症例詳細
Case detail
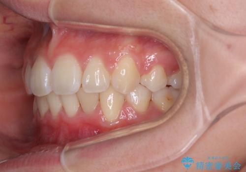
飛び出した上顎前歯 ワイヤー装置にて抜歯矯正治療
治療症例の内容
- 診療科目
- 担当医
- 藤巻太一朗(ドクタープロフィール)
- 患者様
- 20代女性
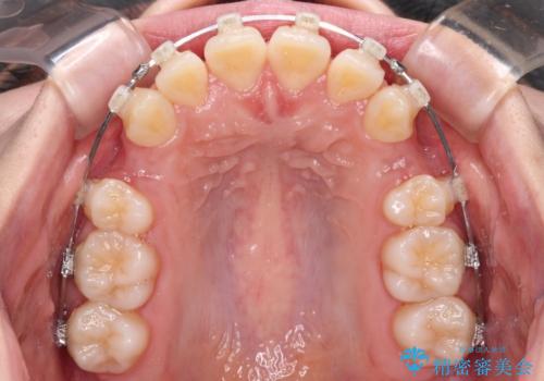
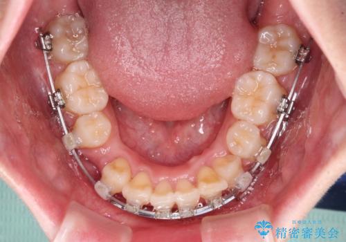
- 矯正装置
- クリアブラケット
- 治療期間
- 3年9ヶ月
- 治療回数
- 30回以上
- 治療計画
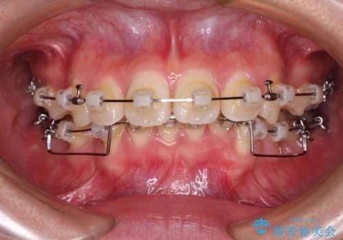
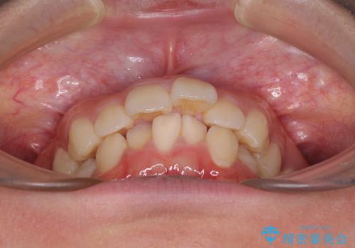
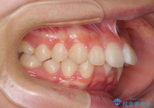
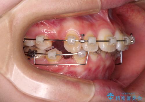
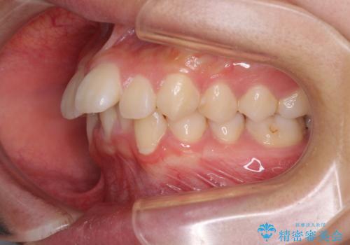
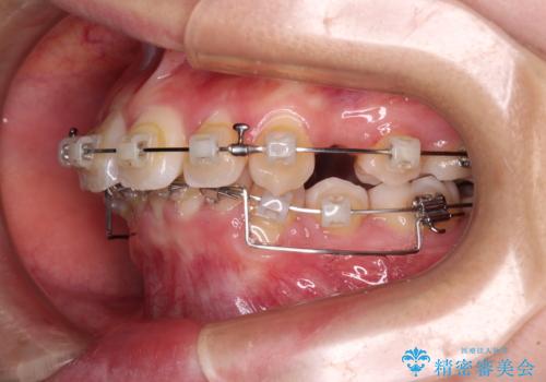
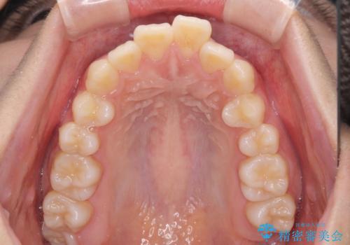
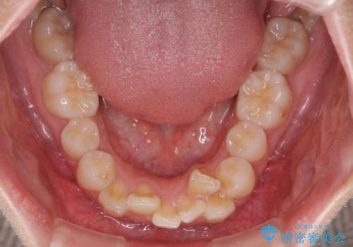
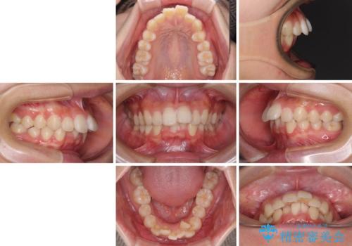
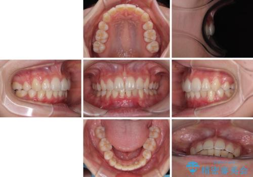
- 前に傾斜して飛び出した上顎前歯を気にして来院された患者様です。
上下前歯の前後差が大きく、下顎前歯が隠れるほど深い咬合で、咬合力が強い状態でした。
口元の突出感を改善するために、上下左右の第一小臼歯4本を抜歯し、ワイヤー装置にて矯正治療を行うこととしました。
- 費用(概算)
- 治療費の目安: 100万円(税込)費用は治療当時の料金となります
治療について
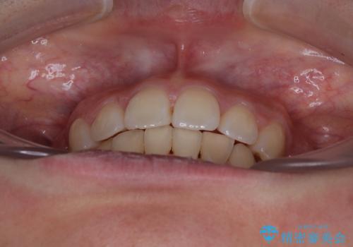
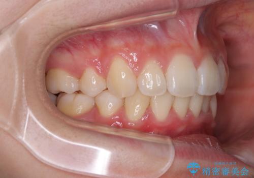
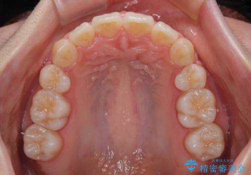
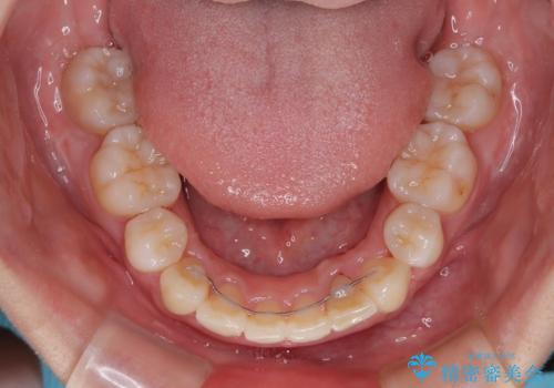
深い咬み合わせの改善に時間がかかりましたが、下顎前歯がしっかりと見えるまでに整えることができ、口元の突出感も大幅に改善することができました。
ワイヤー矯正の注意事項(リスク・副作用など)
- 治療中は違和感や痛みが起こることがあります
- 症状により、抜歯が必要な場合があります
- 治療中は歯磨きがしにくくなるため、虫歯や歯周病になりやすくなります
- 矯正治療後の保定が不十分だと後戻り(元の位置に戻ろうとする動き)をします
- 自費診療(保険適用外)となります
当サイトの内容、テキスト、画像等の無断転載、複製、複写、盗用を固く禁じます。


























