症例詳細
Case detail
不快感の強い奥歯 オールセラミッククラウンでのむし歯治療
治療症例の内容
- 担当医
- 藤巻太一朗(ドクタープロフィール)
- 患者様
- 40代女性
- 治療期間
- 8ヶ月
- 治療回数
- 10-30回
- 治療計画
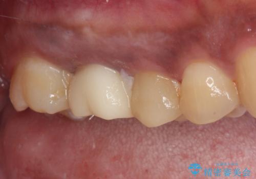
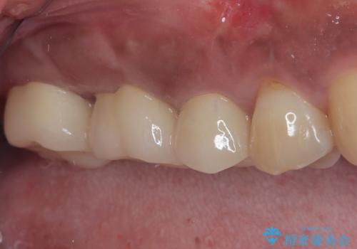
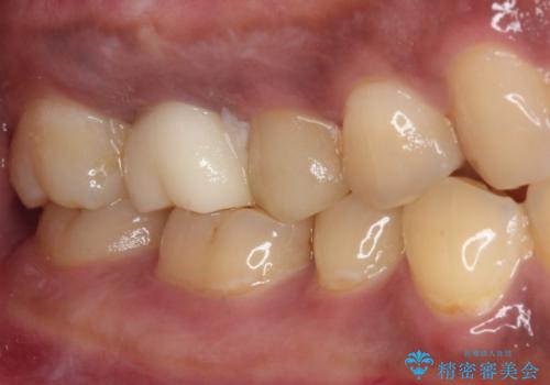
- とにかく奥歯に不快感を感じるとのことで来院された患者様です。
神経近くにまで及んでいる大きなむし歯や、歯肉の中深く、骨の近くにまでむし歯が進行している歯など、問題の多い状態でした。
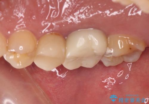
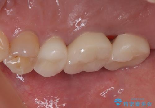
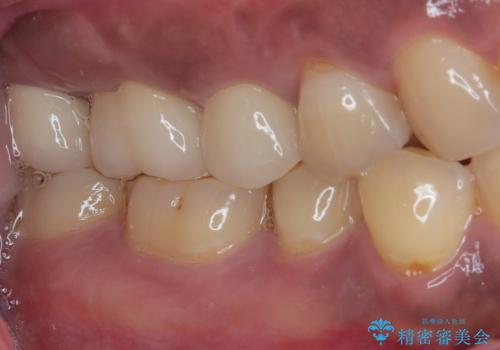
神経を温存するための処置や、歯肉深くにまで及んだむし歯を改善するための歯周外科処置などを行っていき、オールセラミッククラウンにて補綴治療を行うこととしました。
- 費用(概算)
- 治療費の目安: 80万円(税込)費用は治療当時の料金となります
治療について
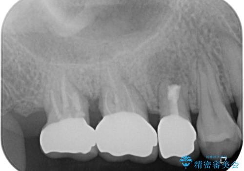
術前の診断では神経が温存できるか否か、際どい状況でしたが、治療開始前の海外への帰省の際に自発痛(何もしなくてもズキズキ痛む)の症状が出てしまい、根管治療が必要となってしまいました。
セラミック治療の注意事項(リスク・副作用など)
- 天然歯を削ります
- 硬い素材は天然歯を傷つけてしまう場合があります
- かみ合わせや歯ぎしりが強すぎる方はセラミックが割れてしまう可能性があります
- 自費診療(保険適用外治療)となります
根管治療の注意事項(リスク・副作用など)
- 根管治療により類似の全ての症例の問題が解決するわけではなく、症例はあくまでも一例です
- 根管治療により痛みや腫れがひかない事や、術後に痛みや腫れが生じる事、治療によるファイル破折やパーフォレーションなどの偶発症、術後の歯根破折を生じる可能性もあります
- 自費診療(保険適用外)となります
当サイトの内容、テキスト、画像等の無断転載、複製、複写、盗用を固く禁じます。










