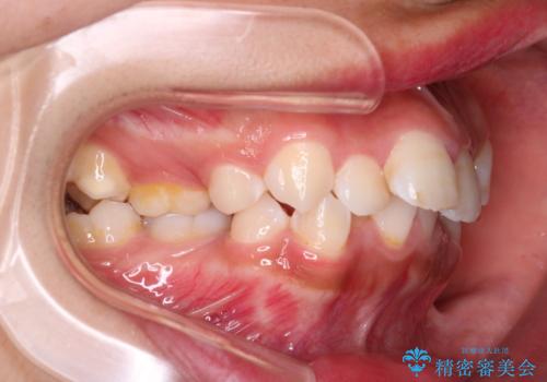
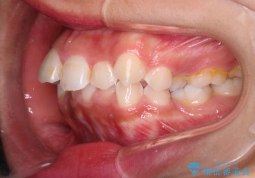
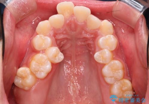
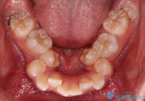
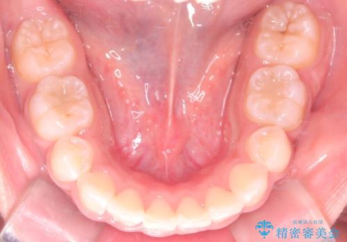
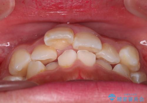
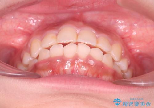
- 上下の小臼歯が内側に入っているような重度叢生を主訴に来院されました。
スペースを確保するために、上下左右の小臼歯を抜歯してワイヤー矯正にて治療を行いました。
- 費用(概算)
- 100万円費用は治療当時の料金となります
治療について
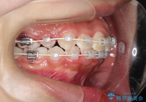
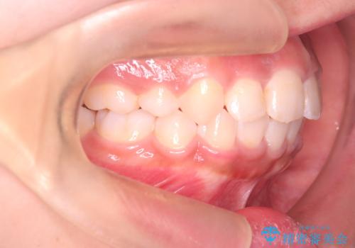
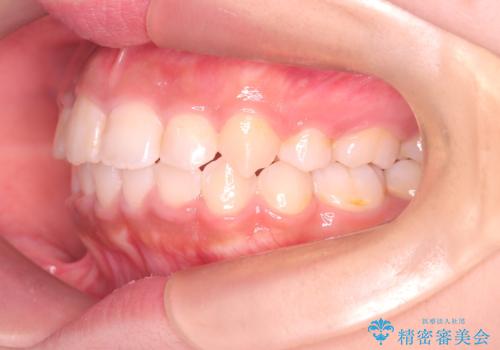
抜歯矯正ですが、叢生改善にスペースを利用したため、口元の変化はさほどありません。
ワイヤー矯正の注意事項(リスク・副作用など)
- 治療中は違和感や痛みが起こることがあります
- 症状により、抜歯が必要な場合があります
- 治療中は歯磨きがしにくくなるため、虫歯や歯周病になりやすくなります
- 矯正治療後の保定が不十分だと後戻り(元の位置に戻ろうとする動き)をします
- 自費診療(保険適用外)となります
当サイトの内容、テキスト、画像等の無断転載、複製、複写、盗用を固く禁じます。





















