症例詳細
Case detail
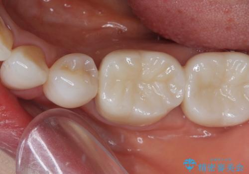
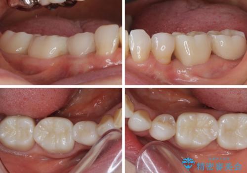
奥歯の目立つ銀歯をセラミックに オールセラミッククラウン治療
治療症例の内容
- 診療科目
- 担当医
- 藤巻太一朗(ドクタープロフィール)
- 患者様
- 50代女性
- 治療期間
- 2ヶ月
- 治療回数
- 5-10回
- 治療計画
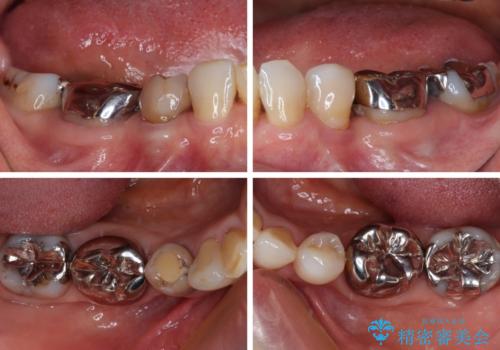
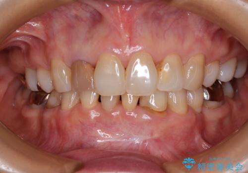
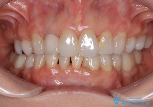
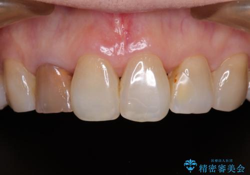
- 奥歯の目立つ銀歯と、神経が失活して変色した前歯を気にして来院された患者様です。
銀歯と歯の間に隙間があり、冷たいものがしみる知覚過敏の症状が認められたため、銀歯を白くするだけでなく、知覚過敏症状の改善も狙って補綴治療を行うこととしました。
- 費用(概算)
- 治療費の目安: 70万円(税込)費用は治療当時の料金となります
治療について
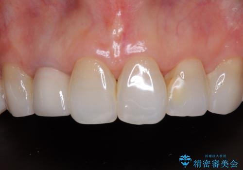
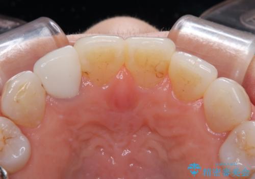
長年口を開ける度に気になっていた銀歯が一気に自然な色合いとなり、患者様には大変満足していただけました。
セラミック治療の注意事項(リスク・副作用など)
- 天然歯を削ります
- 硬い素材は天然歯を傷つけてしまう場合があります
- かみ合わせや歯ぎしりが強すぎる方はセラミックが割れてしまう可能性があります
- 自費診療(保険適用外治療)となります
当サイトの内容、テキスト、画像等の無断転載、複製、複写、盗用を固く禁じます。


















