症例詳細
Case detail
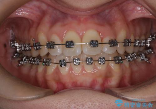
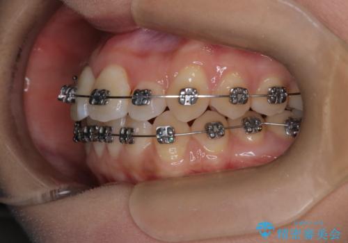
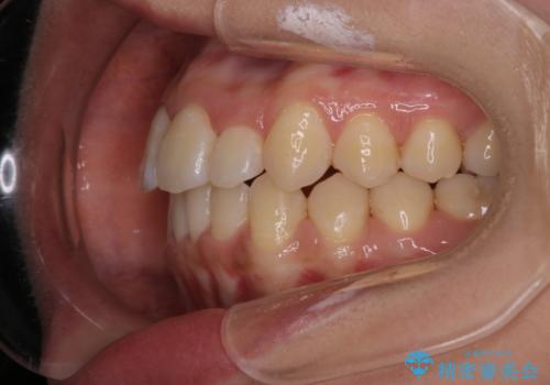
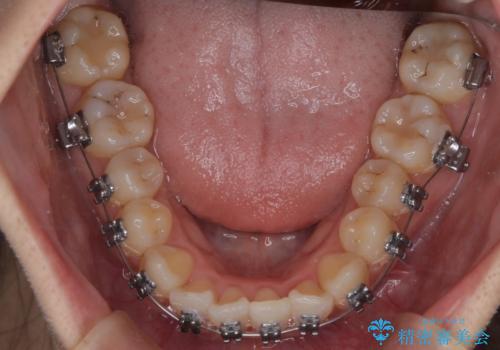
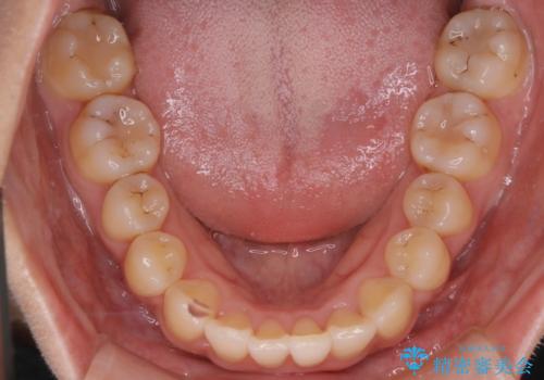
【ワイヤー矯正】前歯のがたつきを短期間で治したい
治療症例の内容
- 診療科目
 
- 担当医
 - 菊地俊介(ドクタープロフィール)
 
- 患者様
 - 30代女性
 
- 矯正装置
 - メタル装置
 
- 治療期間
 - 6ヶ月
 
- 治療回数
 - 5-10回
 
- 治療計画
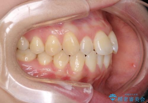
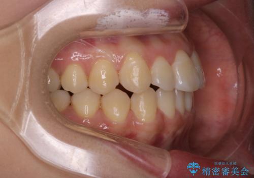
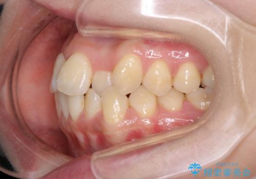
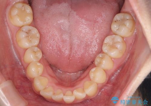
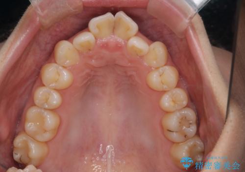
 - 前歯のがたつきを治したいという主訴で来院されました。1年後に転勤の可能性があり短期間での治療を希望されました。今回は非抜歯の治療を計画し、IPRと拡大をし、前歯の叢生を改善しました。
 
- 費用(概算)
 - 68万円費用は治療当時の料金となります
 
治療について
前歯のがたつきを治しながら2番の反対咬合も改善させました。短期間で終了し満足していただけました。
ワイヤー矯正の注意事項(リスク・副作用など)
- 治療中は違和感や痛みが起こることがあります
 - 症状により、抜歯が必要な場合があります
 - 治療中は歯磨きがしにくくなるため、虫歯や歯周病になりやすくなります
 - 矯正治療後の保定が不十分だと後戻り(元の位置に戻ろうとする動き)をします
 - 自費診療(保険適用外)となります
 
当サイトの内容、テキスト、画像等の無断転載、複製、複写、盗用を固く禁じます。

                      
                                                          













